电脑桌面
添加小米粒文库到电脑桌面
安装后可以在桌面快捷访问

膜龈手术病例分析VIP免费

膜龈手术病例分析_第1页
1/25
膜龈手术病例分析_第2页
2/25
膜龈手术病例分析_第3页
3/25
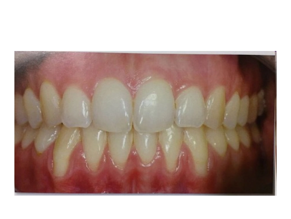
膜龈手术病例讨论•病例:女,28岁,银行职员。•主诉:自觉牙齿过长•现病史:患者自觉近年来牙齿逐渐变长,否认有刷牙出血病史以及系统性疾病史,现来我科要求治疗•口腔检查:全口恒牙列,口腔卫生状况尚可,牙龈无红肿,牙面、牙间未见明显软垢及结石,PD:2-3mm,BI:0-1,33,32,42,43可见明显牙龈退缩,GR:3mm,余牙未见明显异常。•请问1.诊断是什么?•2.如何治疗?牙周组织膜龈手术•膜龈手术(mucogingivalsurgery)是多种牙周软组织手术的总称,它们涉及附着龈、牙槽粘膜、系带或前庭沟区。•膜龈美学手术用于治疗膜龈美学异常。这种异常可由牙龈退缩造成,常伴有牙体非龋性颈部缺损和/或根面龋或被动萌出异常。膜龈手术的目的也包括增加修复体或种植体周围牙龈的厚度和高度以及增加无牙区牙槽嵴的软组织。牙龈退缩龋及非龋性颈部楔缺牙龈厚度/高度不足被动萌出异常牙周表型(periodontalphenotype)•1989年,Seibert&Lindhe根据牙龈的厚度、角化龈的宽度以及临床牙冠的宽、长之比将牙龈生物型分为两种基本类型,即厚平型牙龈(flat-thickgingiva)和薄扇形牙龈(scalloped-thingingiva)。•厚平型牙龈对应的牙齿形态为方圆形、颈部凸起明显、接触区相对大,而且靠近根方。厚平型牙龈的附着龈相对量大,骨结构较厚并能够抵抗急性创伤和炎症,但容易形成牙周袋和骨下袋。•薄扇形牙龈对应的牙齿形态为锥形牙齿、不明显的颈部凸起、邻面接触区小且靠近牙齿切端。薄扇形牙龈的附着龈相对量少,骨结构较薄易出现骨开裂或骨开窗,炎症时常发生快速骨丧失随着软组织退缩。附加松弛切口的冠向复位瓣•附加松弛切口的冠向复位瓣是治疗单牙牙龈退缩可供选择的技术之一。本方法技术简便,因其术区范围小,且无须从腭部取游离组织移植,患者容易接受。从美学角度而言,术后疗效也较好。•能否行冠向复位瓣的一个必要条件是:暴露牙根根方角化牙龈须有足够的厚度和高度(较浅的退缩至少1mm,≥5mm的退缩至少2mm)游离龈移植术•游离龈移植术指从供区获得覆盖角化上皮的结缔组织,将其移植到口腔中另一个部位。游离龈移植物通常从腭部粘膜获取,是含上皮层的结缔组织。由于覆盖于无血供牙根表面的移植组织的存活完全依赖于其与周围骨膜床之间的血管连接,该方法用于根面覆盖的效果(尤其是获得完全根面覆盖)不可预期。

1、当您付费下载文档后,您只拥有了使用权限,并不意味着购买了版权,文档只能用于自身使用,不得用于其他商业用途(如 [转卖]进行直接盈利或[编辑后售卖]进行间接盈利)。
2、本站所有内容均由合作方或网友上传,本站不对文档的完整性、权威性及其观点立场正确性做任何保证或承诺!文档内容仅供研究参考,付费前请自行鉴别。
3、如文档内容存在违规,或者侵犯商业秘密、侵犯著作权等,请点击“违规举报”。

碎片内容

膜龈手术病例分析

您可能关注的文档

确认删除?
VIP
微信客服
  • 扫码咨询
会员Q群
  • 会员专属群点击这里加入QQ群
客服邮箱
回到顶部