电脑桌面
添加小米粒文库到电脑桌面
安装后可以在桌面快捷访问

Castleman病CT表现VIP免费

Castleman病CT表现_第1页
1/65
Castleman病CT表现_第2页
2/65
Castleman病CT表现_第3页
3/65
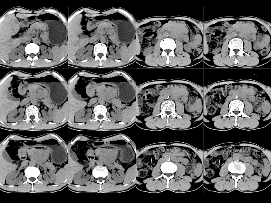
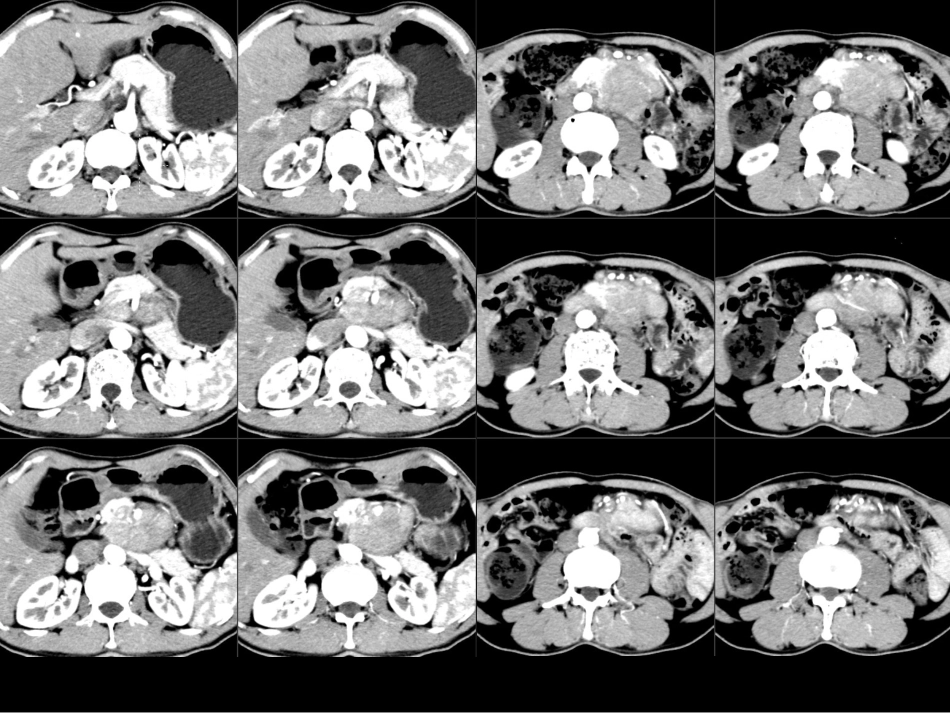
病例1病例2病例3Castleman病CT表现小讲座福建医科大学附属第一医院影像科孙辉红(sunhvhong@sina.com)病例1•男,58岁,反复左上腹胀痛半年余。肿瘤标志物正常•*1甲胎蛋白(AFP)1.5800-13.6ng/ml电化学发光法•*2癌胚抗原(CEA)2.10-5.2(吸烟者:0-6.5)ng/ml电化学发光法•3糖类抗原125(CA125)5.7600-35U/ml电化学发光法•4糖类抗原15-3(CA15-3)10.2300-25U/ml电化学发光法•5糖类抗原19-9(CA19-9)1.4200-34U/ml电化学发光法•6糖类抗原72-4(CA72-4)•淀粉酶(AMYL)>35632bg32-641U/L干化学强生诊断及鉴别诊断征象:平扫密度均匀,无出血、坏死、钙化。增强:动脉期明显强化,门脉期及实质期均匀持续强化。周围情况:胰腺、十二指肠、血管诊断??•定位:胰腺、腹腹后•定性:富血供肿瘤•胰腺神经内分泌肿瘤•副神经节肿瘤(嗜铬细胞瘤)•间质瘤•恶性淋巴瘤•透明血管型Castleman(巨淋巴结增生症)病例1:男,58岁CT0372461B1.(腹膜后淋巴结)Castleman病伴累及胰腺组织,胰腺腺泡破坏伴嗜酸性变,部分淋巴滤泡增生活跃。2.(另送小肠一段)Castleman病累及肠壁浆膜层及肌层,病变周围肠壁肌层间血管扩张,似血管瘤样表现,小肠上、下切端未见明显病变。免疫组化:CD34、SMA、D2-40:血管(+);CD3、CD20、Ki-67、CD10、Bcl-2、Bcl-6:表达模式未见显著异常;CD38浆细胞(+)。胰头区见巨大占位,约8.2cm×6.8cm,病灶境界尚清,可见分叶,边缘见点状钙化,密度不均匀,增强后呈明显不均匀强化,胰腺头部部分消失。胰管和胆管均不扩张,胰体部胰管旁尚可见一0.6cm左右小囊状低密度灶。十二指肠向右侧推移。胰头部占位,考虑神经内分泌肿瘤,胰体部小囊肿(胰十二指肠切除标本)恶性间质瘤.梭形细胞型,细胞略丰富,轻到中度异型,散在异型明显的细胞,局灶区查见肌层浸润和粘膜浸润,核分裂约0-1个/50HPF,形态学提示为低度恶性间质瘤,切缘未见肿瘤累及.胃旁淋巴结4枚,未见肿瘤转移.建议检测基因突变状况.酶标((09-N5752):CK广(-),VIM(100%++),SMA(10%+),DES(-),Ki-67(小于1%+),CD117(100%++),DOG-1(100%++),CD34(100%+),Nestin(100%+),DES(-),VEGF(-),VEGFR1(-),VEGFR2(-),VEGFR3(+/-),S100(70%+).恶性间质瘤胰头后方占位,考虑为十二指肠来源间质瘤可能大,胰尾占位,考虑导管内乳头状粘液瘤可能大,胰尾MT伴后腹膜淋巴结转移不能完全除外右后腹膜巨大肿瘤,位于十二指肠、胰头后方,与下腔静脉,左右肾静脉、肝动脉、门静脉、胆管关系密切,直径约15厘米。作Koch切口翻起十二指肠,暴露肿瘤右侧及下侧部分,打开小网膜孔,分离肿瘤和肝动脉、门静脉、胆管之间粘连及交通小血管。分离肿瘤和十二指肠、胰头之间粘连及交通小血管,肿瘤根部位于下腔静脉,左肾静脉之间,予完整切除。术中触动肿瘤,患者血压一度升高至200mmHg以上,切除肿瘤后血压至正常水平,为安全起见,患者送ICU继续治疗。冰冻病理为副神经节瘤。(胰头)镜下肿瘤组织呈腺泡样巢状排列,结合酶标,考虑副神经节瘤伴部分区细胞丰富,细胞轻度异型,纤维包膜内个别脉管可见瘤栓,建议临床密切随访。酶标(2010-N4391):CD56(+),SYN(-),CHG(+),S100(+),CD10(-),VIM(+),B-cat(+),KI67(-),CK广(-),Keratin(-),ACTH(-),VIP(-),GLV(-),GS(-),SENO(-),Insnlin(-),PP(-),Some(-),EGFR(-)。副神经节瘤Castleman病(Castleman’sdisease,CD)•又称巨淋巴结增生症或血管淋巴性滤泡组织增生,是一种罕见的以不明原因淋巴结肿大为特征的慢性淋巴组织增生性疾病.•临床上按肿大淋巴结的分布分为单中心型(UCD)和多中心型(MCD)。•病理学按组织学特征分为透明血管型(hyaline-vasculartype,HVT)、浆细胞型(plasmacelltype,PCT)和兼有二者特征的混合型。CD临床分型•CD是一种少见的良性淋巴结增生性疾病。病因不明,可能与慢性炎性反应、免疫功能异常等因素有关。•CD按组织病理学标准分为HV型和PC型•HV型占75%~90%,PC型占10%~25%,混合型占1%~4%。病理表现•透明血管型CD镜下表现为淋巴滤泡增生伴生发中心形成,大量小...

1、当您付费下载文档后,您只拥有了使用权限,并不意味着购买了版权,文档只能用于自身使用,不得用于其他商业用途(如 [转卖]进行直接盈利或[编辑后售卖]进行间接盈利)。
2、本站所有内容均由合作方或网友上传,本站不对文档的完整性、权威性及其观点立场正确性做任何保证或承诺!文档内容仅供研究参考,付费前请自行鉴别。
3、如文档内容存在违规,或者侵犯商业秘密、侵犯著作权等,请点击“违规举报”。

碎片内容

Castleman病CT表现

确认删除?
VIP
微信客服
  • 扫码咨询
会员Q群
  • 会员专属群点击这里加入QQ群
客服邮箱
回到顶部