电脑桌面
添加小米粒文库到电脑桌面
安装后可以在桌面快捷访问

腹盆部影像图片VIP免费

腹盆部影像图片_第1页
1/51
腹盆部影像图片_第2页
2/51
腹盆部影像图片_第3页
3/51
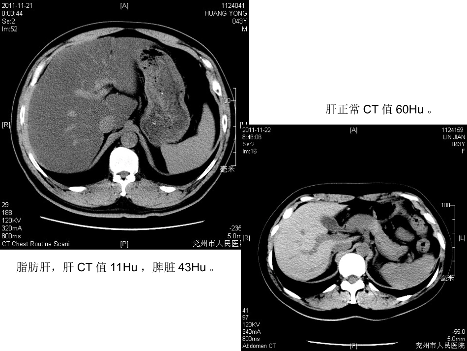
典型病例消化系统脂肪肝,肝CT值11Hu,脾脏43Hu。肝正常CT值60Hu。右肝囊肿右肝囊肿T1T1加权像加权像T2T2加权像加权像T2T2加权像加权像胆囊多发结石胆囊多发结石MRCPMRCPT2T2加权像加权像T2T2加权像加权像•胆囊结石MR:060596肝海绵状血管瘤CT平扫MR平扫MR:060683增强扫描右肝海绵状血管瘤右肝海绵状血管瘤T1T1加权像加权像T2T2加权像加权像T1T1增强像增强像T1T1增强像增强像肝脂肪变性并肝血管瘤MR:060649巨大肝血管瘤MR:060212增强扫描:动脉期、门脉期、延迟扫描左肝癌,门静脉瘤栓左肝癌,门静脉瘤栓T1T1增强像增强像T2T2加权像加权像T2T2加权像加权像十二指肠乳头腺瘤MR:060432腹膜后畸胎瘤IVP腹膜后畸胎瘤胰腺癌MR平扫胰腺癌MR增强泌尿系统右肾挫伤及复查•肾囊肿左肾结石左输尿管结石并肾积水输尿管积水MR:060487肾细胞癌(肾细胞癌(3.23.2厘米)未突破肾包膜厘米)未突破肾包膜RobsonRobsonⅠⅠ期期,,TNMTNMTT22NN00MM00肾细胞癌突破肾包膜,肾细胞癌突破肾包膜,RobsonRobsonⅡⅡ期期,,TNMTNMTT3a3aNN00MM00左肾错构瘤左肾错构瘤T1T1加权像加权像T2T2加权像加权像T2T2加权像加权像神经源性膀胱神经源性膀胱T2T2加权像加权像MRUMRUT1T1加权像加权像输尿管移行细胞癌T2T2加权像加权像MRUMRUT1T1加权像加权像膀胱肿瘤MR:050585•膀胱结石生殖系统双子宫、双阴道MR:050634八月正常胎儿MR:050632胎儿肾脏畸形二、子宫肌瘤•是子宫最常见•的良性肿瘤。•根据位置,•子宫肌瘤分为•浆膜下、壁内•、粘膜下型及•带蒂外生型。子宫肌瘤MR:06111子宫内膜癌并卵巢转移MR:061511•宫颈囊肿男性盆腔前列腺、精囊前列腺显示前列腺增生前列腺增生T2T2加权像加权像•前列腺增生图前列腺癌前列腺癌BB期期前列腺癌前列腺癌CC期期左侧精囊腺出血左侧精囊腺出血T1T1加权脂肪抑制像加权脂肪抑制像T2T2加权脂肪抑制像加权脂肪抑制像•前列腺癌图SagT1WI增强隐睾

1、当您付费下载文档后,您只拥有了使用权限,并不意味着购买了版权,文档只能用于自身使用,不得用于其他商业用途(如 [转卖]进行直接盈利或[编辑后售卖]进行间接盈利)。
2、本站所有内容均由合作方或网友上传,本站不对文档的完整性、权威性及其观点立场正确性做任何保证或承诺!文档内容仅供研究参考,付费前请自行鉴别。
3、如文档内容存在违规,或者侵犯商业秘密、侵犯著作权等,请点击“违规举报”。

碎片内容

腹盆部影像图片

确认删除?
VIP
微信客服
  • 扫码咨询
会员Q群
  • 会员专属群点击这里加入QQ群
客服邮箱
回到顶部