电脑桌面
添加小米粒文库到电脑桌面
安装后可以在桌面快捷访问

医学影像学化脓性骨髓炎影像表现VIP免费

医学影像学化脓性骨髓炎影像表现_第1页
1/14
医学影像学化脓性骨髓炎影像表现_第2页
2/14
医学影像学化脓性骨髓炎影像表现_第3页
3/14
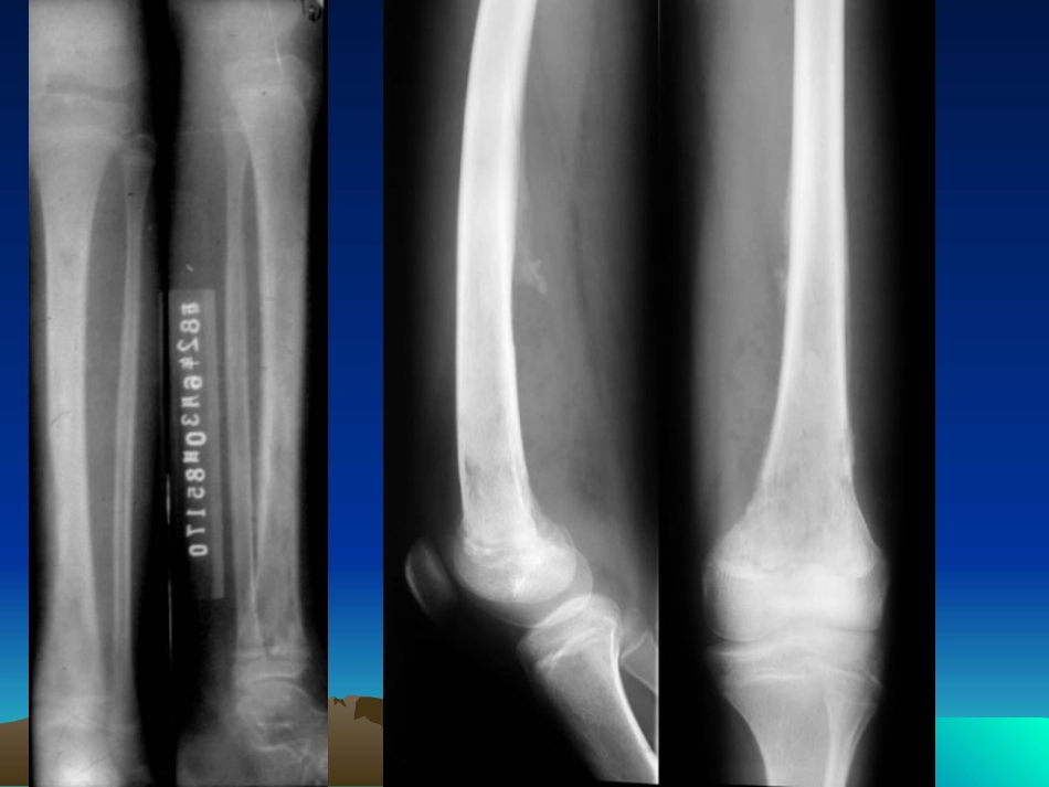
11、急性化脓性骨髓炎、急性化脓性骨髓炎X表现:⑴软组织表现①软组织密度增高、肿胀②肌间隙模糊、消失③皮下组织及肌间界线不清④皮下脂肪内出现水肿成条纹状或网状⑵骨破坏骨质疏松,骨小梁细、中断、消失呈穿凿样⑶骨膜新生与骨质增生葱皮状骨膜反应,骨质破坏与增生并存⑷死骨形成①高密度影②周围有脓腔、骨质破坏,被低密度组织保绕③两端游离④死骨长轴与骨的长轴一直⑸窦道形成⑹病理性骨折肱骨下段急性化脓性骨髓炎。示肱骨下段骨松质内斑点状骨质破坏,骨膜增生呈花边状。急性化脓性骨髓炎。MRI示T2加权横断面低信号的骨皮质外围可见高信号影,是骨膜下脓肿所致。22、慢性化脓性骨髓炎、慢性化脓性骨髓炎X线表现:⑴骨质破坏境界清楚⑵破坏周围有成骨⑶巨大死骨⑷骨皮质增厚⑸骨膜增生⑹骨骼畸形不规则肱骨慢性骨髓炎。示肱骨广泛骨质破坏和增生,骨干变粗。肱骨上段见孤立的大片长方形死骨,其长轴与骨干平行,密度显著增高浓白胫骨慢性骨髓炎。示胫骨骨质增生包壳形成,使骨干明显增粗,包壳内有大片死骨存留。侧位可见通向前方软组织的条状瘘孔。慢性化脓性骨髓炎慢性化脓性骨髓炎二、化脓性关节炎二、化脓性关节炎病理:滑膜感染→→→关节积液→→→脓液中蛋白溶解酶作用→→→关节软骨破坏→→→肉芽组织侵及骨端急性期急性期XX线表现线表现1、关节积液,早期间隙增宽2、关节变窄3、承重大关节中心部位破坏右第二掌骨-食指近节骨化脓性关节炎

1、当您付费下载文档后,您只拥有了使用权限,并不意味着购买了版权,文档只能用于自身使用,不得用于其他商业用途(如 [转卖]进行直接盈利或[编辑后售卖]进行间接盈利)。
2、本站所有内容均由合作方或网友上传,本站不对文档的完整性、权威性及其观点立场正确性做任何保证或承诺!文档内容仅供研究参考,付费前请自行鉴别。
3、如文档内容存在违规,或者侵犯商业秘密、侵犯著作权等,请点击“违规举报”。

碎片内容

医学影像学化脓性骨髓炎影像表现

您可能关注的文档

确认删除?
VIP
微信客服
  • 扫码咨询
会员Q群
  • 会员专属群点击这里加入QQ群
客服邮箱
回到顶部