电脑桌面
添加小米粒文库到电脑桌面
安装后可以在桌面快捷访问

肺水肿的线表现VIP专享VIP免费

肺水肿的线表现_第1页
1/31
肺水肿的线表现_第2页
2/31
肺水肿的线表现_第3页
3/31
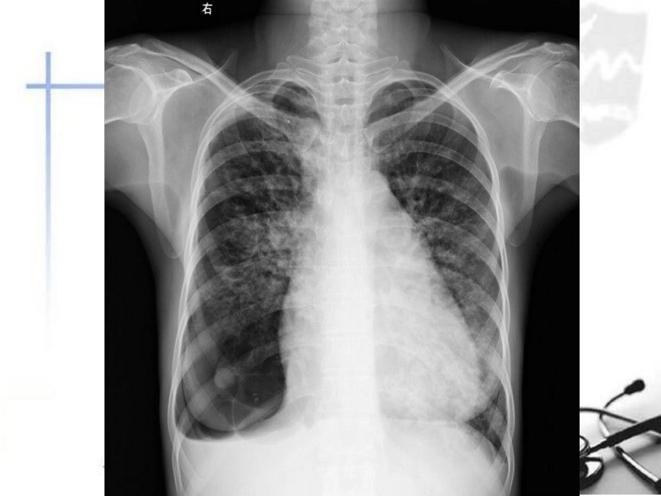
肺水肿的X线表现老A影像园志愿者Case•女性、46岁•胸闷、心慌、气促月余、咳嗽、少痰•查体:体温37.8,双肺呼吸音粗,可闻及干湿性罗音诊断结果•风湿性心脏病(二尖瓣狭窄)•肺淤血伴右下肺大泡肺纹理增多增粗边缘模糊片状模糊影肺大泡主要内容•肺淤血的X线表现•间质性肺水肿的X线表现•肺泡性肺水肿的X线表现•复张性肺水肿的X线表现肺水肿发生机制•压力性肺水肿---跨血管壁有效滤过压增高引起•通透性肺水肿---肺毛细血管壁通透性增高•混合性肺水肿---高原性肺水肿、神经原性肺水肿EVLW={(SA×Lp)〔(Pmv-Ppmv)-σ(πmv-πpmv)〕}-Flymph•EVLW为肺血管外液体含量•SA为滤过面积•Lp为水流体静力传导率•Pmv和Ppmv分别为微血管内和微血管周围静水压•σ为蛋白反射系数•πmv和πpmv分别为微血管内和微血管周围胶体渗透压•Flymph为淋巴流量•SA×Lp=Kf肺毛细血管壁通透性•(Pmv-Ppmv)-σ(πmv-πpmv)•跨血管壁有效滤过压肺淤血VS肺水肿•肺静脉高压:肺毛细血管-肺静脉压超过1.33KPa(10mmHg)•肺淤血:轻者•间质性肺水肿:压力>3.33KPa(25mmHg)•肺泡性肺水肿(中央型):压力进一步升高,血浆外渗到肺泡肺淤血的X线表现•属肺多血,指肺静脉回流受阻,使血流滞留在肺静脉系统内,肺静脉扩张•肺野透明度降低,呈模糊条纹状影•以中、下肺野显著,有时呈网状或圆点状•肺门影增大间质性肺水肿X线表现•液体积聚在肺间质内•间隔线•肺血重新分布•支气管周围袖口症•肺纹理及肺门血管增粗、模糊•肺脏透亮度下降•胸膜增厚胸腔积液间隔线•Kerley’sABC线阴影•Kerley’sB线是最重要的X线征象---正位,肋膈角处胸膜下厚度为1-2mm,长约2cm,与胸膜垂直---侧位,与胸骨下及膈胸膜垂直的线形阴影•肺间质异常的其他疾病亦可见间隔线---肺间质纤维化、重金属盐沉着症和癌性淋巴管炎女,59高血压糖尿病肾病奇静脉扩张支气管周围套袖样改变Kerley’sABC•Kerley’sA线(箭头)不透明线,从外周至肺门,为外周和中心淋巴组织的交通支液体潴留所致•Kerley’sB线(白色箭头)短的水平线,位于肺基底部,与胸膜表面垂直,为肺叶间隔膜水肿所致•Kerley’sC线(黑色箭头)位于肺基底部的不透明网格状线肺血重新分布•正常立位胸片---上肺野的血管阴影比下肺野的细•左心功能不全肺淤血---上肺野的血管阴影增粗、增多,下肺野血管阴影变细,与正常比呈上下逆转现象•机制很复杂…支气管周围袖口症•正常时肺门区可见一个或两个支气管断面形成的环形阴影,一般为上叶前段支气管,也可为下叶背段或舌叶支气管。其厚度约为1mm左右,边界清楚•间质性肺水肿时,支气管周围结缔组织内有液体存积,支气管壁形成的环形阴影增厚,边缘模糊间质性肺水肿其它X线表现•肺纹理及肺门血管增粗、模糊•肺脏透亮度下降•胸膜增厚•胸腔积液---严重的肺水肿可引起少量胸腔积液---胸膜腔内的液体来自壁层胸膜肺泡性肺水肿•中央型肺水肿•弥漫性肺水肿•局限性肺水肿中央型肺水肿•呈“蝶翼状”分布•常见于心脏和尿毒症患者•治疗及时一般很快吸收消失•治疗不及时,肺泡内除渗液外,可凝固的纤维蛋白和巨噬细胞所填充•可产生炎性改变,肺水肿可继发感染蝶翼征•指位于两肺中内带的大片状阴影,肺野的外带、肺尖、肺脏基底部、叶间裂周围和大血管附近病变轻微或正常弥漫性肺水肿•全弥漫性分布于两肺野•大小和密度不等,轮廓不清•可融合呈斑片状阴影•以非心源性---成人急性呼吸窘迫综合征(ARDS)白肺ARDS局限性肺水肿•肺泡性肺水肿所产生的阴影•呈局限性,以右侧多见•与心脏病患者喜欢右侧卧位和心脏增大压迫左肺动脉,使左、右肺肺血液量不同所致肺泡性肺水肿X线•1.腺泡实变的结节影,0.5cm~1.0cm,边缘模糊,很快融合•2.小叶实变的斑片影,很快融合成大片•3.大片融合影,有含气支气管征•4.中央型两肺的中、内带,蝶翼征•5.弥漫性广泛分别在肺野中、内带•6.单侧、不对称与体位有关。体位与病变分布的关系受重力影响•7.阴影动态变化从下、内很快向上、外发展•8.1~2天可有很大变化•9.胸腔积液少量•10.多与间质性肺水肿并存•11.短期内阴影变化快复张性肺水肿•Reexpa...

1、当您付费下载文档后,您只拥有了使用权限,并不意味着购买了版权,文档只能用于自身使用,不得用于其他商业用途(如 [转卖]进行直接盈利或[编辑后售卖]进行间接盈利)。
2、本站所有内容均由合作方或网友上传,本站不对文档的完整性、权威性及其观点立场正确性做任何保证或承诺!文档内容仅供研究参考,付费前请自行鉴别。
3、如文档内容存在违规,或者侵犯商业秘密、侵犯著作权等,请点击“违规举报”。

碎片内容

肺水肿的线表现

您可能关注的文档

确认删除?
VIP
微信客服
  • 扫码咨询
会员Q群
  • 会员专属群点击这里加入QQ群
客服邮箱
回到顶部