电子元器件封装图示大全 LQFP 100L METAL QUAD 100L PQFP 100L QFP Qu ad Flat Package QFP Qu ad Flat Package TQFP 1...
如何建立宽带连接以及设置开机自动拨号! 宽带拨号连接和自动拨号的建立方法,附图文教程(相对系统而言,XP 系统的宽带连接创建较为复杂...
用图示仪测量双极性晶体管的直流参数 晶体管在电子技术方面具有广泛的应用。在制造晶体管和集成电路以及使用晶体管的过程中,都要检测其性...
1公司商务接待流程及标准一、目的为树立公司良好形象,扩大公司对外联系和交流,本着“热情礼貌、服务周到、厉行节约、对口接待,严格标准...
实 用 标 准 文 案 精 彩 文 档 汽 车 结 构 图 示 :车 身 参 数 上 的 名 词 意 思 汽 车 长 (mm)/B> 是 ...
水晶手链穿绳打结图示 很多亲们反映手链长度跟手腕粗细不合适,尤其是一些女性购买者,通常手链都较长。为了方便大家改造,可以根据以下说...
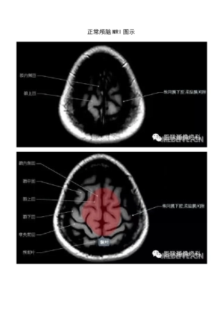
正常颅脑MRI 图示
耳石症手法复位图示详解A 让患者纵行坐在床上,检查者扶头,头转向患耳 45°,背后放置一个枕头以便仰卧时垫肩。B 快速躺下,垫肩,伸颈...
力、力旳图示和示意图知识点:1.力是物体对物体旳作用,力旳作用旳互相性2.力旳作用效果:变化物体旳形状或使物体旳运动状态变化;3.力旳作...
柴油机配件图示及中英文对照
架空光缆工程模型 之 施工工艺要求及图示 (示例) Turnkey 网络规划设计部 二〇〇三年四月 架空光缆工程施工工艺要求及图示//架空...
拉伸训练图示 上肢肌肉拉伸 1、颈侧面肌肉拉伸 2、颈后肌肉拉伸 3、三角肌拉伸 4.、三角肌前束拉伸 5、肱二头肌拉伸 6、三角肌后束...
治疗过敏性鼻炎的按摩法(图示)秋高气爽,本是收获的季节,但对于过敏性鼻炎患者来说却是高发时节。秋季干燥的气候、空气中积聚的浮尘杂质...
站务三分部培训资料 1 人工排列进路、手摇道岔工作标准 为了使员工能更好地了解联锁站 LOW 故障情况下车站进行人工排列进路、手摇道岔...
亚伯特王子结 单穿的衬衫 由于要凸显出鲜明的个人风尚,多以尖领和浪漫扣领来增添上身轮廓线条,烘托质感。由于衣领较为紧束且领口窄小,...
微 观 经 济 学 图 示 分析部分汇总 1 第二章 需求、供给与均衡分析 1,需求的变动(教材 P22) 需求的变动是指在某商品价格...
ERP 流程办理图示图 23.1 企业发卖办理业务的第一层数据流图 3图 23.2 发卖根底数据办理业务数据流图〔第二层数据流〕4图 23.3 发...
精品文档---下载后可任意编辑面对对象的图示化牵引变电绘图软件包开发的开题报告一、选题背景随着科技的不断进展,电力行业的自动化程度越...
1 第二部分:管线标识 1 目的: 对巷道内各类管线的基本识别色和识别符号的含义及使用作出规定。 2 适用范围: 本标准适用于矿井各...
1/8耳石症手法复位图示详解A 让患者纵行坐在床上,检查者扶头,头转向患耳 45°,背后放置一个枕头以便仰卧时垫肩。B 快速躺下,垫肩,...

