电脑桌面
添加小米粒文库到电脑桌面
安装后可以在桌面快捷访问

常见眼底病诊治VIP免费

常见眼底病诊治_第1页
1/68
常见眼底病诊治_第2页
2/68
常见眼底病诊治_第3页
3/68
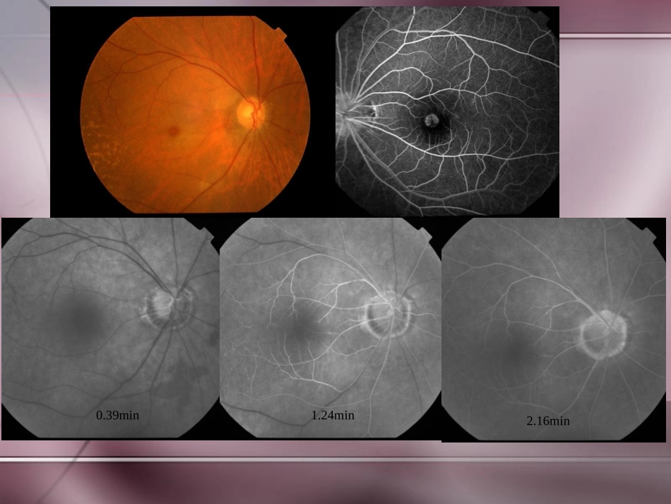
常见眼底病的诊治常见眼底病的诊治余涛余涛第三军医大学西南眼科医院第三军医大学西南眼科医院视网膜血管疾病视网膜血管疾病0.39min1.24min2.16min视网膜中央动脉阻视网膜中央动脉阻塞塞•症状:单侧,无痛视力丧失至手动或光感•体征:后极部视网膜苍白水肿,黄斑樱桃红,视网膜动脉细,血流节段,RAPD•病因寻找:栓子(心源性,颈源性)-颈动脉多普勒,心脏超声血栓-血压,血糖,血常规巨细胞动脉炎-ESR高凝状态-凝血三项,血液流变学外伤•治疗:没有证明有效的措施目前采用眼球按摩,前房穿刺,降眼压,扩血管,抗炎,营养支持视网膜中央静脉阻塞视网膜中央静脉阻塞•症状:单眼无痛性视力丧失•体征:视网膜弥漫性出血,视网膜静脉扩张,迂曲,视网膜水肿,渗出•病因寻找:动脉硬化-动静脉压迹高血压青光眼视盘玻璃疣高凝状态药物:避孕药,利尿剂•治疗:病因治疗,扩血管,玻璃体腔注药,激光视网膜静脉周围炎视网膜静脉周围炎•症状:20-30男性,突发眼前黑影或视力丧失,双眼反复发作•体征:玻璃体混浊或积血,视网膜周边缺血,新生血管,血管白鞘•病因不清:可能与结核菌免疫反应,血栓闭塞性脉管炎,脓毒病灶有关查血排除其他感染性病变•治疗:激光,玻璃体视网膜手术视网膜大动脉瘤视网膜大动脉瘤•症状:中心视力下降•体征:颞侧上下血管的分支视网膜动脉呈瘤样扩张,其附近可见出血和渗出,动脉硬化•病因:高血压,动脉硬化•检查:FFA,监测血压•治疗:观察,激光糖尿病视网膜病变糖尿病视网膜病变•症状:闪光感,视力减退•体征:视网膜微血管瘤,出血斑,硬性渗出,棉絮斑,黄斑水肿,玻璃体出血,增殖,视网膜脱离•病因:糖尿病病程10年以上•检查:血糖,FFA•治疗:控制血糖,激光,玻璃体视网膜手术黄斑疾病黄斑疾病中心性渗出性脉络膜视网膜病变中心性渗出性脉络膜视网膜病变•症状:视力下降,视物变形,中心暗点,单眼,青年人•体征:黄斑区视网膜下出血,水肿,渗出,新生血管膜•病因:不清,考虑炎症为主要病因,其发病与结核,弓形体病关系密切•检查:TORCH,胸片,PPD,FFA,ICGA•治疗:抗炎,病因治疗,PDT•症状:视力模糊,视物变形,变小,单侧•体征:黄斑区局限性浆液性视网膜脱离,没有出血和渗出•病因:特发性-25-50岁内源性激素水平升高-怀孕,精神紧张外源性激素水平升高•检查:FFA•治疗:无特效治疗,激光可加速视力恢复中心性浆液性脉络膜视网膜病变中心性浆液性脉络膜视网膜病变先天性视乳头小凹合并黄斑部浆液性视网膜先天性视乳头小凹合并黄斑部浆液性视网膜脱离脱离•症状:视力模糊,小视,视物变形•体征:视盘边缘小凹陷,多位于颞侧,从视盘至黄斑的视网膜浆液性脱离•检查:仔细查看视盘形态,FFA•治疗:激光光凝视盘颞侧边缘视网膜•症状:视力下降,视物变形,中心暗点,女性多见,60-80岁•体征:黄斑中央圆形红斑,中央可有黄点沉着,周边视网膜可见灰白色脱离区,•病因:特发性-玻璃体或视网膜表面膜牵引外伤各种原因所致黄斑囊样水肿后形成•检查:眼底,OCT,FFA•治疗:观察,玻璃体视网膜手术黄斑裂孔黄斑裂孔•症状:可无,视力下降或视物变形,中年或老年,20%双侧•体征:黄斑区视网膜表面玻璃纸样反光,重者视网膜皱褶,血管牵拉扭曲,黄斑水肿•病因:特发性,孔源性网脱,玻璃体后脱离,视网膜冷凝或光凝后,眼内手术或外伤后,葡萄膜炎后,其他各种视网膜血管病变后•治疗:病因治疗,玻璃体视网膜手术黄斑视网膜前膜黄斑视网膜前膜渗出性年龄相关性黄斑病变渗出性年龄相关性黄斑病变•症状:视力下降,视物变形,中央暗点,老年人•体征:黄斑区视网膜下灰白色类圆形病灶,其周可见出血和渗出•危险因素:年龄,远视,白种人,家族史,软性玻璃膜疣,高血压,吸烟•检查:FFA,ICGA•治疗:PDT,抗VEGF,光凝,TTT•症状:夜盲,视力下降•体征:视乳头色蜡黄,视网膜血管细,骨细胞样色素散布,或脱色素改变•病因:家族遗传性疾病•检查:ERG,FFA,视野,色觉•治疗:尚无,视网膜移植,神经营养因子,基因治疗原发性视网膜色素变性原发性视网膜色素变性葡萄膜炎葡萄膜炎急性后...

1、当您付费下载文档后,您只拥有了使用权限,并不意味着购买了版权,文档只能用于自身使用,不得用于其他商业用途(如 [转卖]进行直接盈利或[编辑后售卖]进行间接盈利)。
2、本站所有内容均由合作方或网友上传,本站不对文档的完整性、权威性及其观点立场正确性做任何保证或承诺!文档内容仅供研究参考,付费前请自行鉴别。
3、如文档内容存在违规,或者侵犯商业秘密、侵犯著作权等,请点击“违规举报”。

碎片内容

常见眼底病诊治

您可能关注的文档

静心书店+ 关注
实名认证
内容提供者

专注于各类考试试卷和真题。

确认删除?
VIP
微信客服
  • 扫码咨询
会员Q群
  • 会员专属群点击这里加入QQ群
客服邮箱
回到顶部