电脑桌面
添加小米粒文库到电脑桌面
安装后可以在桌面快捷访问

阑尾炎影像学VIP免费

阑尾炎影像学_第1页
1/31
阑尾炎影像学_第2页
2/31
阑尾炎影像学_第3页
3/31
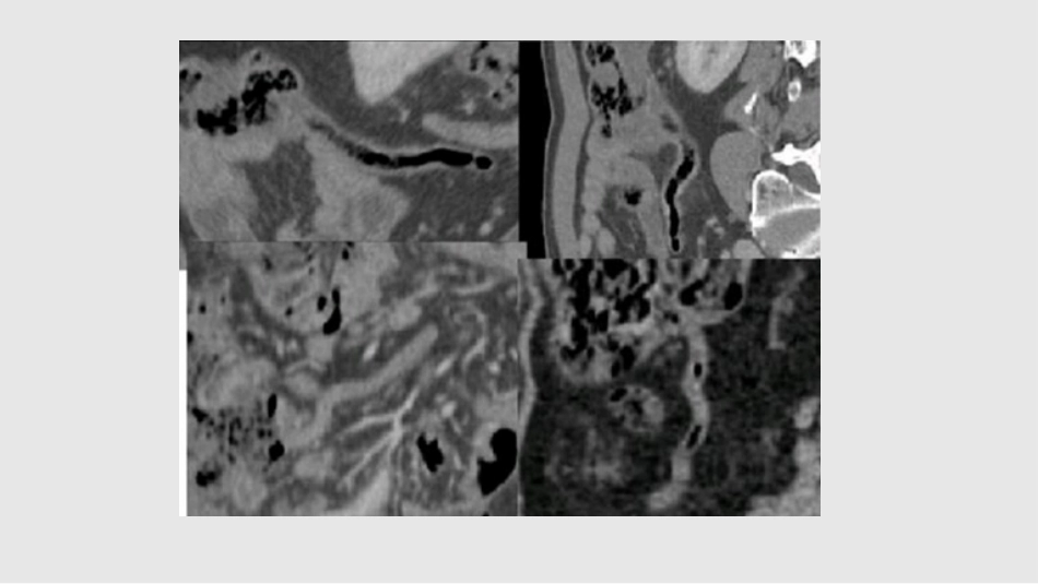
阑尾炎CT诊断遵义市第一人民医院影像科黄清附属于盲肠的一段肠管,形式蚯蚓,又称蚓突阑尾根部连接于盲肠后内侧壁,远端游离,位置随盲肠位置而定。1.左位阑尾2.高位阑尾3.腹膜外阑尾4.疝内阑尾(位于腹外疝囊内)5.壁内阑尾6.腔内阑尾7.低位阑尾8.错位阑尾长度:6-8cm管壁:≤3mm位置:常位于右侧髂窝、回盲瓣下3cm,以盲肠后位及回肠后位多见内可见气体(20%)、液体(4%)、混杂密度(58%),约18%塌陷1.节段性阑尾2.阑尾憩室3.阑尾过长>20cm4.短小阑尾<1cm5.阑尾缺如发育异常阑尾血供急性阑尾炎是外科常见病,居各种急腹症首位它可发生在任何年龄,以青少年多见,20-30岁年龄组为高峰,约占总数的40%。男:女=2:1~3:1。阑尾管腔梗阻淋巴滤泡的明显增生,约80%粪石阻塞,约35%异物、炎性狭窄、食物残渣、蛔虫、肿瘤细菌入侵革兰阴性杆菌厌氧菌胃肠道影响阑尾管壁肌痉挛,血运障碍以感染和梗阻为主病理类型急性单纯性阑尾炎病变早期,限于粘膜和粘膜下外观—轻度肿胀,浆膜充血,失去正常光泽,表面少量纤维素性渗出镜下—阑尾各层水肿,中性粒细胞浸润,粘膜表面小溃疡和出血点临床症状和体征较轻急性化脓性阑尾炎(蜂窝组织炎)由单纯阑尾炎发展而来外观—肿胀明显,浆膜高度充血,表面覆盖以纤维素性(脓性)渗出物镜下—阑尾粘膜溃疡面加大达肌层,管壁各层小脓肿形成,腔内积脓临床症状和体征较重局限性腹膜炎形成急性坏疽性阑尾炎病变进一步加剧外观—呈暗紫色或黑色镜下—阑尾管壁坏死或部分坏死,阑尾腔内积脓,压力升高2/3病例发生穿孔,多位于根部和阑尾近端急性弥漫性腹膜炎临床症状和体征重急性阑尾炎伴周围脓肿形成急性化脓性阑尾炎急性坏疽性阑尾炎急性阑尾炎伴穿孔大网膜移至右下腹阑尾包裹并形成粘连炎性肿块周围脓肿急性阑尾炎CT征象1.盲肠、升结肠充气:但不扩张,又是末端回肠充气,放射性肠淤积。2.阑尾增粗(管腔直径>10mm):使用长对比剂时,如阑尾被肠道对比剂或气体完全充盈,则可排除阑尾炎诊断。3.阑尾周围炎:急性阑尾炎患者98%出现阑尾周围炎,表现为脂肪线型侵润,局部筋膜增厚、系膜密度增高。4.阑尾粪石:非特异性征象,如仅显示粪石但无扩张及周围炎性改变,不可诊断阑尾炎。5.CT增强检查:阑尾炎症时可弥漫或首先累及粘膜及粘膜下层,引起阑尾、盲肠或邻近末端回肠肠壁增厚,强化均匀或不均匀,盲肠壁增厚分层称靶征。6.阑尾炎穿孔的征象直接征象阑尾壁不连续—增强扫描阑尾腔内粪石或对比剂外漏间接征象阑尾周围游离气体蜂窝织炎脓肿形成特殊类型阑尾炎1.新生儿急性阑尾炎2.小儿急性阑尾炎3.妊娠期急性阑尾炎4.老年急性阑尾炎谢谢

1、当您付费下载文档后,您只拥有了使用权限,并不意味着购买了版权,文档只能用于自身使用,不得用于其他商业用途(如 [转卖]进行直接盈利或[编辑后售卖]进行间接盈利)。
2、本站所有内容均由合作方或网友上传,本站不对文档的完整性、权威性及其观点立场正确性做任何保证或承诺!文档内容仅供研究参考,付费前请自行鉴别。
3、如文档内容存在违规,或者侵犯商业秘密、侵犯著作权等,请点击“违规举报”。

碎片内容

阑尾炎影像学

确认删除?
VIP
微信客服
  • 扫码咨询
会员Q群
  • 会员专属群点击这里加入QQ群
客服邮箱
回到顶部