肾囊肿临床路径一、肾肿瘤临床路径标准住院流程(一)适用对象。第一诊断为肾囊肿(ICD-10:N28.103)行腹腔镜下肾囊肿去顶减压手术(55.39...
前庭大腺囊肿查房护理课件目录•前庭大腺囊肿概述•护理评估与诊断•常规护理措施•个体化护理方案•护理效果评价•前庭大腺囊肿的预防与控...
卵巢囊肿中西医诊断治疗护理课件•卵巢囊肿概述•中医诊断与治疗•西医诊断与治疗•护理与康复01卵巢囊肿概述定义与分类定义卵巢囊肿是女性...
口腔颌面部囊肿护理课件目录CONTENTS01口腔颌面部囊肿概述定义与分类定义口腔颌面部囊肿是一种常见的良性病变,通常生长在颌骨内部或软组织...
前庭大腺囊造口•前庭大腺囊肿概述•造口术治疗前庭大腺囊肿•术前准备与术后护理•造口术与其他治疗方法的比较•预防与日常护理定义与分类...
•大网膜囊肿概述•大网膜囊肿分类与鉴别诊断•大网膜囊肿治疗方法与效果评估•大网膜囊肿预防措施与健康生活方式建议•大网膜囊肿并发症及...
卵巢囊肿诊治中国专家共识解读护理课件•卵巢囊肿概述contents•卵巢囊肿的诊断•卵巢囊肿的治疗目录•卵巢囊肿的护理与预防•中国专家共识...
动脉瘤性骨囊肿护理课件目录•动脉瘤性骨囊肿概述•护理评估与诊断•护理措施01动脉瘤性骨囊肿概述定义与特征定义动脉瘤性骨囊肿是一种良性...
口腔组织病理学之含牙囊肿护理课件xx年xx月xx日目录•含牙囊肿概述•含牙囊肿的治疗•含牙囊肿的护理•含牙囊肿的预防与保健•病例分享与讨...
口腔颌面外科牙源性囊肿病因临床表现及治疗护理课件•牙源性囊肿的概述•牙源性囊肿的病因•牙源性囊肿的临床表现•牙源性囊肿的治疗•牙源...
动脉瘤样骨囊肿概述课件•动脉瘤样骨囊肿的定义与特点•动脉瘤样骨囊肿的症状与诊断•动脉瘤样骨囊肿的治疗方法•动脉瘤样骨囊肿的预防与康...
REPORTING2023WORKSUMMARY口腔颌面部囊肿讲解课件•口腔颌面部囊肿概述•口腔颌面部囊肿的诊断•口腔颌面部囊肿的治疗•口腔颌面部囊肿的预...
动脉瘤样骨囊肿影像诊断护理课件目录•动脉瘤样骨囊肿概述•影像学诊断•护理与治疗•康复与预防•病例分享与讨论动脉瘤样骨囊肿概述定义与...
腱鞘囊肿临床路径一、腱鞘囊肿临床路径标准住院流程(一)适用对象。第一诊断为腱鞘囊肿(ICDIO:M67.401),行腱鞘囊肿切除术(ICD9CM-3:8...
CHINESEJOURNALOFCTANDMRI,FEB2010,Vol.8,No.1totalNo.30·25通讯作者:(200011)上海市第二人民医院放射科裴林惠先天性支气管囊肿的影像诊...
file:///C|/html/消化科/先天性肝囊肿.html疾病名:先天性肝囊肿英文名:congenitalcystofliver缩写:别名:ICD号:Q44.6分类:消化科概述...
强化显著。鞍结节脑膜瘤要和垂体大腺瘤鉴别。鞍结节脑膜瘤和垂体大腺瘤,均可向两侧生长包绕颈内动脉及海绵窦,亦可向一侧生长,鞍结节脑膜瘤...
胸廓入口区气管旁含气囊肿的CT及临床表现作者:张传玉,王军伟作者单位:(青岛大学医学院附属医院放射科,山东青岛266003)【摘要】目的探讨...
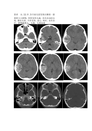
患者女,11岁,3月前无意发现右颞部一蛋黄样大小肿物,伴阵发性头痛,多在活动时出现,偶有头晕,不伴发热、恶心、呕吐,未作治疗,肿物渐...
文章编号:1671-2897(2010)09-187-03·综述·基金项目:国家自然科学基金资助项目(30770731);上海市科委优秀学科带头人计划基金资助项目(09xD...

