电脑桌面
添加小米粒文库到电脑桌面
安装后可以在桌面快捷访问

医学影像学实验报告病例VIP免费

医学影像学实验报告病例_第1页
1/22
医学影像学实验报告病例_第2页
2/22
医学影像学实验报告病例_第3页
3/22
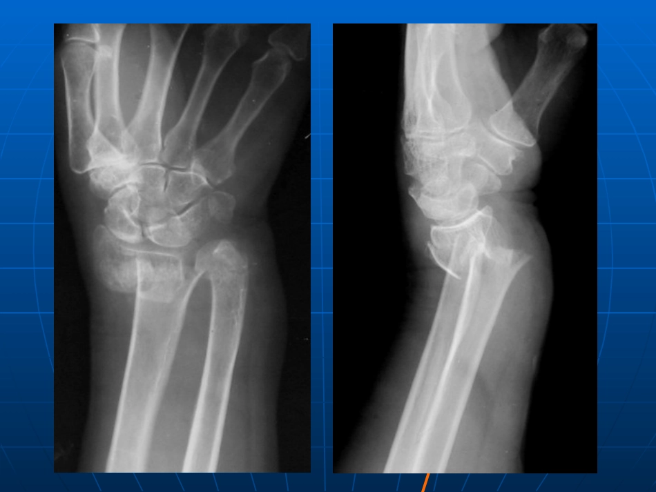
医学影像学作业题医学影像学作业题案例一案例一男,男,35y35y,外伤后,外伤后11小时,右手肿胀伴活小时,右手肿胀伴活动受限。动受限。案例二案例二病史:患者,女,病史:患者,女,2727岁,发热岁,发热22天。天。案例三案例三患者,男性,患者,男性,1717岁,消瘦、食欲减退伴咳岁,消瘦、食欲减退伴咳嗽、胸痛数月,偶有咯血。嗽、胸痛数月,偶有咯血。病例四病例四患者,女性,患者,女性,4646岁,头痛、头晕,发现颅岁,头痛、头晕,发现颅内多发占位内多发占位11周,行胸部检查。周,行胸部检查。胸部胸部CTCT增强表现,如图。增强表现,如图。案例五M,54Y呕吐、腹痛2天。病例九病例九患者,男性,患者,男性,6666岁,吞咽困难岁,吞咽困难22月余。月余。病例十病例十患者,男性,患者,男性,3232岁,腹痛伴高热岁,腹痛伴高热55天,天,WBCWBC明显增高。明显增高。病例十一病例十一患者,男性,患者,男性,6565岁,发现肉眼血尿岁,发现肉眼血尿33个个月。月。男,男,7070岁,岁,33天前天前因突发头痛伴左侧因突发头痛伴左侧肢体乏力肢体乏力22小时诊小时诊断为急性脑梗死入断为急性脑梗死入院,现复查院,现复查CTCT如如图。图。问题:最可能的诊断及诊断依问题:最可能的诊断及诊断依据据案例十二男,男,3030岁,车祸伤岁,车祸伤22小时小时问题:最可能大诊断及诊断依据问题:最可能大诊断及诊断依据案例十三1.右桡骨远端见骨折,断端向桡侧、背侧移位伴轻度成角;右尺骨远端见骨皮质不连续,但移位不明显。诊断:右侧柯雷氏骨折,右尺骨骨折2.右肺上叶见大片高密度影,边缘模糊,下缘以水平裂为界,后缘以斜裂为界,内见支气管空气征。诊断:右肺上叶大叶性肺炎3.右肺上叶见斑点状、小结节状、条索状高密度影,边界欠清;右肺下叶上段见一薄壁空洞,边界尚清,内缘尚光整,周围见多发斑点状高密度影。诊断:右肺结核(III型)伴空洞形成4.左肺下叶见一肿块影,成分叶状,边界清晰,增强见边缘强化,中心为无强化坏死区;左肺门淋巴结见肿大,增强轻度强化。诊断:左肺下叶周围型肺癌伴左肺门淋巴结转移5.全腹肠腔见明显积气扩张伴阶梯状液平形成,左上腹并见横贯肠腔的“弹簧圈”样黏膜皱襞影。结肠内气体影未见明显显示。诊断:低位小肠梗阻6.食道中下段见一管腔不规则狭窄区,黏膜中断破坏,管壁僵硬,蠕动消失,其上方食道见扩张。CT可见食道壁增厚,管腔狭窄。诊断:食道癌(中下段)7.右肝前上段见一类圆形液性低密度影,壁后约5mm,边界欠清,增强见壁明显强化,其外周可见低密度“晕征”,中心液性密度未见强化。诊断:右肝脓肿8.左肾见一巨大等高密度肿块,边界欠清,增强见皮质期明显强化及丰富血管影,其后强化程度低于肾实质呈相对低密度,肿块内并见不规则无强化坏死区。诊断:左肾癌9.右颞叶见片状低密度,其内见片状、斑片状不均匀高密度,边界欠清。诊断:出血性脑梗死10.左额颅板下见梭形高密度影,左侧脑室前角受压,中线结构略右偏。诊断:左额硬膜外血肿

1、当您付费下载文档后,您只拥有了使用权限,并不意味着购买了版权,文档只能用于自身使用,不得用于其他商业用途(如 [转卖]进行直接盈利或[编辑后售卖]进行间接盈利)。
2、本站所有内容均由合作方或网友上传,本站不对文档的完整性、权威性及其观点立场正确性做任何保证或承诺!文档内容仅供研究参考,付费前请自行鉴别。
3、如文档内容存在违规,或者侵犯商业秘密、侵犯著作权等,请点击“违规举报”。

碎片内容

医学影像学实验报告病例

您可能关注的文档

读万卷书+ 关注
实名认证
内容提供者

各类经典PPT文档分享

确认删除?
VIP
微信客服
  • 扫码咨询
会员Q群
  • 会员专属群点击这里加入QQ群
客服邮箱
回到顶部