电脑桌面
添加小米粒文库到电脑桌面
安装后可以在桌面快捷访问

颅内生殖细胞瘤VIP免费

颅内生殖细胞瘤_第1页
1/47
颅内生殖细胞瘤_第2页
2/47
颅内生殖细胞瘤_第3页
3/47
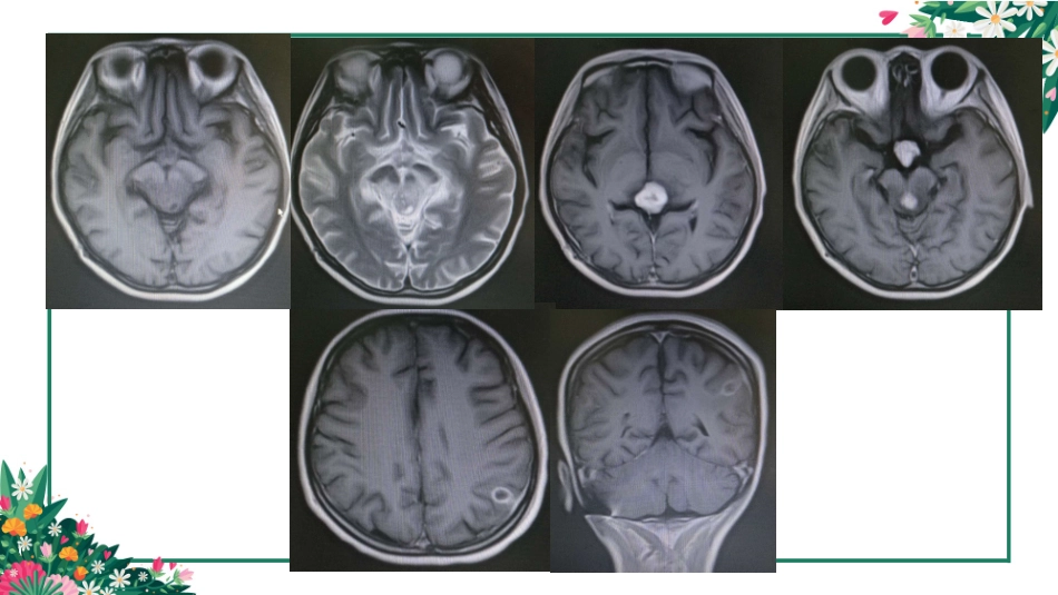
颅内生殖细胞瘤及其鉴别(germcelltumor,GCT)贵州医科大学2016级简要病史患者女,24岁,2年前无明显诱因出现闭经,后视物模糊,有重影,无头晕、头晕、口角歪斜、言语含糊等,现患者大小便失禁、感头痛,视物模糊症状加重,就诊于我院,行头颅MRI。如图所示。概述•生殖细胞肿瘤是发生于生殖腺或生殖腺外的肿瘤,由原始生殖细胞或多能胚细胞转型而形成;原始的生殖腺发育成熟为卵巢或睾丸,并分别下降至盆腔、阴囊,在此过程中,原始生殖腺也可发生异位移行,因此生殖细胞肿瘤除了可以原发于卵巢和睾丸外,还可以发生在性腺外(extragonadal),且多位于中线附近。头颅颈部纵隔腹膜后骶尾椎病理分型WHO的病理分类将GCTs分为6个亚型:生殖细胞瘤、畸胎瘤、内胚窦瘤(又名卵黄囊瘤)、绒毛膜上皮癌(简称绒癌)、胚胎癌、混合性生殖细胞瘤(混合性生殖细胞瘤为其他组织学成分混合而成)。除生殖细胞瘤(germinomas)以外的肿瘤总称为非生殖细胞瘤性生殖细胞肿瘤(nongerminomatousgermcelltumors,NGGCTs)。生殖细胞瘤约占GCTs的50~70%。流行病学•亚洲的发生率明显高于欧美国家•高峰年龄:10-12岁(90%<20岁)•颅内好发部位为松果体及鞍上区,比例约为2:1。约5%~10%的病人肿瘤在这两个部位同时出现,这种情况绝大多数都属于生殖细胞瘤。•性别特征•松果体区男性多见(70%的男性病人)•鞍上区女性多见(75%的女性病人)•基底节、丘脑和大脑半球几乎为男性解剖视束垂体海绵窦颈内动脉大脑中动脉动眼神经滑车神经视神经上颌神经基底节豆状核杏仁核屏状核尾状核临床表现松果体区中脑导水管受压颅内高压头痛、恶心呕吐、意识障碍、癫痫发作可表现为性早熟鞍区下视丘—垂体系统尿崩症最常见导致视力和视野障碍可表现为发育迟缓基底节区肢体活动障碍松果体区生殖细胞瘤影像诊断与鉴别01松果体区起源于松果体腺02起源于松果体腺周围生殖细胞瘤畸胎瘤松果体细胞瘤松果体母细胞瘤中间分化型胶质瘤脑膜瘤转移瘤非肿瘤性病变:囊肿、脂肪瘤胚胎生殖细胞分化松果体主质细胞分化松果体区生殖细胞瘤•50%松果体肿瘤•软组织肿块–CT高密度–“增强明显,V”字征•“Engulf”松果体,中心钙化•囊变,出血少见CT平扫为松果体区圆形、类圆形或浅分叶实性病灶,呈等密度或稍高密度,常有松果体的钙化斑块包裹其中或挤向边缘。三脑室后部受压变形,若肿瘤向前沿三脑室两侧壁生长使三脑室后部呈V字形,尖端指向肿瘤,瘤体呈蝴蝶状,是松果体区生殖细胞瘤较为特征的表现。生殖细胞瘤MRI为等或稍长T1长T2信号,增强扫描时病灶明显均匀强化。少数病灶内可有出血和囊变。肿瘤可有多发及沿脑脊液种植于蛛网膜下腔、室管膜下及软脑膜,需增强扫描明确。•15%松果体肿瘤•小儿和青年人多见,男>女•可分为囊性和实质性,囊性多为良性,实质性者多为恶性•因有牙齿、骨、脂肪等组织,CT上为高低不等密度,MRI图像上畸胎瘤在各个序列上表现为不均质松果体区畸胎瘤畸胎瘤‘松果体主质细胞肿瘤特点•发病年龄较生殖细胞瘤大(20-40岁)•多见于青年女性,生殖细胞瘤多见于青少年男性•“”呈爆炸钙化灶,生殖细胞瘤常推压松果体钙化移位•很少发生坏死、囊变及出血•“”松果体瘤不具有生殖细胞瘤侵犯三脑室后部形成的蝴蝶征•鞍上池、基底节区及脑实质内有肿瘤病灶时考虑生殖细胞瘤•患者性征发育迟缓或不发育CT呈类圆形等密度或稍高密度影,MRI为等或稍长T1稍长T2信号,边界清楚,周围无水肿,可见钙化,无出血、囊变及坏死。增强扫描肿瘤轻到中度均匀强化,少数呈不均匀强化。松果体细胞瘤为起源于松果体实质的良性肿瘤,占松果体区肿瘤的15%以下,多发生于青年女性,平均年龄34岁。WHO分级为Ⅱ级。松果体细胞瘤松果体母细胞瘤松果体母细胞瘤WHO分级为Ⅳ级,肿瘤较早侵犯第三脑室并沿脑脊液途径播散转移,形成脊髓和脑膜种植。松果体母细胞瘤常较大,形体不规则,呈浸润性生长,无包膜,与邻近组织分界不清,CT平扫成等密度或稍高密度或等低混杂密度,肿瘤内出血、坏死囊变常见,钙化罕见。MRI为混杂T1长T2信号,DWI为高信号。增强扫描肿瘤明显不均匀强化。中等分化松果体实质肿瘤中间分化的松果体实质瘤...

1、当您付费下载文档后,您只拥有了使用权限,并不意味着购买了版权,文档只能用于自身使用,不得用于其他商业用途(如 [转卖]进行直接盈利或[编辑后售卖]进行间接盈利)。
2、本站所有内容均由合作方或网友上传,本站不对文档的完整性、权威性及其观点立场正确性做任何保证或承诺!文档内容仅供研究参考,付费前请自行鉴别。
3、如文档内容存在违规,或者侵犯商业秘密、侵犯著作权等,请点击“违规举报”。

碎片内容

颅内生殖细胞瘤

您可能关注的文档

静心书店+ 关注
实名认证
内容提供者

专注于各类考试试卷和真题。

相关文档

确认删除?
VIP
微信客服
  • 扫码咨询
会员Q群
  • 会员专属群点击这里加入QQ群
客服邮箱
回到顶部