电脑桌面
添加小米粒文库到电脑桌面
安装后可以在桌面快捷访问

口腔组织病理牙周炎VIP免费

口腔组织病理牙周炎_第1页
1/25
口腔组织病理牙周炎_第2页
2/25
口腔组织病理牙周炎_第3页
3/25
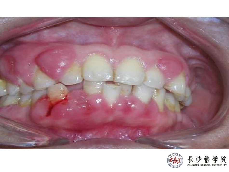
2024年10月20日星期日临床表现、基本病理变化、发生发展过程clinicalfeatures、histopathologicfeatures、stages12级本科口腔三班【clinicalfeatures】Ⅰ.发病情况:慢性牙周炎是最常见的口腔疾病之一,中老年发病率高,严重影响口腔健康,是口腔医学中最主要研究对象之一。Ⅱ.症状体征:主要表现为牙周溢脓和牙齿松动。可有咀嚼无力、牙龈肿胀、出血牙周袋溢脓牙齿松动、移位直至脱落。Ⅲ.X线:主要表现为牙槽嵴顶消失,牙槽骨硬骨板吸收,牙周膜间隙增宽。【histopathologicfeatures】1.活动期牙周炎的病理变化2.静止期牙周炎的病理变化3.牙槽骨吸收与牙周袋形成在临床病理上可分为三种情况1.活动期牙周炎的病理变化①牙面有菌斑、软垢及牙石②牙周袋内大量炎症渗出物1.活动期牙周炎的病理变化③沟内上皮出现糜烂/溃疡,一部分上皮向结缔组织内增生呈条索状/鱼眼状,有大量炎症细胞浸润。④结合上皮向根方增殖/延生,形成深的牙周带,其周围有密集的炎症细胞浸润。⑤沟内上皮和结合上皮下方的胶原纤维水肿/变性/丧失,大部分被炎症细胞取代,牙槽嵴顶骨吸收明显。1.活动期牙周炎的病理变化⑥牙槽骨出现活跃的破骨细胞性骨吸收陷窝。牙槽嵴顶及固有牙槽骨吸收破坏。1.活动期牙周炎的病理变化⑦牙周膜的基质及胶原变性、降解,由于骨的吸收、破坏,导致牙周膜的间隙增宽。⑧深牙周袋致使根面的牙骨质暴露,可见牙石与牙骨质牢固的附着。1.活动期牙周炎的病理变化【histopathologicfeatures】1.活动期牙周炎的病理变化2.静止期牙周炎的病理变化3.牙槽骨吸收与牙周袋形成在临床病理上可分为三种情况①沟内或袋壁上皮及结合上皮周围炎症明显减少,在牙周袋与牙槽骨之间可见大量新生的纤维结缔组织,或见粗大的胶原纤维束增生,其间可见少量的慢性炎症细胞浸润,还可见新生的毛细血管。②牙槽骨的吸收呈静止态,一般看不到破骨细胞。常可见原有的吸收陷窝区有新的类骨质形成。牙槽嵴部位的吸收亦可见类骨质或新生骨的形成。③牙根面被吸收的牙骨质也出现新生的现象。增生的粗大胶原纤维束附着在根面的牙骨质上,常呈棘状增生象,被吸收的牙骨质也见类骨质或新形成的牙骨质。【histopathologicfeatures】1.活动期牙周炎的病理变化2.静止期牙周炎的病理变化3.牙槽骨吸收与牙周袋形成在临床病理上可分为三种情况3.牙槽骨吸收与牙周袋形成在临床病理上可分为三种情况1.龈袋(gingivalpocket)又称假性牙周袋。是牙槽骨尚无明显的吸收,牙槽骨高度并未丧失,仅仅是牙龈组织由于炎症性增生、肿大,导致龈缘覆盖牙冠面形成的龈袋。3.牙槽骨吸收与牙周袋形成在临床病理上可分为三种情况2.骨上袋(supragingivalpocket)牙周袋底在牙槽嵴顶的上方,由于牙槽嵴为水平型骨吸收,其高度明显降低,导致骨上带形成。3.牙槽骨吸收与牙周袋形成在临床病理上可分为三种情况3.骨内袋(intrabonypocket)牙周袋底在牙槽嵴顶的下方,牙槽骨在袋的侧方,牙周袋处于牙根面与牙槽骨之间,主要由于牙槽嵴为垂直型骨吸收所致。牙槽骨吸收与牙周袋的关系【stages】掌握1.从组织病理学的角度解释慢性牙周炎的临床症状牙周袋形成:牙周组织炎症导致的牙周组织破坏,结合上皮与牙体剥离并且向根方增殖。牙槽骨吸收:多种致炎因子的作用下,导致破骨细胞活跃,吸收牙槽骨。牙周溢脓:牙周袋的化脓性炎症。牙松动:牙周组织的炎症性破坏,合并的咬合创伤等使牙周膜纤维破坏,产生牙松动。2.慢性牙周炎的基本病理变化是什么?牙周袋形成和牙槽骨吸收。3.从组织病理学的角度叙述慢性牙周炎的发生发展过程。慢性牙周炎形成的4个期:始发期、早期病变、病损确立期、进展期及其病理变化。

1、当您付费下载文档后,您只拥有了使用权限,并不意味着购买了版权,文档只能用于自身使用,不得用于其他商业用途(如 [转卖]进行直接盈利或[编辑后售卖]进行间接盈利)。
2、本站所有内容均由合作方或网友上传,本站不对文档的完整性、权威性及其观点立场正确性做任何保证或承诺!文档内容仅供研究参考,付费前请自行鉴别。
3、如文档内容存在违规,或者侵犯商业秘密、侵犯著作权等,请点击“违规举报”。

碎片内容

口腔组织病理牙周炎

您可能关注的文档

确认删除?
VIP
微信客服
  • 扫码咨询
会员Q群
  • 会员专属群点击这里加入QQ群
客服邮箱
回到顶部