电脑桌面
添加小米粒文库到电脑桌面
安装后可以在桌面快捷访问

纵隔型肺癌综述VIP专享VIP免费

纵隔型肺癌综述_第1页
1/16
纵隔型肺癌综述_第2页
2/16
纵隔型肺癌综述_第3页
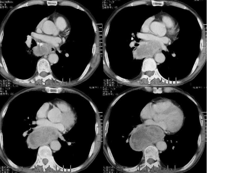
3/16
纵隔型肺癌•胃镜发现距门齿34~40cm食管右侧壁外压性改变,管腔外压约2/3,气管镜检查未见异常,以下是胸部增强CT如图:•纵隔型肺癌的分类纵隔型肺癌CT表现,通常可以分为3种类型:中央型、周围型及隐匿型。纵隔型肺癌的形成机制1)中央型肺癌合并肺不张,不张肺明显缩小紧贴纵隔,使纵隔增宽;2)靠近纵隔胸膜的周围型肺癌,似纵隔肿瘤;3)原发肺癌较小或位置隐匿,有纵隔淋巴结转移者纵隔增宽。尽管如此,纵隔型周围型肺癌在CT影像上还是不易和纵隔肿瘤鉴别。隐匿性肺癌CT可显示纵隔内广泛淋巴结融合成团块状,肺内可见小病灶或无病灶。三者在治疗及预后方面有所不同,因此正确诊断区分纵隔型肺癌的类型具有一定的临床意义。一般来说,纵隔型周围型肺癌恶性程度较高,病理上以未分化肺癌和小细胞肺癌多见,且为晚期。该病好发于上叶,主要侵犯前纵隔;其次为下叶。临床早期常有咳嗽咳痰、痰中带血、胸痛等症状,晚期出现上腔静脉综合征、进行性吞咽困难、霍纳综合征等症状。•纵隔型肺癌的CT表现1、纵隔中央型肺癌CT表现为:平扫肿块多为结节状,可有分叶,增强后呈不均匀强化;纵隔肺门肿大淋巴结平扫时密度均匀,边界尚光滑,增强后边缘强化明显;亦可见其他表现,如不张的肺叶紧贴于纵隔、病灶远端点片状阻塞性肺炎等。2、纵隔隐匿型肺癌CT表现为:纵隔广泛淋巴结融合成团块状,左下肺后纵隔旁见小结节状软组织影,增强后呈均匀强化。3、纵隔周围型肺癌CT表现为:平扫表现为贴近纵隔的肿块呈分叶状,有毛刺或棘状突起,增强后有均匀强化、外围强化及不均匀强化等;病灶内可有钙化,少数见支气管气相;受累支气管可表现为管壁增厚、管腔狭窄及阻塞;远端有阻塞性肺炎及肺不张。具体说来,纵隔周围型肺癌可有下属表现:•1)肿瘤直接征象:①肿块贴近纵隔并向纵隔侵犯,瘤体大部分位于纵隔,前纵膈最多见,后纵隔次之,中纵膈较为少见;②肿瘤分叶征较常见;③四分之一肿块内部可有中心性坏死,CT值约2~17HU;④肿瘤多为不均质强化,其强化幅度约20~40HU;⑤较少病灶内可见砂粒样钙化,钙化灶CT值可达105~157HU。2)瘤肺界面:大多数病例肿块与肺组织界面非常毛糙,局部肺纹理可伸入肿块;约四分之一病例在肺窗上肿块边缘可见毛刺或棘状突起。这是因为肿瘤起源于肺组织,在瘤肺界面仍有周围型肺癌的特点,如毛刺、棘突影以及一些增粗肺纹理影。这是纵隔型周围型肺癌重要CT征象。有文献报道纵隔胸膜下周围型肺癌肿块边缘与纵隔胸膜呈锐角相交,但是肿块与纵隔胸膜呈钝角者更为常见,主要因为肿瘤体积较大,瘤体与胸膜接触面较大,因此该征象对诊断直径>3cm的纵隔胸膜下周围型肺癌价值不大;而瘤体<3cm的肺癌还是有一定的鉴别价值。3)病灶与纵隔大血管的关系:纵隔血管表现为受压移位,以上腔静脉受压最为常见,上腔静脉变扁或消失不显影,临床上出现上腔静脉综合征。⑷远处转移:纵隔型周围型肺癌病情多已是晚期,因此常见远处转移,其中以淋巴结转移最为常见,其次为胸膜转移。•纵隔型周围型肺癌鉴别诊断1)恶性胸腺瘤:一般多见于青少年;肿瘤呈浸润性生长,但与肺组织交界面仍较清晰,肿块边缘无明显毛刺影,侵袭性胸腺瘤容易出现囊变和钙化,其瘤体内囊变影与纵隔型肺癌内坏死有所不同,前者可见囊壁影比较均匀,而后者是以中心性坏死为主,周围实质性成分较多,且厚薄不均;侵袭性胸腺瘤引起胸水和心包积液较纵隔型肺癌多见;纵隔大血管以受压后移为主。2)恶性淋巴瘤:以青少年多见,临床无明显咳嗽、咳血,与肺组织分界光整,肿瘤呈多发结节或融合肿块样,前者不易与纵隔型周围型肺癌混淆,后者有时呈单一肿块与纵隔型周围型肺癌非常相似,但恶性淋巴瘤以包埋纵隔血管浸润性生长为主,血管受压移位变形改变(尤以上腔静脉)不及纵隔型周围型肺癌明显。从病变部位看,恶性淋巴瘤常累及气管旁、主肺动脉窗、隆突下及右肺门淋巴结,而纵隔型肺癌以侵犯前、后纵隔多见。•3)纵隔转移性淋巴结肿大:常多发,多位于中纵隔,在CT增强图像上,多数转移性淋巴结增大呈均匀密度强化,少数伴淋巴结中心液化坏死。单发肿瘤>3cm时较难与纵隔胸膜下周围型肺癌鉴别,但肿块与肺...

1、当您付费下载文档后,您只拥有了使用权限,并不意味着购买了版权,文档只能用于自身使用,不得用于其他商业用途(如 [转卖]进行直接盈利或[编辑后售卖]进行间接盈利)。
2、本站所有内容均由合作方或网友上传,本站不对文档的完整性、权威性及其观点立场正确性做任何保证或承诺!文档内容仅供研究参考,付费前请自行鉴别。
3、如文档内容存在违规,或者侵犯商业秘密、侵犯著作权等,请点击“违规举报”。

碎片内容

纵隔型肺癌综述

确认删除?
VIP
微信客服
  • 扫码咨询
会员Q群
  • 会员专属群点击这里加入QQ群
客服邮箱
回到顶部