电脑桌面
添加小米粒文库到电脑桌面
安装后可以在桌面快捷访问

脑白质病变的影像学鉴别诊断

脑白质病变的影像学鉴别诊断_第1页
1/28
脑白质病变的影像学鉴别诊断_第2页
2/28
脑白质病变的影像学鉴别诊断_第3页
3/28
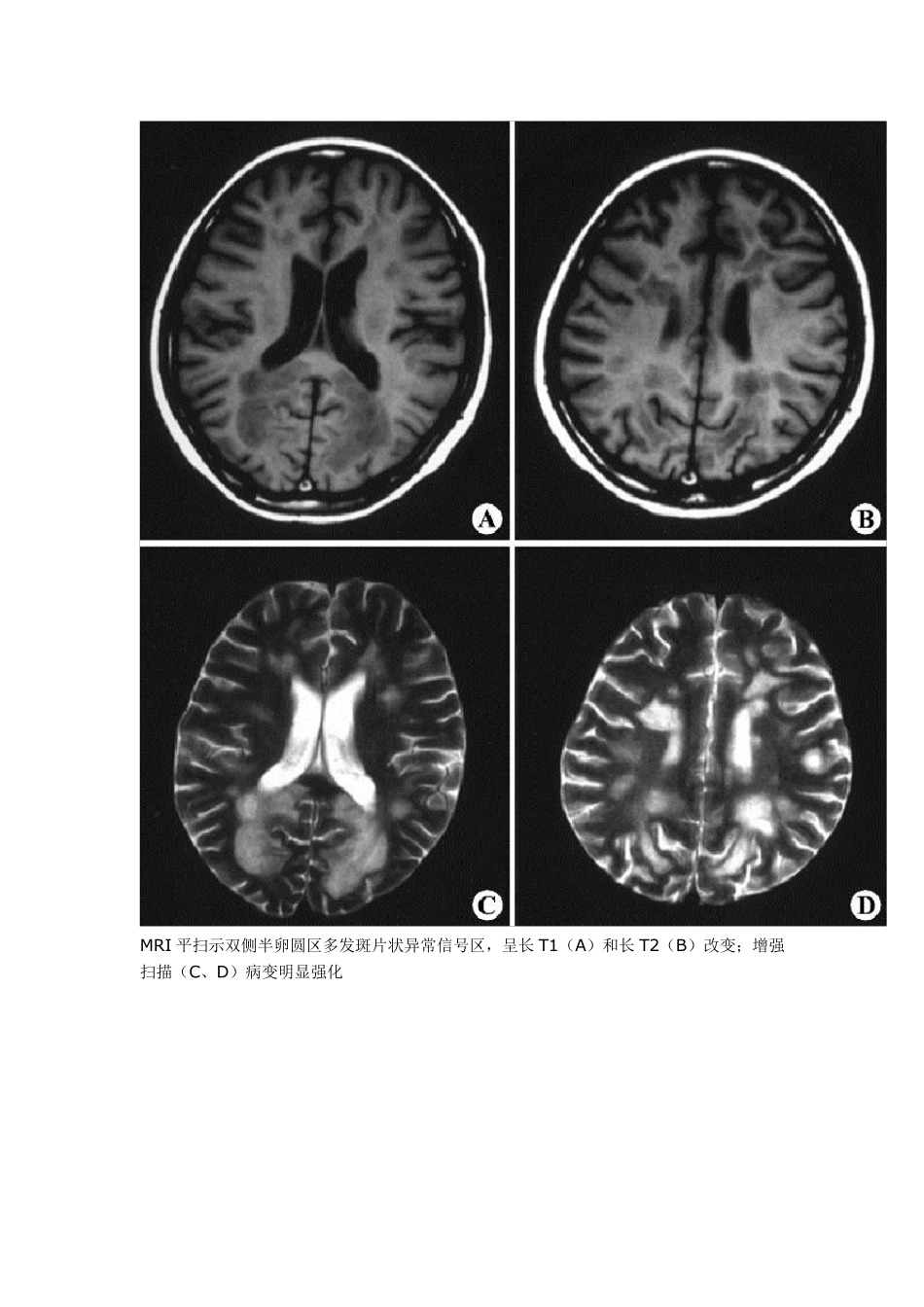
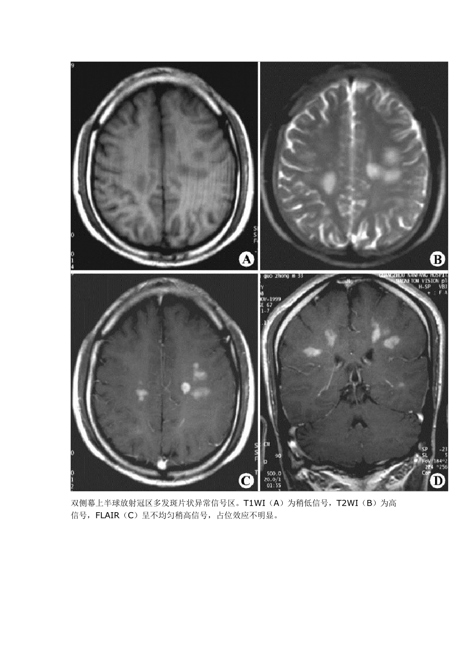
多灶性脱髓鞘: 1.多发硬化(Mu ltiple Sclerosis ,MS):中枢神经系统脱髓鞘疾病中最常见的一种类型,患者脑和脊髓内发生多灶性脱髓鞘斑块为其主要表现。 1.1 病理:病灶主要位于脑和脊髓的白质内,呈弥散分布。大脑半球大体观可正常,部分人有脑回轻度萎缩及脑沟增宽;切面可见大小不等的软化坏死灶和边缘清楚的灰色斑块,以侧脑室周围和小脑多见。显微镜检查:早期 病灶区髓鞘崩解,局部水肿,血管周围有淋巴细胞、浆细胞浸润等炎症反应。中期随髓鞘崩解产物被吞噬细胞逐渐清除,形成斑点状软化坏死灶,可见格子细胞形成 和轴索消失。晚期病灶区有胶质细胞与星形细胞增生,网状与胶原纤维增生,形成边界清楚的灰色斑块,直径一般在 0.1cm ~4.5cm 。病灶可新旧并存。重 症、晚期患者可见脑室扩大,脑回变平,脑沟增宽和脊髓变细等脑脊髓萎缩改变。偶尔MS 可伴胶质瘤,肿瘤起源于多发硬化的斑块。 1.2 影像学:MRIT1 加权像见多发斑点状低信号病灶,通常与侧脑室壁垂直排列,与脑室周围白质内小血管的走行方向一致。陈旧性斑块呈等信号。由于多发硬化是少突神经胶质-血管髓磷脂复合疾病,因此有5%者,皮质和基底节亦受累,半卵圆中心的病灶可有占位效应。脊髓病灶呈长 条形,与脊髓长轴走行一致,一般脊髓不增粗。T2 加权像病灶呈高信号,边缘清晰。质子密度加权像有利于显示靠近脑室边缘、脑干及小脑MS 病灶。Gd- DTPA增强扫描 T1 加权像急性脱髓鞘病灶强化,陈旧病灶无强化。 MRI 可判断 MS 的分期:MRI显示病灶大小不变、病灶缩小或数目减少,则提示为缓解期;若病灶增大或数目增多,则提示病情加重。MRI 还可用来随访治疗效果。 MRI 平扫示双侧侧脑室周围及深部脑白质多发斑片状异常信号区,T1WI(A、B)呈低信号,T2WI(C、D)呈高信号,未见占位效应 MRI 平扫示双侧半卵圆区多发斑片状异常信号区,呈长T1(A)和长T2(B)改变;增强扫描(C、D)病变明显强化 双侧幕上半球放射冠区多发斑片状异常信号区。T1W I(A)为稍低信号,T2W I(B)为高信号,FLAIR(C)呈不均匀稍高信号,占位效应不明显。 肿块样的ms,但较之肿瘤水肿轻,和对白质压迫的作用。 1.3MS 影像学鉴别诊断: 1.3.1 皮层下动脉硬化性脑病(Binsw anger 病):Binsw anger 病与高血压有关,对长期高血压和进行性痴呆的患者,结合脑MRI 表现可诊断此病.为老年人在脑动脉硬化基础上,大脑半球白质弥漫性脱髓鞘性脑病。主要累及侧脑...

1、当您付费下载文档后,您只拥有了使用权限,并不意味着购买了版权,文档只能用于自身使用,不得用于其他商业用途(如 [转卖]进行直接盈利或[编辑后售卖]进行间接盈利)。
2、本站所有内容均由合作方或网友上传,本站不对文档的完整性、权威性及其观点立场正确性做任何保证或承诺!文档内容仅供研究参考,付费前请自行鉴别。
3、如文档内容存在违规,或者侵犯商业秘密、侵犯著作权等,请点击“违规举报”。

碎片内容

脑白质病变的影像学鉴别诊断

您可能关注的文档

确认删除?
VIP
微信客服
  • 扫码咨询
会员Q群
  • 会员专属群点击这里加入QQ群
客服邮箱
回到顶部