电脑桌面
添加小米粒文库到电脑桌面
安装后可以在桌面快捷访问

妇产科子宫颈癌VIP免费

妇产科子宫颈癌_第1页
1/26
妇产科子宫颈癌_第2页
2/26
妇产科子宫颈癌_第3页
3/26
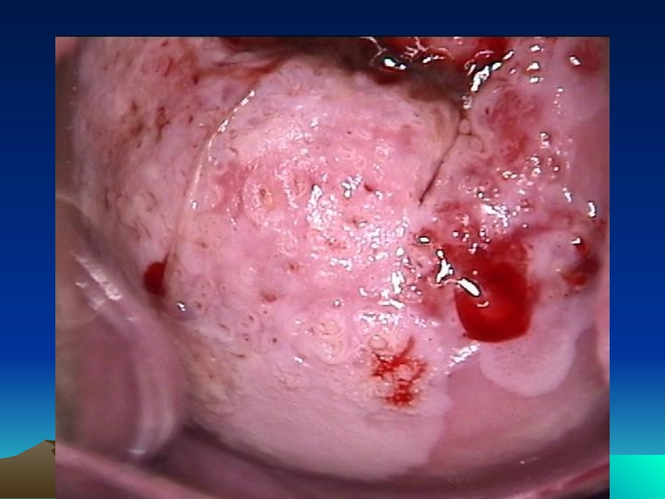
复习宫颈鳞状上皮内病变复习宫颈鳞状上皮内病变•可分为LSIL和HSIL,其中高级别CIN为癌前病变•发病于高危型HPV持续感染密切相关,转化区是SIL及子宫颈癌的好发部位。•组织学诊断是确诊和分级的依据。子宫颈锥切是主要的治疗手段。•筛查发现SIL并及时治疗HSIL,是预防子宫颈癌有效的措施。子宫颈癌子宫颈癌•【目的要求】•熟悉子宫颈癌发病相关因素。•熟悉子宫颈癌的病理类型及特点。•了解子宫颈癌的转移途径。•掌握子宫颈癌分期、临床表现、诊断和处理原则。•了解宫颈癌合并妊娠的诊断和处理。•【重点】•子宫颈癌分期、临床表现、诊断和处理原则。•【难点】子宫颈癌的病理类型及特点。病因病因•与子宫颈鳞状上皮内病变相同组织学发展组织学发展•SIL形成后继续发展,突破上皮下基底层,浸润间质形成子宫颈浸润癌。病理分型病理分型•浸润性鳞状细胞癌:占75-80%,巨检:外生型、内生型、溃疡型、颈管型•腺癌:20-25%,巨检:来自宫颈管,浸润宫颈管壁宫颈外观可正常,但因子宫颈管膨大,形如桶装。•其他:少见病理类型如腺鳞癌、腺样基底细胞癌,绒毛状管状细胞癌、内膜样癌等上皮癌,神经内分泌肿瘤,间叶性肿瘤等。转移途径转移途径•直接蔓延:最常见、癌组织局部浸润并向周围的组织器官扩散。向下,向前,向后,向两侧•淋巴转移:到达局部淋巴结,在淋巴系统内扩散:一级组:宫旁、闭孔、髂内、骼外、髂总,骶前淋巴结。二级组包括腹主动脉旁、腹股沟深浅淋巴结。•血行转移:很少见,晚期转移到肺、肝、骨。临床分期临床分期治疗前进行,治疗后不再更改治疗前进行,治疗后不再更改•I期:癌局限于宫颈IA:肉眼未见癌灶,仅在镜下可见浸润癌。IA1:间质浸润深度≤3mm,宽≤7mmIA2:间质浸润深度3-5mm,宽≤7mmIB:肉眼可见癌灶,或者镜下病灶>Ia,但限于宫颈IB1:≤4cmIB2:>4cmⅡ期:肿瘤已超出宫颈,但未达骨盆壁。癌灶累及阴道,但未达阴道下1/3。ⅡA肿瘤侵犯阴道上2/3无明显宫旁浸润•ⅡA1临床可见癌灶≤4cm•ⅡA2临床可见癌灶>4cm•ⅡB有宫旁浸润,但未达盆壁。•Ⅲ期肿瘤扩展到骨盆壁和(或)累及阴道下1/3,导致肾盂积水或无功能肾;•ⅢA癌累及阴道下1/3,但未达盆腔;ⅢB癌已达盆腔,或肾盂积水或无功能肾;•Ⅳ期癌扩散超出真骨盆或癌浸润膀胱粘膜和/或直肠粘膜;ⅣA肿瘤侵犯邻近的盆腔器官•ⅣB远处转移临床表现临床表现--症状症状•.阴道出血:接触性出血:年轻、早期病人。•绝经后出血:老年病人常表现绝经后不规则出血。•不规则出血:经期延长、经间期出血、经量增多。•致命性大出血:常为晚期病人。癌组织侵润大血管。•阴道排液:排液增多,呈浆液性或血性,水样或米泔样,有异臭。•晚期症状:疼痛,输尿管梗阻导致肾盂积水、尿毒症;恶液质等。临床表现临床表现--体征体征•早期呈光滑或糜烂样。•随病情发展,可出现不同体征。外生型-菜花状,内生型-子宫颈管膨大;晚期-癌组织脱落形成溃疡或空洞;阴道壁受累时-质硬;宫旁组织受累时-增厚、结节状、冰冻骨盆诊断诊断•三阶梯程序:子宫颈细胞学检查(和/或)高危型HPV检测→阴道镜检查→子宫颈活组织检查。•子宫颈有明显病灶时可直接在癌灶取材;宫颈锥切术适于细胞学检查多次阳性而活检阴性者,或活检为HSIL需确诊者,或可疑微小微小浸润癌需了解病灶的浸润深度和宽度等情况。切除组织应做连续病理切片。•确诊后根据具体情况选择胸片、静脉肾盂造影、膀胱镜检查、直肠镜检查、B超检查及CT、MRI、PET-CT等影像学检查。鉴别诊断鉴别诊断•子宫颈柱状上皮异位或宫颈息肉:接触性出血,作脱落细胞检查、阴道镜检查、宫颈活检。•子宫颈乳头瘤:宫颈乳头或菜花状赘生物,活检鉴别。•子宫颈子宫内膜异位症:兰色、质硬的息肉样病变,活检鉴别。•子宫颈结核:结节溃疡状病灶,宫颈活检鉴别。•子宫颈良性肿瘤:粘膜下肌瘤,宫颈肌瘤子宫颈乳头瘤;•子宫恶性肿瘤:原发性黑色素瘤、肉瘤、转移癌。治疗治疗•原则:手术和放疗为主,化疗为辅的综合治疗。处理处理--手术手术•适应症:IA—IIA期;无严重内外科合并症;•无手术禁忌症;年龄不限;肥胖者慎重。•ⅠA1期:全子宫切除,保留卵...

1、当您付费下载文档后,您只拥有了使用权限,并不意味着购买了版权,文档只能用于自身使用,不得用于其他商业用途(如 [转卖]进行直接盈利或[编辑后售卖]进行间接盈利)。
2、本站所有内容均由合作方或网友上传,本站不对文档的完整性、权威性及其观点立场正确性做任何保证或承诺!文档内容仅供研究参考,付费前请自行鉴别。
3、如文档内容存在违规,或者侵犯商业秘密、侵犯著作权等,请点击“违规举报”。

碎片内容

妇产科子宫颈癌

您可能关注的文档

确认删除?
VIP
微信客服
  • 扫码咨询
会员Q群
  • 会员专属群点击这里加入QQ群
客服邮箱
回到顶部