电脑桌面
添加小米粒文库到电脑桌面
安装后可以在桌面快捷访问

神经皮肤综合征VIP免费

神经皮肤综合征_第1页
1/31
神经皮肤综合征_第2页
2/31
神经皮肤综合征_第3页
3/31
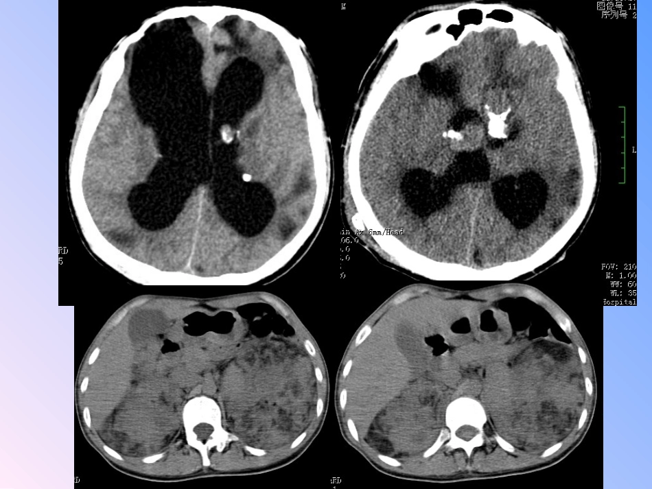
神经皮肤综合征病例1患者男24岁病史:以“意识不清半小时”为主诉入院,曾因脑积水手术。影像诊断:室管膜下巨细胞星形细胞瘤+双肾多发错构瘤。——结节性硬化综合征(TSC)病例2•患者女45岁•病史:气短3年,伴腹部不适1月影像诊断:室管膜下多发钙化结节+皮质下钙化结节+肺淋巴管肌瘤+双肾多发错构瘤+脊柱多发骨岛。——结节性硬化综合征(TSC)病例2神经皮肤综合征(又称斑痣性错构瘤病)指起源于外胚层的组织和器官发生的疾病,常导致神经系统、皮肤和眼同时受累,也可引起中胚层和内胚层的组织,如心、肺、肾、骨和胃肠等不同程度的损害,至今已报道40多种疾病,多数属于遗传性疾病。脊椎动物三胚层形成的部分器官最常见的神经皮肤综合征•Ⅰ型神经纤维瘤病(NF1)•Ⅱ型神经纤维瘤病(NF2)•结节性硬化综合征(TS)•脑颜面神经血管瘤病(Sturge—Weber综合征)神经纤维瘤病(NF)神经纤维瘤病(NF)是由于起源于神经嵴细胞异常所导致的多系统损害的常染色体显性遗传病,可分为两种类型:NF-1型是由于染色体17q11.2缺失所致,主要特征为:分布在脑神经、脊神经、皮肤或皮下组织的多发性神经纤维瘤,皮肤症状:以及表皮基底细胞内黑色素沉积而致皮肤色素斑(牛奶—咖啡斑)、雀斑、色素沉着。NF-2型是由染色体22q12.2缺失所致,主要特征为:双侧听神经瘤,常合并有脑膜瘤、脊膜瘤、星形细胞瘤以及脊旁后根神经鞘瘤,皮肤肿瘤以神经鞘瘤为主。Ⅰ型神经纤维瘤病(NF1)临表现床•(1)牛奶咖啡斑:大约占50%,常常在出生时即出现,开始数量少,颜色浅,随后数量逐渐增多,颜色加深。腋窝、腹股沟区的雀斑及色素沉着。•(2)Lisch结节:是由于眼球虹膜境界清楚的橙黄色圆形小结节(虹膜结节)。•(3)其他:蝶骨大翼发育不良、骨缝缺损、脊柱侧弯畸形、脑膜膨出,丛状神经瘤,颅骨和脊柱之外的肌肉骨骼病变等。牛奶咖啡斑Lisch结节(虹错构瘤)虹膜错构瘤(Lisch结节)•NF-1:皮肤牛奶咖啡斑等改变、骨骼畸形、神经纤维瘤或丛状神经纤维瘤,通常儿童期起病;图NF-1A:多发牛奶咖啡斑;B:雀斑伴牛奶咖啡斑;C:皮肤神经纤维瘤;D1:结节状神经纤维瘤;D2:丛状神经纤维瘤;D3:丛状及浸润性神经纤维瘤Ⅱ型神经纤维瘤病(NF2)•临床表现:NF-2型的临床表现即双侧听神经瘤,正常人群中发病率为1:50000,20左右岁出现。NF-2型患者皮肤病损表现不明显且不具有特异性,所以NF-2型在初诊时较迟。皮肤症状没有或很少。影像表现(1)双侧听神经瘤;(2)其他颅神经瘤如:双侧三叉神经瘤、双侧副神经瘤;(3)脑膜瘤;(4)脊柱及脊髓表现(髓内室管膜瘤,多发脊膜瘤,椎间孔扩大等)双侧听神经瘤:大多数听神经瘤表现为以内听道为中心占位病变,与岩骨呈锐角,其边界清楚。CT表现为桥小脑角区类圆形肿块,密度较均匀,病灶较大者可挤压小脑、脑干使之变形,可伴有囊变出血,钙化少见,增强后实质部分明显强化,骨窗可见内听道扩大或正常;MRI表现为T1WI低、等信号,T2WI稍高信号,病灶内出现囊变出血信号可不均匀,增强后强化明显。小听神经瘤仅依靠平扫很容易漏诊,应常规MRI增强扫描,表现为听神经束增粗,明显强化。多发脑膜瘤:可发生于颅内任何位置,大多余硬模呈宽基底相连,也可发生在脑室内,T1、T2表现余脑实质等信号的信号强度,若不做增强容易漏掉。有明显占位效应,周围可有不同程度的水肿,增强明显强化,伴脑膜尾征。双侧听神经瘤,多发脑膜瘤脑室内脑膜瘤神经纤维瘤病的诊断标准●符合下列2条或2条以上者即可诊断NF-1型:(1)6个及以上直径>5mm的皮肤咖啡牛乳色斑;(2)2个及以上任何类型的神经纤维瘤或1个丛状神经纤维瘤;(3)腋窝或腹股沟区雀斑;(4)视神经胶质瘤或其他脑实质胶质瘤;(5)2个及以上虹膜错构瘤(Lisch结节);(6)特征性的骨性病变,包括蝶骨发育不良,假关节或长骨骨皮质变薄;(7)直系一级亲属中有NF-1型家族史。●有以下任何1种异常表现的即可诊断为NF-2型:(1)CT或MRI显示桥小脑区肿块(无需组织学依据);(2)患者直系亲属并以下疾病的任意两种表现:神经纤维瘤、脑膜瘤、胶质瘤、施万细胞瘤(神经鞘瘤)、青少年晶状体后包膜下混浊。结节性硬化症•结节性硬化(TS)以常染色提...

1、当您付费下载文档后,您只拥有了使用权限,并不意味着购买了版权,文档只能用于自身使用,不得用于其他商业用途(如 [转卖]进行直接盈利或[编辑后售卖]进行间接盈利)。
2、本站所有内容均由合作方或网友上传,本站不对文档的完整性、权威性及其观点立场正确性做任何保证或承诺!文档内容仅供研究参考,付费前请自行鉴别。
3、如文档内容存在违规,或者侵犯商业秘密、侵犯著作权等,请点击“违规举报”。

碎片内容

神经皮肤综合征

您可能关注的文档

确认删除?
VIP
微信客服
  • 扫码咨询
会员Q群
  • 会员专属群点击这里加入QQ群
客服邮箱
回到顶部