电脑桌面
添加小米粒文库到电脑桌面
安装后可以在桌面快捷访问

乳腺囊肿精品VIP专享VIP免费

乳腺囊肿精品_第1页
1/44
乳腺囊肿精品_第2页
2/44
乳腺囊肿精品_第3页
3/44
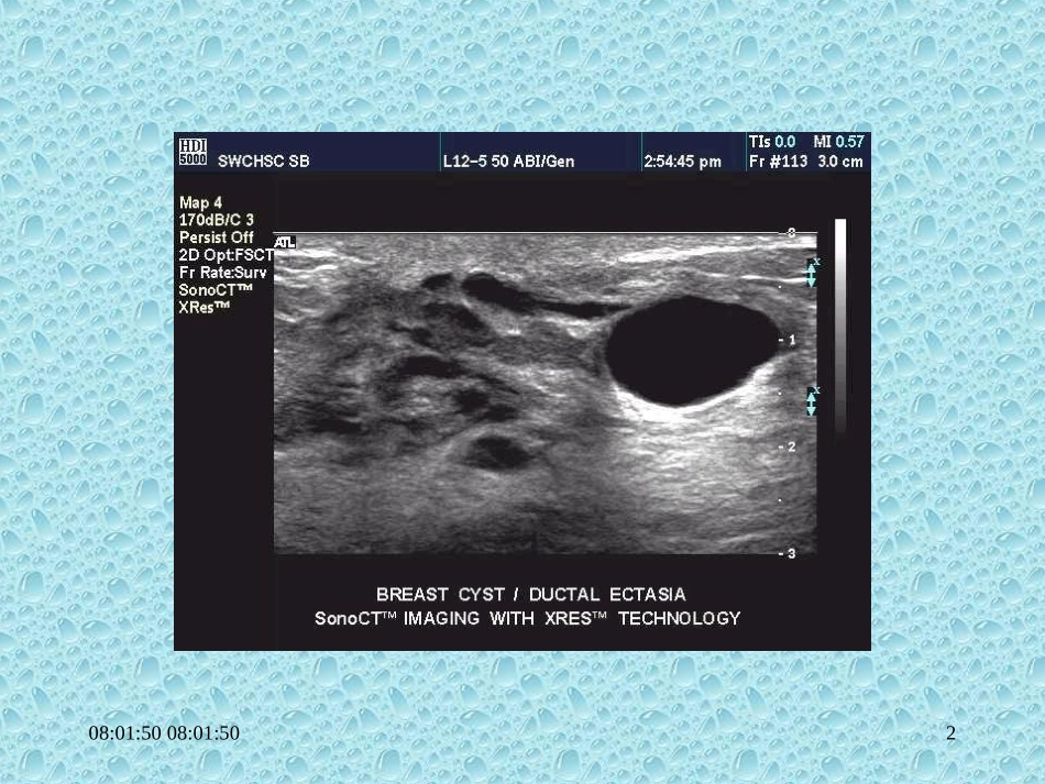
08:01:5008:01:501乳腺囊肿乳腺囊肿1.边界光滑、清楚,多指单纯性囊肿.2.内部呈无回声.3.后方回声增强,呈蝌蚪尾征.4.常为多发性,双侧存在.08:01:5008:01:50208:01:5008:01:50308:01:5008:01:50408:01:5008:01:505乳腺炎乳腺炎1.肿物边界模糊,增厚,回声增强.肿物边界模糊,增厚,回声增强.2.内部呈中强回声,分布不均.2.内部呈中强回声,分布不均.3.脓肿形成时,内部呈无回声区,边3.脓肿形成时,内部呈无回声区,边界增厚.界增厚.4.慢性炎症或液化不全,呈不均质点4.慢性炎症或液化不全,呈不均质点状及团块状回声.状及团块状回声.5.CDFI显示局部及周围血流信号5.CDFI显示局部及周围血流信号增多.增多.08:01:5008:01:506BreastAbscess08:01:5008:01:507右乳脓肿08:01:5008:01:508左乳脓肿右图为二维超声,左图灰阶血流显像图08:01:5008:01:509导管扩张症导管扩张症1.腺体内导管扩张呈低回声管状结构.2.导管内如有实性组织,则形成混合性肿块,后方不增强.3.CDFI呈供血丰富,轻中度,血流位于病灶中心区.08:01:5008:01:501008:01:5008:01:501108:01:5008:01:501208:01:5008:01:5013导管内乳头状瘤导管内乳头状瘤1.乳头内导管扩张,内有实性肿物,即有囊、有瘤呈囊实性改变.2.对不典型者,应挤压乳头,将分泌物涂片检查.08:01:5008:01:5014导管内乳头状瘤08:01:5008:01:501508:01:5008:01:5016导管乳头状瘤;示实性回声的血流显示08:01:5008:01:5017导管乳头状瘤,示导管的扩张及管内实性回声08:01:5008:01:5018乳房内异物乳房内异物1.有弹片伤或有乳房整形,再造求史.2.呈不规则低回声衰减暗区.3.植入硅胶囊者,可显示腺体与胸大肌之间,有一囊性硅胶填充物.08:01:5008:01:5019乳腺后异物——隆胸术后08:01:5008:01:5020乳腺后异物——隆胸术后08:01:5108:01:5121乳腺癌临床表现•临床表现:早期无痛性肿块——增大,肿块皮肤出现凹陷,橘子皮样改变,乳头凹陷。•转移腋下淋巴结——晚期,血行转移。08:01:5108:01:5122乳腺癌超声表现•肿块边界不清、不整,呈蟹足或锯齿样。•肿块内部呈低回声,回声不均。•癌瘤向前后方浸润,纵径大于横径,即纵横之比大于1。肿块向周围组织呈蟹足样浸润。•肿块中间液化坏死,出现不均质低回声或无回声。•后方回声衰减。•CDFI见血流较丰富,不规则,阻力指数高。•可转移至腋下淋巴结。08:01:5108:01:5123乳腺癌08:01:5108:01:5124乳腺癌乳腺癌乳腺癌乳腺癌08:01:5108:01:5125乳腺癌乳腺癌乳腺癌乳腺癌08:01:5108:01:5126乳腺癌乳腺癌乳腺癌乳腺癌08:01:5108:01:5127乳腺癌乳腺癌乳腺癌乳腺癌08:01:5108:01:5128乳腺癌乳腺癌乳腺癌乳腺癌08:01:5108:01:512908:01:5108:01:513008:01:5108:01:513108:01:5108:01:513208:01:5108:01:513308:01:5108:01:513408:01:5108:01:5135再复习一下良恶性肿瘤的鉴别要点吧08:01:5108:01:5136边缘及轮廓整齐、光滑不整、粗糙侧方声影有罕见包膜有无纵横比<1>108:01:5108:01:5137后壁回声整齐、增强不整、减弱肿物后回声正常或增强多有衰减皮肤浸润无可有组织湿润无可有内部回声均匀分布不均08:01:5108:01:5138钙化斑可有,较大微小微钙化对乳腺癌诊断的敏感性为35.29%,特异性为94.23%08:01:5108:01:5139彩色血流信号无或少丰富08:01:5108:01:5140乳腺超声的研究方向•新仪器及新技术的应用•乳癌的早期诊断•小乳癌的诊断•乳腺良、恶性病变的鉴别08:01:5108:01:5141乳腺超声的研究方向•超声诊断的病理学基础•超声、核素、CT、X线及热像图等比较•超声引导乳腺肿块抽吸、活检•术前定位08:01:5108:01:5142思考题思考题•乳腺癌的临床及超声表乳腺癌的临床及超声表现。现。•乳腺良性及恶性肿瘤的乳腺良性及恶性肿瘤的超声表现的鉴别要点。超声表现的鉴别要点。08:01:5108:01:5143参考书参考书•《浅表器官及组织超声诊断学》《浅表器官及组织超声诊断学》主编:张缙熙姜育新主编:张缙熙姜育新•《超声医学》《超声医学》主编:郭万学周永昌主编:郭万学周永昌08:01:5108:01:5144欢迎同学们来超声科实习

1、当您付费下载文档后,您只拥有了使用权限,并不意味着购买了版权,文档只能用于自身使用,不得用于其他商业用途(如 [转卖]进行直接盈利或[编辑后售卖]进行间接盈利)。
2、本站所有内容均由合作方或网友上传,本站不对文档的完整性、权威性及其观点立场正确性做任何保证或承诺!文档内容仅供研究参考,付费前请自行鉴别。
3、如文档内容存在违规,或者侵犯商业秘密、侵犯著作权等,请点击“违规举报”。

碎片内容

乳腺囊肿精品

您可能关注的文档

确认删除?
VIP
微信客服
  • 扫码咨询
会员Q群
  • 会员专属群点击这里加入QQ群
客服邮箱
回到顶部