电脑桌面
添加小米粒文库到电脑桌面
安装后可以在桌面快捷访问

小脑发育不良性节细胞瘤概述VIP专享VIP免费

小脑发育不良性节细胞瘤概述_第1页
1/11
小脑发育不良性节细胞瘤概述_第2页
2/11
小脑发育不良性节细胞瘤概述_第3页
3/11
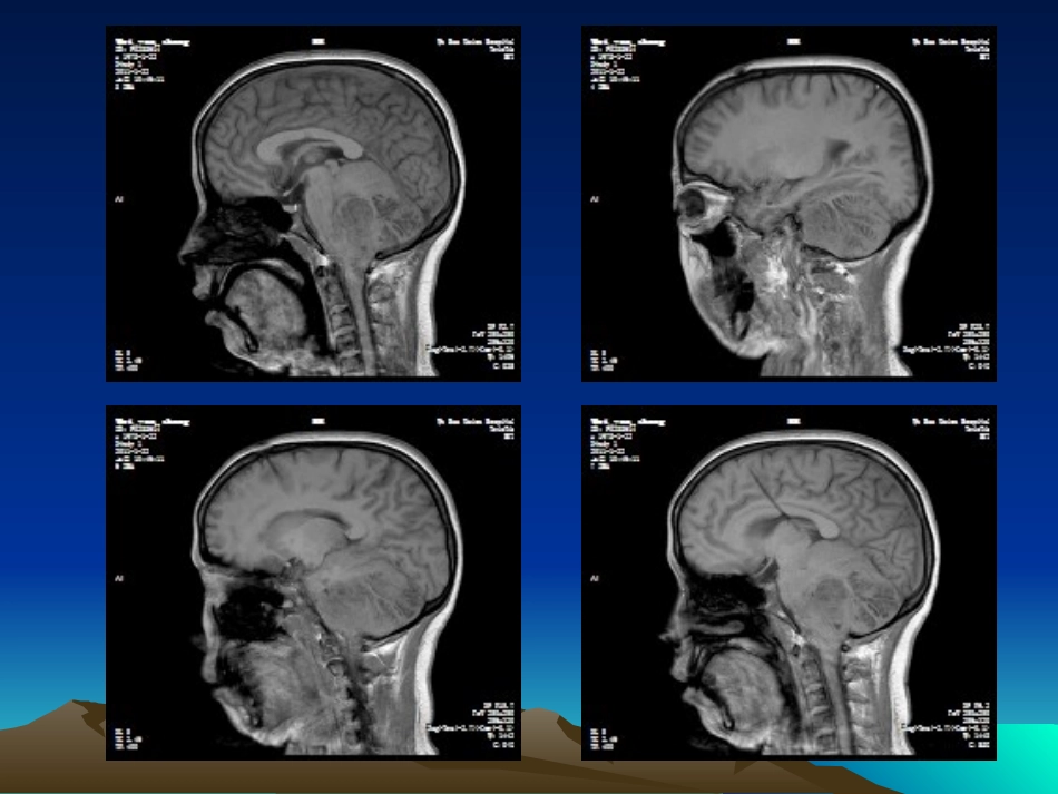
CASECASE男性,33岁,行走不稳三天小脑发育不良性节细胞瘤•罕见的小脑良性占位性病变•起自小脑皮层、缓慢进展•WHO分类:神经元和混合神经元、神经胶质肿瘤,Ⅰ级良性肿瘤•性质、发病机制和遗传学改变尚不完全清楚,是原发肿瘤、发育畸形或是错构瘤性病变仍有争论•发病年龄从新生儿至74岁不等,以10~30岁者多见,平均为34岁;无性别差异•小脑半球和中线均可发生•常见症状体征:第四脑室或中脑导水管受压引起梗阻性脑积水所致的颅压增高和后颅窝占位表现•40%伴有Cowden综合征病理特征病理特征•①弥漫或局限性小脑皮质增生,累及一侧或两侧小脑半球甚至小脑蚓部,病变侧中央白质一定程度的减少;•②大体见分子层苍白、增厚,间有有髓纤维;浦肯野细胞层缺如,颗粒细胞层增宽并含有大量异常颗粒细胞,其轴突伸入分子层;•③常见钙质沉积于分子层的毛细血管、微血管壁。

1、当您付费下载文档后,您只拥有了使用权限,并不意味着购买了版权,文档只能用于自身使用,不得用于其他商业用途(如 [转卖]进行直接盈利或[编辑后售卖]进行间接盈利)。
2、本站所有内容均由合作方或网友上传,本站不对文档的完整性、权威性及其观点立场正确性做任何保证或承诺!文档内容仅供研究参考,付费前请自行鉴别。
3、如文档内容存在违规,或者侵犯商业秘密、侵犯著作权等,请点击“违规举报”。

碎片内容

小脑发育不良性节细胞瘤概述

您可能关注的文档

读万卷书+ 关注
实名认证
内容提供者

各类经典PPT文档分享

确认删除?
VIP
微信客服
  • 扫码咨询
会员Q群
  • 会员专属群点击这里加入QQ群
客服邮箱
回到顶部