电脑桌面
添加小米粒文库到电脑桌面
安装后可以在桌面快捷访问

胰腺囊性肿瘤PPT培训课件VIP免费

胰腺囊性肿瘤PPT培训课件_第1页
1/58
胰腺囊性肿瘤PPT培训课件_第2页
2/58
胰腺囊性肿瘤PPT培训课件_第3页
3/58
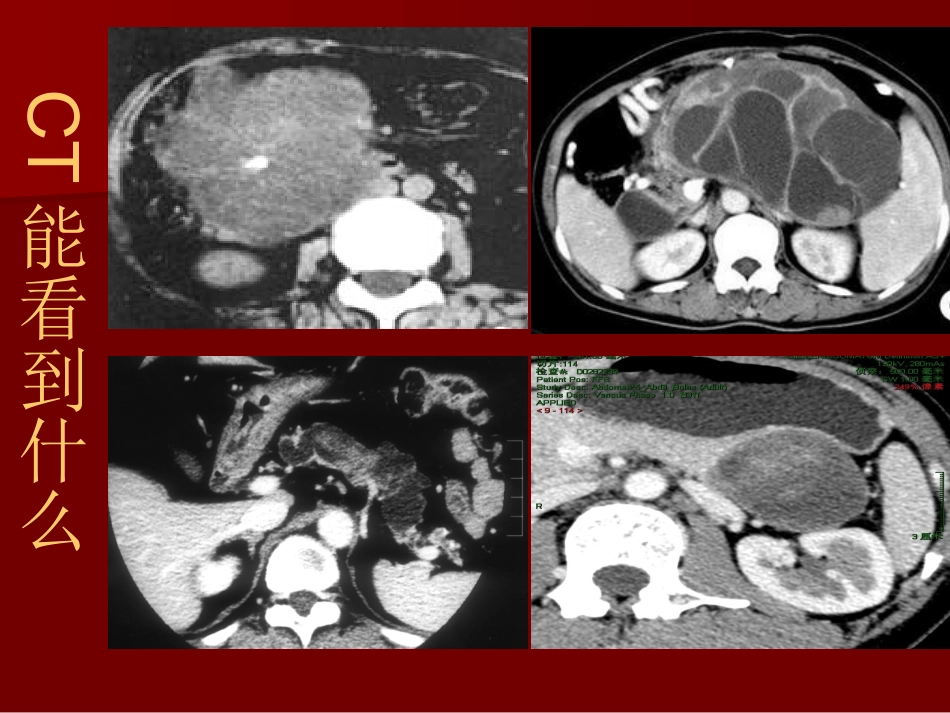
胰腺囊性肿瘤的胰腺囊性肿瘤的CTCT诊诊断断池州市人民医院医学影像科钱池州市人民医院医学影像科钱彬彬CT能看到什么临床上常见的胰腺囊性肿瘤主要包括临床上常见的胰腺囊性肿瘤主要包括浆液性囊性肿瘤(浆液性囊性肿瘤(SCNSCN))实性假乳头状瘤(SPN)黏液性囊性肿瘤(MCN)导管内乳头状黏液瘤(IPMT)非黏液性,良性或低度恶性黏液性,有潜在或明显恶性倾向一、浆液性囊腺瘤一、浆液性囊腺瘤(SCN)(SCN)1/31/3患者无临床症状,偶然发现患者无临床症状,偶然发现可发生于胰腺任何部位,可发生于胰腺任何部位,中老年女性多见中老年女性多见起源于胰腺腺泡细胞和管状细胞起源于胰腺腺泡细胞和管状细胞病理分型:病理分型:微囊型微囊型:(:(microcysticadenomasmicrocysticadenomas)常见)常见80-90%80-90%巨囊型巨囊型::(oligocysticadenomas)(oligocysticadenomas)少见少见10-2010-20%%微囊型影像学最具有特征性微囊型影像学最具有特征性(一)微囊型囊腺瘤(一)微囊型囊腺瘤肿瘤大小不一,边缘光整肿瘤大小不一,边缘光整切面海绵状或蜂窝状,由无数小囊组成(切面海绵状或蜂窝状,由无数小囊组成(1mm-2c1mm-2cmm),薄壁),薄壁中央不规则星状瘢痕,日光放射状钙化中央不规则星状瘢痕,日光放射状钙化囊内充满透明的水样液体囊内充满透明的水样液体微囊型囊腺瘤的微囊型囊腺瘤的CTCT表现表现分叶状肿块,边缘清晰,分叶状肿块,边缘清晰,囊腔较小,多<囊腔较小,多<2cm2cm,呈蜂窝状改变,,呈蜂窝状改变,薄壁,壁和分隔强化,薄壁,壁和分隔强化,不侵犯邻近结构不侵犯邻近结构钙化钙化特征性改变:中央星状瘢痕,日光放射状特征性改变:中央星状瘢痕,日光放射状钙化钙化微囊型浆液性囊腺瘤微囊型浆液性囊腺瘤中心钙化蜂窝状改变微囊型浆液性囊腺瘤微囊型浆液性囊腺瘤CT平扫增强微囊型浆液性囊腺瘤微囊型浆液性囊腺瘤中央日光放射状钙化蜂窝状改变微囊型浆液性囊腺瘤CT平扫CT增强MRI增强平扫增强微囊型浆液性囊腺瘤(二)巨囊型浆液性囊腺瘤(二)巨囊型浆液性囊腺瘤较微囊性少见,多位于胰头较微囊性少见,多位于胰头容易误诊为假囊肿或粘液性囊腺瘤容易误诊为假囊肿或粘液性囊腺瘤生物学行为与微囊型相似,影像表现不同生物学行为与微囊型相似,影像表现不同CTCT表现表现单囊或多囊,子囊直径均大于单囊或多囊,子囊直径均大于2c2cmm一般一般2-6cm2-6cm分叶状或类圆形分叶状或类圆形壁薄,可见分隔,边缘清晰壁薄,可见分隔,边缘清晰囊壁轻度强化或无强化囊壁轻度强化或无强化无乳头状突起无乳头状突起钙化少见钙化少见二、胰腺粘液性囊腺肿瘤二、胰腺粘液性囊腺肿瘤多见于中老年女性,好发于胰腺体尾部多见于中老年女性,好发于胰腺体尾部临床症状:腹痛、腹部包块、黄疸临床症状:腹痛、腹部包块、黄疸多无慢性胰腺炎及糖尿病史多无慢性胰腺炎及糖尿病史潜在恶性或恶性病变潜在恶性或恶性病变病理分型:腺瘤病理分型:腺瘤交界性交界性腺癌腺癌胰腺粘液性囊腺肿瘤胰腺粘液性囊腺肿瘤CTCT表现表现大单囊或几个大囊组成,大单囊或几个大囊组成,囊壁厚薄不均匀伴有强化,囊壁厚薄不均匀伴有强化,囊壁和分隔钙化(边缘钙化),囊壁和分隔钙化(边缘钙化),不规则厚壁伴壁结节,提示恶性不规则厚壁伴壁结节,提示恶性胰管扩张少见,胰管扩张少见,可伴有胰腺炎可伴有胰腺炎粘液性囊腺瘤粘液性囊腺癌壁结节不规则厚壁交界性粘液性囊腺肿瘤交界性粘液性囊腺肿瘤粘液性囊腺瘤粘液性囊腺瘤粘液性囊腺癌粘液性囊腺癌粘液性囊腺瘤粘液性囊腺瘤粘液性囊腺癌壁和分隔钙化明显厚壁粘液性囊腺癌粘液性囊腺癌三、胰腺导管内乳头状粘液性肿瘤三、胰腺导管内乳头状粘液性肿瘤(IPMT)(IPMT)好发于中老年男性好发于中老年男性常见症状:腹痛、黄疸、脂肪泻,消瘦、易常见症状:腹痛、黄疸、脂肪泻,消瘦、易被误诊为慢性胰腺炎被误诊为慢性胰腺炎胰管内大量粘液潴留胰管内大量粘液潴留十二指肠乳头开口由于粘液流过而扩大十二指肠乳头开口由于粘液流过而扩大很少有浸润倾向很少有浸...

1、当您付费下载文档后,您只拥有了使用权限,并不意味着购买了版权,文档只能用于自身使用,不得用于其他商业用途(如 [转卖]进行直接盈利或[编辑后售卖]进行间接盈利)。
2、本站所有内容均由合作方或网友上传,本站不对文档的完整性、权威性及其观点立场正确性做任何保证或承诺!文档内容仅供研究参考,付费前请自行鉴别。
3、如文档内容存在违规,或者侵犯商业秘密、侵犯著作权等,请点击“违规举报”。

碎片内容

胰腺囊性肿瘤PPT培训课件

您可能关注的文档

读万卷书+ 关注
实名认证
内容提供者

各类经典PPT文档分享

确认删除?
VIP
微信客服
  • 扫码咨询
会员Q群
  • 会员专属群点击这里加入QQ群
客服邮箱
回到顶部