电脑桌面
添加小米粒文库到电脑桌面
安装后可以在桌面快捷访问

气胸及胸穿各个反应及注意事项VIP免费

气胸及胸穿各个反应及注意事项_第1页
1/32
气胸及胸穿各个反应及注意事项_第2页
2/32
气胸及胸穿各个反应及注意事项_第3页
3/32
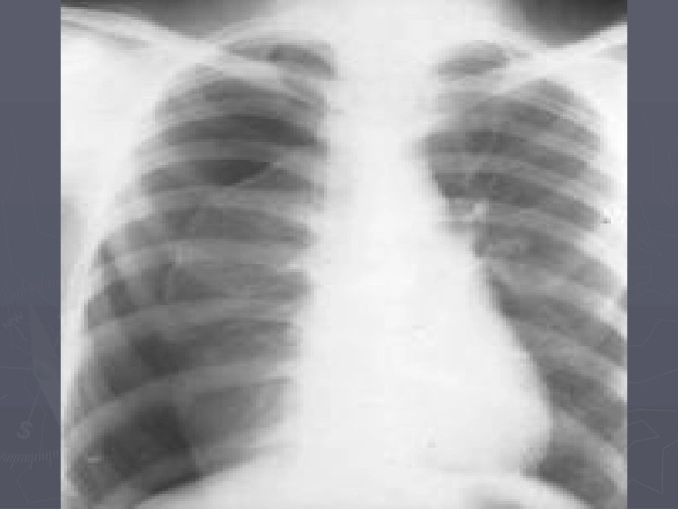
气胸气胸定义定义►任何原因使胸膜破损,空气进入任何原因使胸膜破损,空气进入胸膜腔,称为气胸胸膜腔,称为气胸((pneumothoraxpneumothorax)。)。基本概述基本概述►肺无明显病变由胸膜下气肿泡破裂形成者肺无明显病变由胸膜下气肿泡破裂形成者称特发性气胸;继发于慢阻肺、称特发性气胸;继发于慢阻肺、肺结核等胸等胸膜及肺疾病者称继发性气胸.按病理生理变膜及肺疾病者称继发性气胸.按病理生理变化又分为闭合性化又分为闭合性((单纯性单纯性))、开放性、开放性((交通交通性性))和张力性和张力性((高压性高压性))三类三类病因病因►1.1.外伤气胸:常见各种胸部外伤;外伤气胸:常见各种胸部外伤;►2.2.继发性气胸:为支气管肺疾患破入胸腔形继发性气胸:为支气管肺疾患破入胸腔形成气胸;成气胸;►3.3.特发性气胸:多见于瘦长体型的男性青特发性气胸:多见于瘦长体型的男性青壮年;壮年;►4.4.慢性气胸:指气胸经慢性气胸:指气胸经22个月尚无全复张者个月尚无全复张者;;►5.5.创伤性气胸胸膜腔内积气称为气胸。胸膜腔内积气称为气胸。..创伤性气胸临床类型临床类型►一、一、闭合性气胸(单纯性)(单纯性)►二、二、张力性气胸(高压性)(高压性)►三、三、开放性气胸(交通性)(交通性)►根据发病原因气胸可分为以下几种类型:根据发病原因气胸可分为以下几种类型:创伤后气胸、原发性气胸、继发性气创伤后气胸、原发性气胸、继发性气胸。胸。闭合性气胸►在呼气肺回缩时,或因有浆液渗出物使在呼气肺回缩时,或因有浆液渗出物使脏层胸膜破口自行封闭,不再有空气漏入脏层胸膜破口自行封闭,不再有空气漏入胸膜腔。胸膜腔。►胸膜腔内测压显示压力有所增高,抽气胸膜腔内测压显示压力有所增高,抽气后,压力下降而不复升,说明破口不再漏后,压力下降而不复升,说明破口不再漏气。胸膜腔内残余气体将自行吸收,胸膜气。胸膜腔内残余气体将自行吸收,胸膜腔内压力即可维持负压,肺亦随之逐渐复腔内压力即可维持负压,肺亦随之逐渐复张。张。闭合性气胸张力性气胸►胸膜破口形成活瓣性阻塞,吸气时开启,空气胸膜破口形成活瓣性阻塞,吸气时开启,空气漏入胸膜腔;呼气时关闭,胸膜腔内气体不能漏入胸膜腔;呼气时关闭,胸膜腔内气体不能再经破口返回呼吸道而排出体外。其结果是胸再经破口返回呼吸道而排出体外。其结果是胸膜腔内气体愈积愈多,形成高压,使肺脏受压,膜腔内气体愈积愈多,形成高压,使肺脏受压,呼吸困难,纵隔推向健侧,循环也受到障碍,,纵隔推向健侧,循环也受到障碍,需要紧急排气以缓解症状。需要紧急排气以缓解症状。►若患侧胸膜腔内压力升高,抽气至负压后,不若患侧胸膜腔内压力升高,抽气至负压后,不久又恢复正压,应安装持续胸膜腔排气装置。久又恢复正压,应安装持续胸膜腔排气装置。开放性气胸开放性气胸►因两层胸膜间有粘连和牵拉,使破因两层胸膜间有粘连和牵拉,使破口持续开启,吸气和呼气时,空气口持续开启,吸气和呼气时,空气自由进出胸膜腔。患侧胸膜腔内压自由进出胸膜腔。患侧胸膜腔内压力为力为00上下,抽气后观察数分钟,上下,抽气后观察数分钟,压力并不降低。压力并不降低。临床表现临床表现►一侧胸痛、气急、憋气,可有咳一侧胸痛、气急、憋气,可有咳嗽、但痰少。病人呼吸困难程度嗽、但痰少。病人呼吸困难程度与积气量的多寡以及原来肺内病与积气量的多寡以及原来肺内病变范围有关。当有胸膜粘连和肺变范围有关。当有胸膜粘连和肺功能减损时,小量局限性气胸也功能减损时,小量局限性气胸也可明显胸痛和气急。可明显胸痛和气急。体征体征胸膜腔积气征胸膜腔积气征望:患侧胸部隆起,呼吸运动减弱望:患侧胸部隆起,呼吸运动减弱触:气管移向健侧,触觉语颤减弱触:气管移向健侧,触觉语颤减弱叩:过清音或鼓音叩:过清音或鼓音听:呼吸音减弱或消失听:呼吸音减弱或消失(严重者可因缺氧而紫绀)(严重者可因缺氧而紫绀)影像学检查影像学检查►XX线胸片检查是诊断气胸的重要方法,线胸片检查是诊断气胸的重要方法,可显示肺受压程度,肺内病变情况以及有可显示肺受压程度,肺内病变情况以及有无胸膜粘...

1、当您付费下载文档后,您只拥有了使用权限,并不意味着购买了版权,文档只能用于自身使用,不得用于其他商业用途(如 [转卖]进行直接盈利或[编辑后售卖]进行间接盈利)。
2、本站所有内容均由合作方或网友上传,本站不对文档的完整性、权威性及其观点立场正确性做任何保证或承诺!文档内容仅供研究参考,付费前请自行鉴别。
3、如文档内容存在违规,或者侵犯商业秘密、侵犯著作权等,请点击“违规举报”。

碎片内容

气胸及胸穿各个反应及注意事项

起跑线书城+ 关注
实名认证
内容提供者

热爱教学事业,对互联网知识分享很感兴趣

确认删除?
VIP
微信客服
  • 扫码咨询
会员Q群
  • 会员专属群点击这里加入QQ群
客服邮箱
回到顶部