电脑桌面
添加小米粒文库到电脑桌面
安装后可以在桌面快捷访问

巨淋巴结增生CT表现VIP专享VIP免费

巨淋巴结增生CT表现_第1页
1/22
巨淋巴结增生CT表现_第2页
2/22
巨淋巴结增生CT表现_第3页
3/22
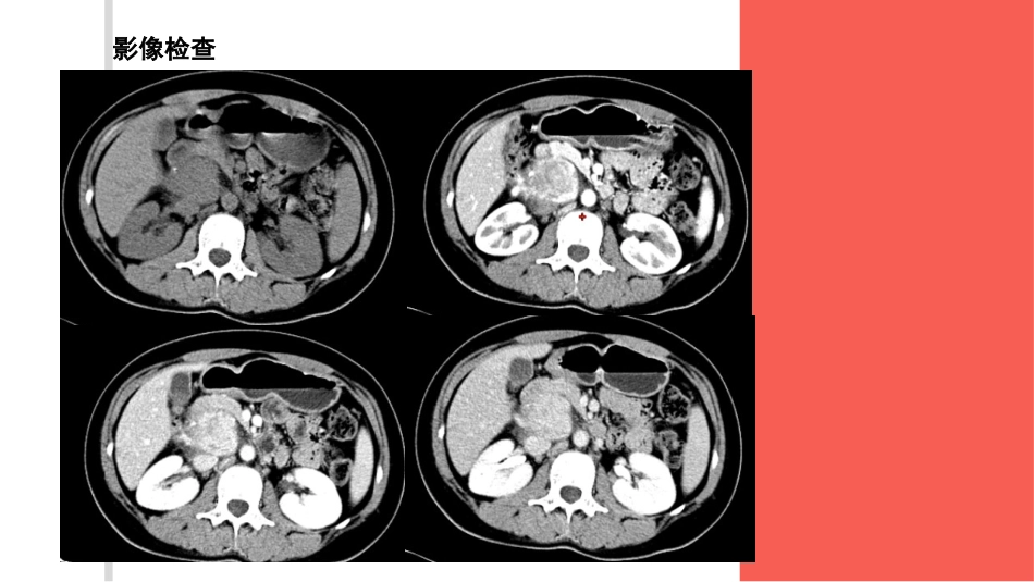
巨淋巴结增生(Castleman病)读片王洁2016-7-18病史•女,29岁;体检B超发现腹膜后占位一周余。患者一周前体检B超发现腹膜后占位,无明显不适,无血压升高。•体格检查及实验室检查未见明确异常。影像检查病理结果•巨淋巴结增生(Castleman病)巨淋巴结增生(Castleman病)少见的良性淋巴组织增生性病变;胸部多见,腹盆部少见局限型:多局限于单个淋巴结发病,约90%为透明血管型弥漫型:全身多发淋巴结增大,多数为浆细胞型•单发类圆形、椭圆形软组织肿块影,伴或不伴卫星结节(淋巴结肿大)•边界多较清晰,密度多均匀,病灶极少伴有出血、坏死,30%病例可伴有分支状或斑点状钙化,部分病灶周围筋膜增厚•CT增强扫描:动脉期明显强化,门静脉期及延迟期仍持续强化,强化方式与大血管相似;均匀或不均匀强化当肿块直径>5cm时,可为不均匀强化,表现为增强早期肿块内有星状或裂隙状不强化区,延迟扫描不强化区范围可缩小或消失当肿块直径<5cm时,病灶多为均匀强化;部分病灶周边及内部可见增粗、迂曲的供血血管,增强早期病灶周边呈“镶边状(rim-like)”强化鑒別診斷•嗜鉻細胞瘤•神經源性腫瘤異位嗜鉻細胞瘤•異位位于腹膜后、纵隔、肝门和膀胱圆形或类圆形软组织肿块,边缘清楚;密度可均匀或不均匀,可有钙化、出血,囊变;多发大小不-,恶性大、外形不规则且常侵犯邻近结构或出现转移•增强:强化明显;不均匀神經源性腫瘤•多位于脊柱旁、肾脏内侧和盆腔骶前区等神经组织丰富的部位肿块呈卵圆形或梭形、边缘清晰•密度多不均匀,瘤内可含有脂类成分;多数实质性肿瘤或囊实性肿瘤的实质部分密度较低(低于肌肉),少部分肿瘤高于肌肉,与肌肉等密度的肿瘤相对少见,瘤体大者可见坏死、囊变区,偶见钙化灶•增强扫描病灶轻度或明显强化,但强化不均匀,发生囊变时呈环形强化,坏死、囊变区无强化

1、当您付费下载文档后,您只拥有了使用权限,并不意味着购买了版权,文档只能用于自身使用,不得用于其他商业用途(如 [转卖]进行直接盈利或[编辑后售卖]进行间接盈利)。
2、本站所有内容均由合作方或网友上传,本站不对文档的完整性、权威性及其观点立场正确性做任何保证或承诺!文档内容仅供研究参考,付费前请自行鉴别。
3、如文档内容存在违规,或者侵犯商业秘密、侵犯著作权等,请点击“违规举报”。

碎片内容

巨淋巴结增生CT表现

您可能关注的文档

确认删除?
VIP
微信客服
  • 扫码咨询
会员Q群
  • 会员专属群点击这里加入QQ群
客服邮箱
回到顶部