电脑桌面
添加小米粒文库到电脑桌面
安装后可以在桌面快捷访问

Castleman病CT表现培训课件

Castleman病CT表现培训课件Castleman病CT表现培训课件Castleman病CT表现培训课件Castleman病CT表现培训课件Castleman病CT表现培训课件
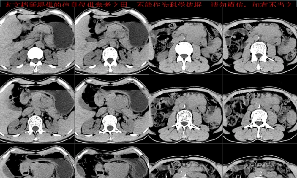
本文档所提供的信息仅供参考之用,不能作为科学依据,请勿模仿;如有不当之处,请联系网站或本人删除。本文档所提供的信息仅供参考之用,不能作为科学依据,请勿模仿;如有不当之处,请联系网站或本人删除。本文档所提供的信息仅供参考之用,不能作为科学依据,请勿模仿;如有不当之处,请联系网站或本人删除。本文档所提供的信息仅供参考之用,不能作为科学依据,请勿模仿;如有不当之处,请联系网站或本人删除。本文档所提供的信息仅供参考之用,不能作为科学依据,请勿模仿;如有不当之处,请联系网站或本人删除。病例 2本文档所提供的信息仅供参考之用,不能作为科学依据,请勿模仿;如有不当之处,请联系网站或本人删除。本文档所提供的信息仅供参考之用,不能作为科学依据,请勿模仿;如有不当之处,请联系网站或本人删除。本文档所提供的信息仅供参考之用,不能作为科学依据,请勿模仿;如有不当之处,请联系网站或本人删除。本文档所提供的信息仅供参考之用,不能作为科学依据,请勿模仿;如有不当之处,请联系网站或本人删除。病例 3本文档所提供的信息仅供参考之用,不能作为科学依据,请勿模仿;如有不当之处,请联系网站或本人删除。本文档所提供的信息仅供参考之用,不能作为科学依据,请勿模仿;如有不当之处,请联系网站或本人删除。本文档所提供的信息仅供参考之用,不能作为科学依据,请勿模仿;如有不当之处,请联系网站或本人删除。本文档所提供的信息仅供参考之用,不能作为科学依据,请勿模仿;如有不当之处,请联系网站或本人删除。Castleman 病CT 表现小讲座 福建医科大学附属第一医院影像科孙辉红( sunhvhong@sina.com )本文档所提供的信息仅供参考之用,不能作为科学依据,请勿模仿;如有不当之处,请联系网站或本人删除。病例 1•男, 58 岁,反复左上腹胀痛半年余。肿瘤标志物正常•*1 甲胎蛋白 (AFP) 1.580 0-13.6 ng/ml 电化学发光法 •*2 癌胚抗原 (CEA) 2.1 0-5.2( 吸烟者 :0-6.5) ng/ml 电化学发光法 •3 糖类抗原 125(CA125) 5.760 0-35 U/ml 电化学发光法 •4 糖类抗原 15-3(CA15-3) 10.230 0-25 U/ml 电化学发光法 •5 糖类抗原 19-9(CA19-9) 1.420 0-34 U/ml 电化学发光法 •6 糖类抗原 72-4(CA72-4) •淀粉酶 (AMYL) >35632 bg 32-641 U/L 干化学 强生 本文档所提供的信息仅供参考之用,不能作为科学依据,请勿模仿;如有不当之处,请...

1、当您付费下载文档后,您只拥有了使用权限,并不意味着购买了版权,文档只能用于自身使用,不得用于其他商业用途(如 [转卖]进行直接盈利或[编辑后售卖]进行间接盈利)。
2、本站所有内容均由合作方或网友上传,本站不对文档的完整性、权威性及其观点立场正确性做任何保证或承诺!文档内容仅供研究参考,付费前请自行鉴别。
3、如文档内容存在违规,或者侵犯商业秘密、侵犯著作权等,请点击“违规举报”。

碎片内容

Castleman病CT表现培训课件

文旅传媒+ 关注
实名认证
内容提供者

传播文化,成就未来

相关文档

确认删除?
VIP
微信客服
  • 扫码咨询
会员Q群
  • 会员专属群点击这里加入QQ群
客服邮箱
回到顶部