电脑桌面
添加小米粒文库到电脑桌面
安装后可以在桌面快捷访问

苯酐催化剂载体的研究

苯酐催化剂载体的研究_第1页
1/2
苯酐催化剂载体的研究_第2页
2/2
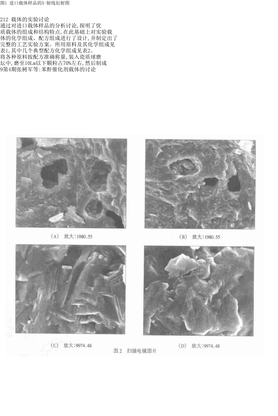
文章编号:1005-0639(2001)04-0008-05苯酐催化剂载体的讨论¹张树军,刘海英,刘凯民,陈克玲,孙业风(山东硅苑新材料科技股份有限公司,淄博 255086) 摘要:通过对两种进口催化剂所用载体样品的化学组成、相组成和显微结构系统的分析研究,探明了优质载体的组成和结构特点,并在此基础上对实验载体材料进行了组成和结构设计,试制成功了化学组成、相组成和显微结构与进口催化剂载体相似的镁质陶瓷载体。经实际应用证明,其理化指标和有用性能都已达到国外优质载体的水平。关键词:催化剂载体;相组成;显微结构;镁质瓷;几何形状;表面糙度中图分类号:TQ174175+2 文献标识码:A¹参加该项工作的还有:王利忠,杨泓纯,穆 静收稿日期:2001-09-28.1 前言苯酐是制造PVC增塑剂、聚酯树脂、醇酸树脂、染料中间体和医药的重要原料。随着此类工业的进展,苯酐的需求量也日益增大,目前全世界苯酐的产量已近300万吨。苯酐生产最初主要以焦油和萘为原料。六十年代以后,随着石化工业的进展,逐渐进展了以邻二甲苯氧化法生产苯酐的技术。这种技术的选择性好,产品纯度高,且经济合理,因而已成为当今世界苯酐生产技术的主体。但邻二甲苯氧化法制造苯酐技术的先进性在很大程度上取决于其所用氧化催化剂综合性能的先进程度。目前国外性能较先进的催化剂大都是将含有少量铷、铯等碱金属氧化物的V2O5-TiO2系氧化活性物料喷涂在碳化硅质、氧化铝质或其他瓷质的球形或环形载体上经一定温度(约270e左右)低温烘烧而成的。作为催化剂重要组成部分的载体的物理化学性状(如化学组成、相组成、显微结构、表面粗糙程度等)和几何形状及尺寸对催化剂活性涂层之附着强度、载持量、相同载持量时的涂层厚度、扩散阻力、选择性、寿命以及生产装置的压力降、能耗和热点温度等性能均有一定影响,因此载体的讨论和改进是优质催化剂研制工作的一个重要组成部分。近年来我国苯酐的生产也大都采纳了邻二甲苯氧化法,齐鲁石化公司提出了消化吸收引进技术,实现催化剂国产化的讨论课题,并邀请我们与之协作,承担该种催化剂载体的研制任务。我们对进口催化剂所用载体样品的化学组成、相组成和显微结构进行了系统讨论,探明了优质载体的组成和结构特点,在此基础上对实验载体材料进行了组成和结构设计,制定出了完整的实验方案,通过系统的配方和工艺实验讨论,试制成功了化学组成、相组成和显微结构与进口催化剂载体非常相似的镁质陶瓷载体。并且试制出了部分环状载体试样在齐鲁石化公司进行了有用性能方面的考核和评价,...

1、当您付费下载文档后,您只拥有了使用权限,并不意味着购买了版权,文档只能用于自身使用,不得用于其他商业用途(如 [转卖]进行直接盈利或[编辑后售卖]进行间接盈利)。
2、本站所有内容均由合作方或网友上传,本站不对文档的完整性、权威性及其观点立场正确性做任何保证或承诺!文档内容仅供研究参考,付费前请自行鉴别。
3、如文档内容存在违规,或者侵犯商业秘密、侵犯著作权等,请点击“违规举报”。

碎片内容

苯酐催化剂载体的研究

文森传品+ 关注
实名认证
内容提供者

一家传播文化教育的小店,资料丰富,随意挑选。

确认删除?
VIP
微信客服
  • 扫码咨询
会员Q群
  • 会员专属群点击这里加入QQ群
客服邮箱
回到顶部