电脑桌面
添加小米粒文库到电脑桌面
安装后可以在桌面快捷访问

小肝癌的CT表现VIP免费

小肝癌的CT表现_第1页
1/34
小肝癌的CT表现_第2页
2/34
小肝癌的CT表现_第3页
3/34
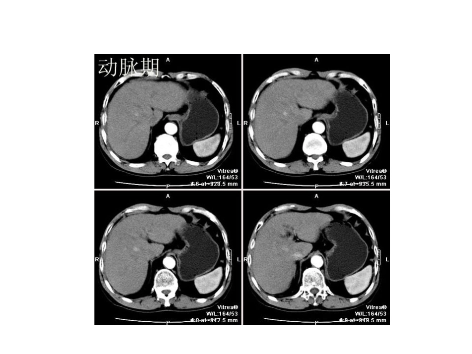
小肝癌的CT表现•小肝癌的定义:•1、单个结节最大直径≤3cm;•2、相邻两个结节,结节直径之和≤3cm。•小肝癌的临床特征:•1、小肝癌发病隐匿,病人无明显自觉症状;•2、大部分病例有慢性乙肝及肝硬化基础;•3、大部分患者AFP升高,少数患者AFP在正常范围。•小肝癌的典型CT表现:•1、平扫呈低密度或等密度;•2、动脉期高密度(高于肝实质,低于同层主动脉);•3、门脉和延迟期为低密度。小肝癌的典型CT表现病例一男性,67,B超肝右叶结节低回声病灶,无任何临床症状。肝右叶小病灶,大小约15mmX18mm,CT平扫几近等密度,动脉期明显完全强化,静脉期回落为等密度,平衡期为低密度,边缘不清晰。小肝癌的典型CT表现病例二是在肝硬化基础上发生的小肝癌,平扫示肝右后叶一低密度结节,动脉期病灶呈均一高密度强化,门脉期病灶与肝呈等密度,延迟期病灶为低密度!小肝癌的典型CT表现病例三发生在右叶的小肝癌,只是门脉期病灶变为低密度了,其它的与上一例表现差不多,也够典型吧!小肝癌的典型CT表现病例四肝左叶的小肝癌,一样的典型!小肝癌的典型CT表现病例五这一例病灶在动脉期强化虽不及上一例明显,但与周周肝脏比较还是明的。小肝癌的典型CT表现病例六这一例病灶动脉期强化比上一例就明显多了,其表现还是典型的肝癌CT表现!小肝癌的典型CT表现病例七是发生在胆囊窝旁的小肝癌!小肝癌的典型CT表现病例八发生在肝右叶的小肝癌。•小肝癌的少见CT表现主要有以下几种:1、动脉期和门脉期肿瘤都呈全瘤范围强化,强化密度都高于肝。2、动脉期肿瘤强化密度高于肝且接近同层主动脉强化密度。门脉期肿瘤密度迅速下降低于肝。3、动脉期肿瘤边缘呈高密度环形强化。4、动、门双期肿瘤强化密度都低于肝。小肝癌的少见CT表现病例一这一例门脉期病灶密度比肝脏要高,不太符合典型的表现。小肝癌的少见CT表现病例二这一例门脉期病灶密度更高,但是延迟扫描病灶还是呈低密度了。小肝癌的少见CT表现病例三动脉期肿瘤强化的过头了,密度高于肝且接近同层主动脉强化密度。门脉期肿瘤密度迅速下降低于肝。小肝癌的少见CT表现病例四动脉期肿瘤边缘呈高密度环形强化。小肝癌的少见CT表现病例五是动、门双期肿瘤强化密度都低于肝的小肝癌小肝癌的少见CT表现病例六也是动、门双期肿瘤强化密度都低于肝的小肝癌,属少见表现小肝癌的少见CT表现病例七也是动、门双期肿瘤强化密度都低于肝的小肝癌,属少见表现。小肝癌的其它少见CT表现病例一1、平扫呈等密度的小肝癌小肝癌的其它少见CT表现病例二2、门脉期呈等密度的小肝癌小肝癌的其它少见CT表现病例三2、门脉期呈等密度的小肝癌之二小肝癌的其它少见CT表现病例四3、动脉及门脉双期均呈等密度的小肝癌小肝癌的其它少见CT表现病例五4、平扫及动脉期均呈等密度的小肝癌小肝癌的其它少见CT表现病例六5、动脉期呈等密度强化的小肝癌小肝癌的其它少见CT表现病例七6、动脉期呈小结节强化的小肝癌小肝癌的其它少见CT表现病例八7、门脉期呈中心性斑点状强化的小肝癌小肝癌的其它少见CT表现病例九8、壁上结节呈双重血供的小肝癌小肝癌的其它少见CT表现病例十9、瘤内明显坏死的小肝癌小肝癌的其它少见CT表现病例十一10、含脂肪的小肝癌;小肝癌的其它少见CT表现病例十二11、门脉期肿瘤边缘呈高密度环形强化的小肝癌小肝癌的其它少见CT表现病例十三12、动、门双期都呈高密度环形强化的小肝癌小肝癌的其它少见CT表现病例十四13、浸润性生长的小肝癌

1、当您付费下载文档后,您只拥有了使用权限,并不意味着购买了版权,文档只能用于自身使用,不得用于其他商业用途(如 [转卖]进行直接盈利或[编辑后售卖]进行间接盈利)。
2、本站所有内容均由合作方或网友上传,本站不对文档的完整性、权威性及其观点立场正确性做任何保证或承诺!文档内容仅供研究参考,付费前请自行鉴别。
3、如文档内容存在违规,或者侵犯商业秘密、侵犯著作权等,请点击“违规举报”。

碎片内容

小肝癌的CT表现

您可能关注的文档

确认删除?
VIP
微信客服
  • 扫码咨询
会员Q群
  • 会员专属群点击这里加入QQ群
客服邮箱
回到顶部