电脑桌面
添加小米粒文库到电脑桌面
安装后可以在桌面快捷访问

线粒体遗传病精VIP专享VIP免费

线粒体遗传病精_第1页
1/24
线粒体遗传病精_第2页
2/24
线粒体遗传病精_第3页
3/24
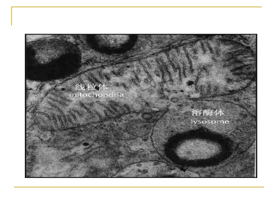
第五章线粒体遗传病InheritanceofMitochondrailDiseases第一节线粒体DNA的结构特点与遗传特征一、线粒体基因组线粒体内含有DNA分子,被称为人类第25号染色体,是细胞核以外含有遗传信息和表达系统的细胞器,其遗传特点表现为非孟德尔遗传方式,又称核外遗传。1981年Anderson等人完成了人类线粒体基因组的全部核苷酸序列的测定。线粒体基因组特点:线粒体基因组全长16569bp不与组蛋白结合,呈裸露闭环双链状,外环为重链(H),富含G,T,内环为轻链(L),富含A,C编码区各基因之间排列极为紧凑,部分区域出现重叠,无启动子和内含子非编码区(Dloop),1122bp,H链复制起始点,H链和L链的启动子,保守序列22个tRNA基因2个rRNA基因7个NADH脱氢酶亚单位的基因3个细胞色素c氧化酶亚单位基因2个ATP酶复合体成分基因1个细胞色素b基因16569bp编码37个基因13个mRNA基因线粒体氧化磷酸有关的蛋白质MitochondrialDNAMitochondrialDNA1.1.封闭性双链分子封闭性双链分子,,外为外为HH链链,,内为内为LL链链..5.5.不与组蛋白结合不与组蛋白结合,,裸露存在裸露存在..3.3.双链均有编码能力双链均有编码能力,,D-D-环为唯一的非编码环为唯一的非编码区区..6.6.突变率高突变率高,,且无且无DNADNA修复系统修复系统..2.2.结构紧凑结构紧凑,,无内含子,部分区域有重叠现无内含子,部分区域有重叠现象象..4.H4.H链含有链含有2828个基因个基因,,LL链含有链含有99个基因个基因mtDNA突变率比nDNA高10~20倍二、线粒体DNA的遗传特征(一)mtDNA的复制具半自主性(二)线粒体基因组所用的遗传密码和通用密码不同核基因组通用密码UGA为终止密码子,而mtDNA中UGA编码色氨酸。密码子核编码的AA线粒体编码的AAUGA终止色氨酸AGA,AGG精氨酸终止AUA异亮氨酸起始甲硫氨酸AUU异亮氨酸起始甲硫氨酸tRNA兼用性较强,仅用22个tRNA就可识别多达48个密码子。(三)mtDNA为母系遗传受精卵中的线粒体DNA几乎全都来自于卵子,来源于精子的mtDNA对表型无明显作用,这种双亲信息的不等量表现决定了线粒体遗传病的传递方式不符合孟德尔遗传,而是表现为母系遗传(maternalinheritance),即母亲将mtDNA传递给她的儿子和女儿,但只有女儿能将其mtDNA传递给下一代。线粒体疾病典型系谱(四)mtDNA在细胞分裂复制分离过程中存在遗传瓶颈卵细胞形成过程中线粒体数目从100000个锐减到少于100个的过程称为遗传瓶颈(geneticbottleneck)。这使得只有少数线粒体真正传给后代,也是造成子代差异的原因。(五)mtDNA的异质性与阈值效应纯质(homoplasmy)是指一个细胞或组织中所有的线粒体具有相同的基因组,都是野生型序列或者都是突变性序列。异质(heteroplasmy)是指一个细胞或组织中所含的线粒体既具有野生型又具有突变性。当突变的mtDNA达到一定的比例时,才有受损的表型出现,这就是阈值效应(thresholdeffect)。线粒体基因突变产生有害影响的阈值明显地依赖于受累细胞或组织对能量的需求。高需能的组织,如脑、骨骼肌、心脏和肝脏,更容易受到线粒体DNA突变的影响。(六)mtDNA的突变率极高任何两个人的mtDNA,平均每1000个碱基对中就有4个不同。有害的突变会由于选择而被消除,故突变的mtDNA基因虽很普遍,但线粒体遗传病却不常见。最近的研究显示,在核基因组中有指导线粒体突变修复的基因存在,但其遗传学意义还有待深入研究。第二节线粒体基因突变与常见线粒体遗传病一、线粒体基因突变的类型(一)碱基突变(二)缺失、插入突变(三)mtDNA拷贝数目突变二、常见线粒体遗传病例例LeberLeber遗传性视神经病遗传性视神经病临临床床症症状状双侧视神经萎缩、坏死双侧视神经萎缩、坏死引起中央视力迅速丧失引起中央视力迅速丧失..主要主要症状症状伴随伴随症状症状神经传导缺陷、震颤、神经传导缺陷、震颤、肌张力降低肌张力降低..男性患者是女性患者的男性患者是女性患者的55倍倍,,原因不原因不明明..机理研究机理研究多种多种mtDNAmtDNA突变都与突变都与LeberLeber遗传性视神经萎缩遗传性视神经萎缩的发生有关的发生有关..1177811778bpbp位点突变位点突变GGAA高度保守高度保守精氨酸精氨酸组氨酸组氨酸还原型辅还原型辅酶Ⅰ异常酶Ⅰ异常First...

1、当您付费下载文档后,您只拥有了使用权限,并不意味着购买了版权,文档只能用于自身使用,不得用于其他商业用途(如 [转卖]进行直接盈利或[编辑后售卖]进行间接盈利)。
2、本站所有内容均由合作方或网友上传,本站不对文档的完整性、权威性及其观点立场正确性做任何保证或承诺!文档内容仅供研究参考,付费前请自行鉴别。
3、如文档内容存在违规,或者侵犯商业秘密、侵犯著作权等,请点击“违规举报”。

碎片内容

线粒体遗传病精

您可能关注的文档

读万卷书+ 关注
实名认证
内容提供者

各类经典PPT文档分享

确认删除?
VIP
微信客服
  • 扫码咨询
会员Q群
  • 会员专属群点击这里加入QQ群
客服邮箱
回到顶部