电脑桌面
添加小米粒文库到电脑桌面
安装后可以在桌面快捷访问

病理实验切片图片整理

病理实验切片图片整理_第1页
1/7
病理实验切片图片整理_第2页
2/7
病理实验切片图片整理_第3页
3/7
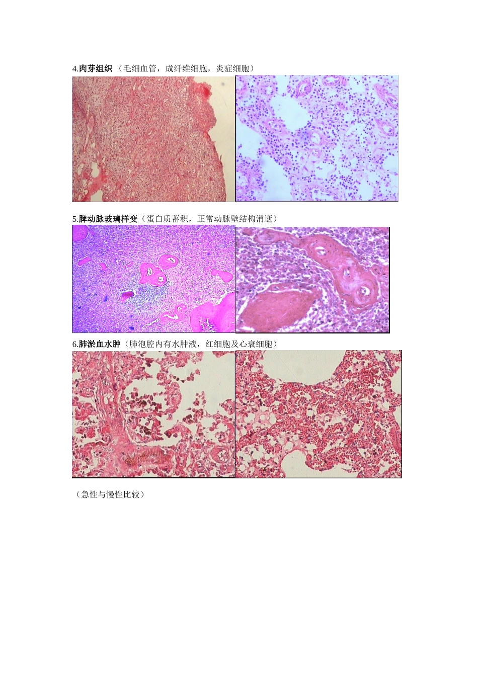
1.肝细胞水肿 (肝细胞浆混浊肿胀,有小空泡) 2.肝细胞脂肪变(胞核被挤向一侧)3.肾梗死 (形状在,核不在) (与正常得对比观察)4.肉芽组织 (毛细血管,成纤维细胞,炎症细胞)5.脾动脉玻璃样变(蛋白质蓄积,正常动脉壁结构消逝)6.肺淤血水肿(肺泡腔内有水肿液,红细胞及心衰细胞)(急性与慢性比较)7.慢性肝淤血(肝窦扩大,淤血,出血。小叶中央静脉淤血,出血。肝细胞有脂肪变性。汇管区肝细胞较正常)8.混合血栓 (血小板小梁,大量得红细胞,纤维蛋白网)9.绒毛心(纤维素性心外膜炎。心包膜外大量红染得纤维蛋白及炎细胞浸润)10.肝脓肿(肝细胞变性坏死,液化可见脓细胞即变性坏死得中性粒细胞)11.蜂窝织炎性阑尾炎(大量中性粒细胞浸润在阑尾肌层)12.肉芽肿(虫卵及异物巨细胞)13.纤维瘤(良性,外观呈结节状,与周围组织分界清楚,有包膜,切面灰白色,质地硬。瘤组织内得胶原纤维成编织状)14. 纤维肉瘤(肿瘤细胞异型性明显,梭形或不规则型,细胞大小不一,核大,色深,可见瘤巨细胞及异常核分裂像。细胞排列紊乱,胶原纤维少,血管丰富)15. 皮肤乳头状瘤(瘤组织表面为分化成熟得高度增生得鳞状细胞构成,呈乳头状突起乳头中心就是中心索(纤维组织,血管,少数炎症细胞)16.乳房纤维腺瘤:圆形或椭圆形,边界清楚,表面光滑,有包膜。由增生得腺导管及纤维组织构成 17. 鳞癌:癌细胞巢状排列,有粉红色得角蛋白,角化珠(高分化与低分化鳞癌比较)18.腺癌(腺体得正常结构消逝,癌细胞大小不等、形状不一、排列不规则,排列成多层。背靠背、共壁现象。)19.风湿性心肌炎(风湿细胞又称为阿少夫细胞,横切面似枭眼状,纵切呈毛虫状,风湿小体)20.原发性颗粒性固缩肾(纤维化肾小球,并有代偿性肥大得肾小球)21.动脉粥样硬化(纤维帽(玻璃样变)胆固醇结晶(针状空隙)、细胞外脂质与坏死物质,肉芽组织、泡沫细胞)

1、当您付费下载文档后,您只拥有了使用权限,并不意味着购买了版权,文档只能用于自身使用,不得用于其他商业用途(如 [转卖]进行直接盈利或[编辑后售卖]进行间接盈利)。
2、本站所有内容均由合作方或网友上传,本站不对文档的完整性、权威性及其观点立场正确性做任何保证或承诺!文档内容仅供研究参考,付费前请自行鉴别。
3、如文档内容存在违规,或者侵犯商业秘密、侵犯著作权等,请点击“违规举报”。

碎片内容

病理实验切片图片整理

领读文化+ 关注
实名认证
内容提供者

传播文化,铸就未来

确认删除?
VIP
微信客服
  • 扫码咨询
会员Q群
  • 会员专属群点击这里加入QQ群
客服邮箱
回到顶部