电脑桌面
添加小米粒文库到电脑桌面
安装后可以在桌面快捷访问

神经梅毒教学查房VIP免费

神经梅毒教学查房_第1页
1/30
神经梅毒教学查房_第2页
2/30
神经梅毒教学查房_第3页
3/30
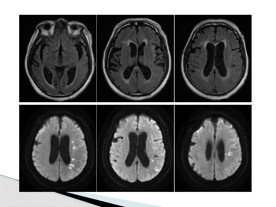
教学查房2019-01-09神经内科病史回顾患者,男,69岁,已婚。因“反应迟钝3月,加重1周”于2018-12-29入院。既往有“高血压病、垂体瘤、脑梗死、前列腺增生”史。查体:BP:132/62mmHg,神志清,精神萎,反应迟钝,两侧瞳孔等大等圆,直径2.5mm,光反应灵敏,口齿不清,右侧鼻唇沟浅,伸舌偏右,颈无抵抗,两肺呼吸音粗,未闻及干湿啰音。心率82次/分,律齐,未闻及杂音。腹平软,无压痛,肝脾肋下未及。右侧肢体肌力3级,左侧肢体肌力4级,肌张力正常,感觉及共济运动检查不合作,双侧Babinskisign阴性。辅助检查:TPHA(2018-12-27,本院)阳性,RPR阳性+;RPR滴度(2018-12-28,本院):RPR(1:2)阳性+,RPR(1:4)弱阳性+。头颅MRI+MRA(2018-12-25,本院):左侧放射冠区、半卵圆中心及左颞枕顶叶多发散在点片状急性脑梗塞,脑干、两侧基底节、放射冠区多发腔隙性脑梗塞,白质脱髓鞘改变,脑萎缩,鞍区占位性病变,考虑垂体瘤,提示颅内动脉粥样硬化,左侧大脑中动脉分支稀疏。脑脊液免疫检验报告:TPHA阳性+,RPR阳性+,RPR(1:2)弱阳性±。神经梅毒neurosyphilis锡山人民医院神经内科猜一猜那些名人们?法国文学家福楼拜,一生未婚,从年少时期开始,他便时常出入妓院。他后来坦承,他或许在二十岁进巴黎法学院之前就已染上了梅毒。福楼拜临终时也出现了梅毒精神病症状,他的学生莫泊桑写道:“这是好死,令人羡慕的大棒一击,这使我也希望这样,也希望我所爱的人都这样,像被一只巨大的手指掐死一只昆虫那样死去。”包法利夫人猜一猜那些名人们?莫泊桑作为福楼拜的学生,他继承了老师放荡的衣钵。莫泊桑一生有三大喜好——写作、游艇、美女——他酷爱女色,热衷于和包括饭馆侍女、农庄姑娘、寡妇、黑人女性、成熟女市民在内的女人鬼混,妓院更是他流连忘返的地方。最终,醉生梦死的纵欲生活,让他染上了梅毒。他的人生最后18个月,是在疯人院里度过的。漂亮朋友猜一猜那些名人们?贝多芬终生没有结婚,但是在他成名后贝多芬有了花不完的金钱和女性崇拜者,他一方面不停地去妓院,另外一方面也不断的和自己的崇拜者发生关系。1797年贝多芬就出现了梅毒引起的耳聋症状,经过长时间治疗没有效果,一直到最后贝多芬彻底丧失了听力。1827年3月26日,贝多芬因为梅毒而死亡。猜一猜那些名人们?1888年,梵高来到了法国南部的小城阿尔,在这里他与画家高更共用一个叫做拉舍尔的妓女。最后发生了著名的“割耳事件”,梵高割下来自己的耳朵,把它送给了妓女拉舍尔。这个事件让梵高难以见容于当地居民,梵高被迫离开阿尔,前往圣雷米的精神病院接受治疗,最终在1890年7月27日在圣雷米的一个小河边开枪自杀。猜一猜那些名人们?天朝的民间音乐家阿炳也是一个梅毒患者。阿炳是道观的一个乐师和一个富家小姐的私生子,他出生后跟着父亲在道观长大,长大后也成为一名乐师。他年轻时嫖妓不慎染上了梅毒,眼睛瞎了以后不能继续在道观当乐师,于是沦落到街头卖艺。《二泉映月》等传世名曲就是那时候谱成的。视力损害、听力损害头晕、头痛、呕吐、眩晕癫痫发作、偏瘫、失语、感觉障碍、意识障碍眼肌麻痹、瞻望、痴呆脊髓损害症状、截瘫、尿便障碍、性功能障碍发病可急可慢症状(symptom)症状(symptom)变化多端梅毒(syphilis)1.梅毒螺旋体:生物病原体,苍白密螺旋体2.慢性传染性疾病,全身组织及系统,包括神经系统3.传播途径:性接触、破损皮肤及粘膜(血液)4.具体路径:血循环-螺旋体血症;伤口-淋巴管-组织器官及血循环-螺旋体血症-各部位免疫反应5.机体应答:中和抗体(10-21天),不能限制增殖和发展;细胞免疫,可以限制增殖和发展。6.由于细胞免疫导致症状的不同:慢性;细胞免疫缺陷者病理改变:脑(脊)膜的炎症和小动脉的血管内膜炎。基本路径:梅毒血症—细胞免疫反应—反应的结果—完全治愈或疾病进展—产生脑动脉炎或局灶性侵犯神经阻织—产生没有症状或缓慢进展的神经症状—痴呆病理分型:脑膜血管型和脑实质型归纳总结脑膜炎:慢性脑膜炎(头痛、眩晕、呕吐、脑积水、认知障碍、颅内压增高、面、听、外展、动眼神经损伤等)...

1、当您付费下载文档后,您只拥有了使用权限,并不意味着购买了版权,文档只能用于自身使用,不得用于其他商业用途(如 [转卖]进行直接盈利或[编辑后售卖]进行间接盈利)。
2、本站所有内容均由合作方或网友上传,本站不对文档的完整性、权威性及其观点立场正确性做任何保证或承诺!文档内容仅供研究参考,付费前请自行鉴别。
3、如文档内容存在违规,或者侵犯商业秘密、侵犯著作权等,请点击“违规举报”。

碎片内容

神经梅毒教学查房

您可能关注的文档

确认删除?
VIP
微信客服
  • 扫码咨询
会员Q群
  • 会员专属群点击这里加入QQ群
客服邮箱
回到顶部