电脑桌面
添加小米粒文库到电脑桌面
安装后可以在桌面快捷访问

常见胸部CT征象

常见胸部CT征象_第1页
1/23
常见胸部CT征象_第2页
2/23
常见胸部CT征象_第3页
3/23
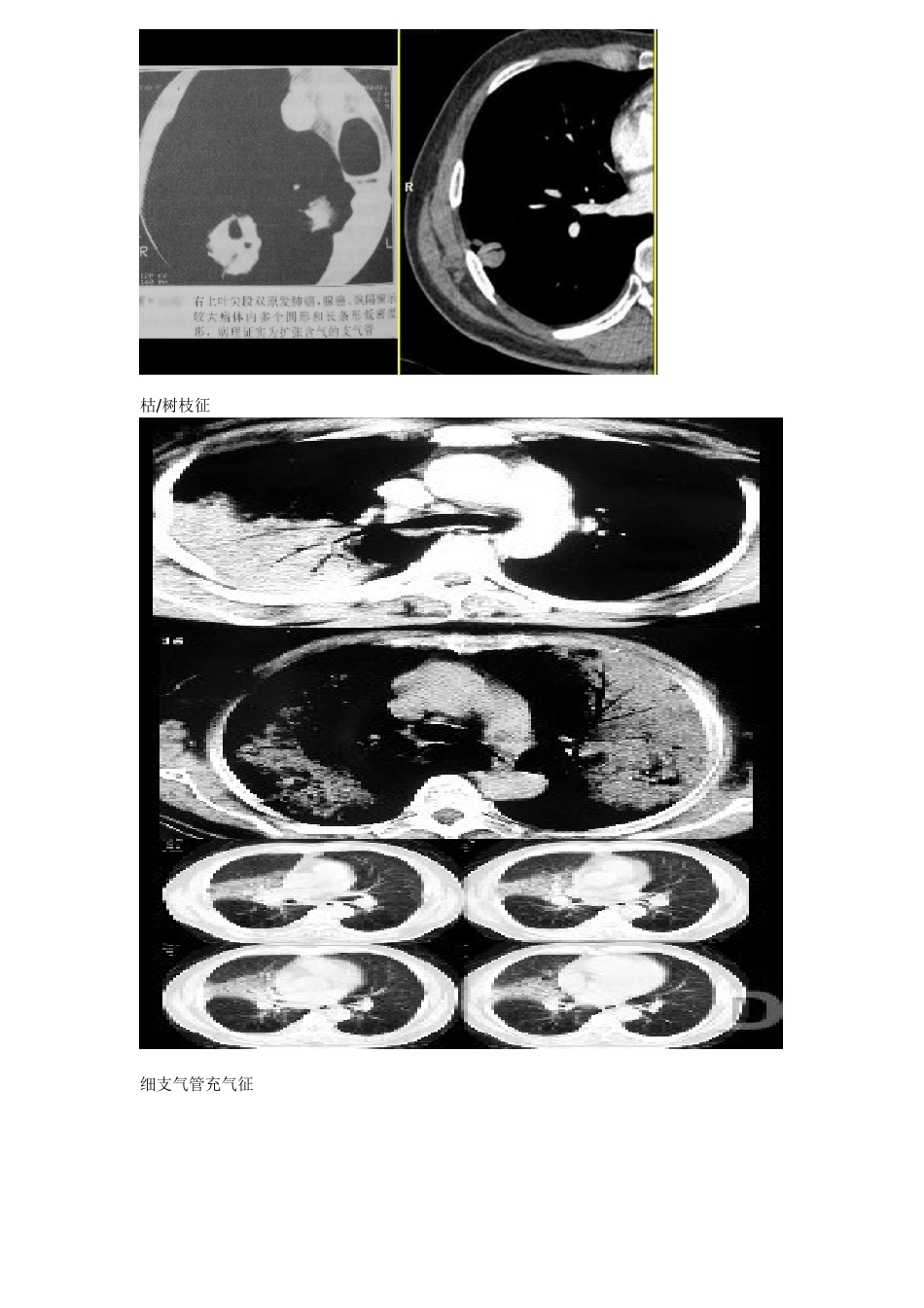
常见胸部 CT 征象1.树芽征(tree-in-bud sign):即小叶核心分布的结节,源于小气道本身的疾病,HRCT 表现为与支气管血管束或小叶核心相连的、直径 3~5mm 大小的结节影、短线状影或分叉状结构。2.印戒征(signet-ring sign):系支气管扩张的典型征象,较大的环状含气影(印戒的指环)为扩张增厚的支气管,其相邻小的软组织影(指环上镶崁的宝石)为伴行的肺动脉影。3.铺路石征(Crazy-paving appearance):系磨玻璃影的背景下同时伴有网格状或细网格状小叶间隔和小叶内间隔增厚。4.界面征(interface sign):血管或支气管等肺实质结构的边缘或肺的胸膜面出现不规则的界面,提示间质增厚。5.支气管充气征(air bronchogram,AB 征):系实变病灶内可见正常充气的支气管或细支气管影,提示气道通畅,而病变位于肺泡。支气管征(小管征、空气支气管征、枯/树枝征、细支气管充气征、病理性支气管像、阳性支气管征、支气管充气征、支气管气像、支气管管征、支气管截断征):是由瘤组织在细支气管与肺泡表面呈伏壁式生长而不充盈管腔,管腔通畅。表现为长、短不一的管状分支状低密度影。可以呈细条状(直径≤1mm)的空气密度影,见于连续数个相邻的层面上,病理上也可以为扩张的细支气管。其发生率也较高,约占 33.3%.在影像上表现可以多种多样,因此名称也较多。支气管征可见于肺癌,肺炎性病变或淋巴瘤。但以肺癌较多见,常与空泡征同时存在,与一般急性炎症空气支气管造影征相鉴别。枯/树枝征细支气管充气征与炎性支气管的鉴别:6.枯枝状支气管充气征:与 AB 征相似,不同点是远端气道被异常软组织填充,充气的支气管树远端稀少呈枯枝状。多见于肺炎型肺泡癌。(同上)7.支气管粘液征(mucous bronchogram):系实变病灶(肺不张)内可见呈低密度的充满粘液的支气管或细支气管影,提示大气道堵塞,其远端被痰粘液充盈。8.CT 血管造影征(CT angiogram sign):CT 增强扫描显示实变病灶内可见高密度的强化肺动脉影,常与支气管粘液征伴行,提示大气道堵塞或实变的组织密度较低。被用来描述大叶型细支气管肺泡癌(腺癌)。是肿瘤沿肺泡壁生长侵润尚未完全破坏肺泡间隔,但使肺泡壁增厚或邻近肺泡内有分泌物,部分肺泡内仍有含气,形成肺炎型改变,增强时可见在病变中穿行的血流强化,称 CT 血管造影征,多见于肺泡癌。当肺血管进入结节或终止结节时,血管常狭窄、堵塞、截断等。文献认为其中以肺静脉包被(肺静脉包被征)...

1、当您付费下载文档后,您只拥有了使用权限,并不意味着购买了版权,文档只能用于自身使用,不得用于其他商业用途(如 [转卖]进行直接盈利或[编辑后售卖]进行间接盈利)。
2、本站所有内容均由合作方或网友上传,本站不对文档的完整性、权威性及其观点立场正确性做任何保证或承诺!文档内容仅供研究参考,付费前请自行鉴别。
3、如文档内容存在违规,或者侵犯商业秘密、侵犯著作权等,请点击“违规举报”。

碎片内容

常见胸部CT征象

领读文化+ 关注
实名认证
内容提供者

传播文化,铸就未来

确认删除?
VIP
微信客服
  • 扫码咨询
会员Q群
  • 会员专属群点击这里加入QQ群
客服邮箱
回到顶部