电脑桌面
添加小米粒文库到电脑桌面
安装后可以在桌面快捷访问

病例讨论肝占位VIP免费

病例讨论肝占位_第1页
1/30
病例讨论肝占位_第2页
2/30
病例讨论肝占位_第3页
3/30
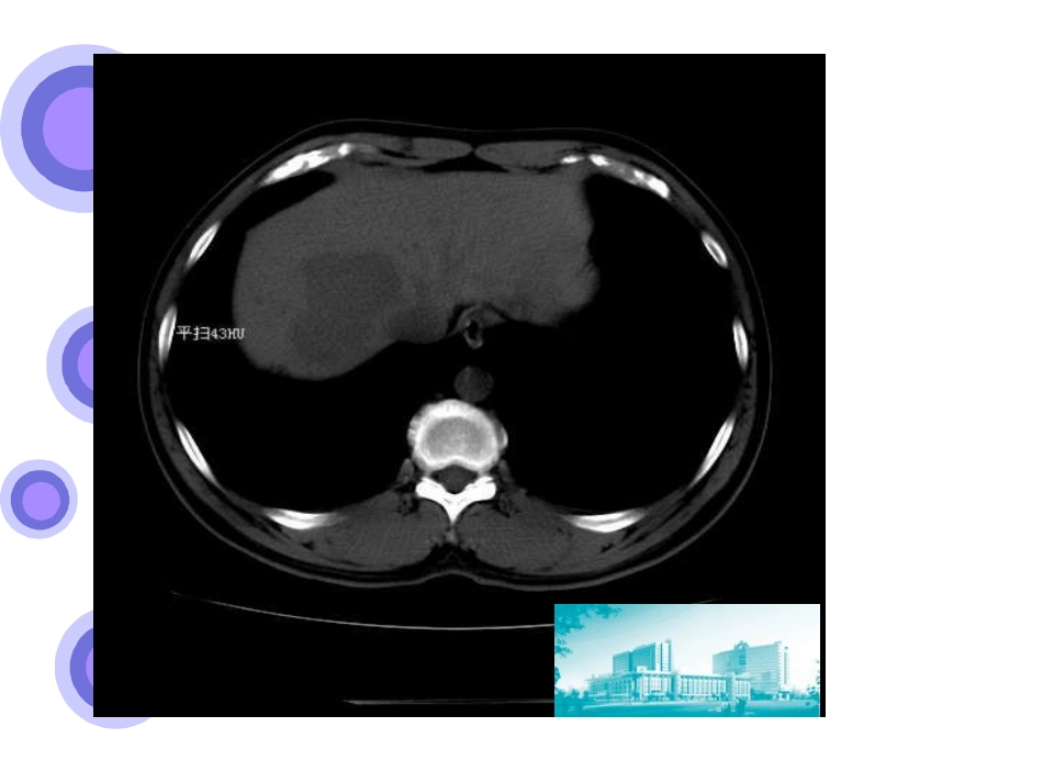
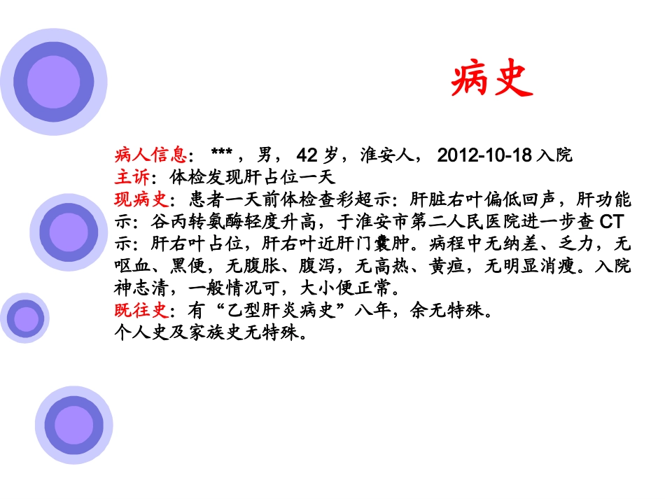
病史病人信息:***,男,42岁,淮安人,2012-10-18入院主诉:体检发现肝占位一天现病史:患者一天前体检查彩超示:肝脏右叶偏低回声,肝功能示:谷丙转氨酶轻度升高,于淮安市第二人民医院进一步查CT示:肝右叶占位,肝右叶近肝门囊肿。病程中无纳差、乏力,无呕血、黑便,无腹胀、腹泻,无高热、黄疸,无明显消瘦。入院神志清,一般情况可,大小便正常。既往史:有“乙型肝炎病史”八年,余无特殊。个人史及家族史无特殊。查体及辅助检查查体:全身巩膜无黄染,全身浅表淋巴结无肿大。腹部平坦,无腹壁静脉曲张。腹软,无压痛,无反跳痛及肌紧张。肝脾肋下未扪及,Murphy征(-)。肝浊音界存在,肝区无叩击痛。腹部增强CT:肝右叶占位大小约2*2cm2,肝癌可能,局灶性结节性增生不能排除。肝功能:ALT:49U/L;AST:68U/LAFP:52.13ng/ml入院后进一步诊断完善术前检查,排除手术禁忌症彩超下肝穿刺+活检术(3块组织),病理示:肝组织中门脉及汇管区慢性炎细胞侵润,部分肝细胞有脂肪变性,考虑慢性肝损害。CT室主任徐益明主任会诊示:肝右叶占位,动脉期轻度增强,不能排除结节性增生和腺瘤。进一步处理?讨论1:初步诊断及鉴别诊断?讨论2:进一步诊疗?诊断初步诊断:肝癌?腺瘤?FNH?鉴别诊断:1、细菌性肝脓肿:多有胆道疾病或糖尿病病史,病初有畏寒、高热等症状,抗炎治疗效果好,血AFP正常,CT可鉴别;2、肝血管瘤:多无临床症状,血AFP正常,CT可鉴别。肝癌的诊断国内外公认的所有实体肿瘤中,惟有HCC可采用临床诊断标准。同时满足下条件中的1+2(1)两项或者1+2(2)+3三项时,可确立HCC。1.具有肝硬化以及HBV(或)HCV感染的证据。2.典型HCC影像学特征:CT和(或)MRI检查显示肝脏占位在动脉期快速不均质血管强化,而静脉期或延迟期快速洗脱。(1)如果肝脏占位直径≥2cm,CT和MRI两项影像学检查中有一项显示肝脏占位具有上述肝癌的特征,即可诊断HCC;(2)如果肝脏占位直径为1-2cm,则需要CT和MRI两项影像学检查都显示肝脏占位具有上述肝癌的特征,方可诊断HCC。3.血清AFP≥400ug/L持续1个月或≥200ug/L持续2个月,并排除其他原因引起的AFP升高,包括妊娠、生殖系胚胎源性肿瘤、活动性肝病及继发性肝癌等。典型肝癌CT表现【请在此键入内容】不典型肝癌图1肝右叶低密度灶,肝实质缩小,表面呈波浪型。图2动脉期病灶无强化图3门脉期病灶仍呈低密度,边界清楚典型肝癌MRI表现图1:T2像,肝癌结节呈斑片状高信号,包膜呈高信号。图2:T1像,肿瘤内信号混杂,包膜呈低信号。图4:动脉期,肿瘤强化,包膜未强化;图5:门脉期,假包膜双层结构强化;图6:延迟期,双层结构强化更明显。腺瘤临床表现:多无症状,大的腺瘤可引起右上腹不适及饱胀感。实验室检查:肝功能正常,AFP不升高。CT:腺瘤呈等密度或低密度,脂肪肝患者可呈高密度。肿瘤边界锐利,可有假包膜。治疗:无需特殊治疗。典型腺瘤CT变现动脉期:均匀增强,但低于血管强化(腺瘤主要由肝动脉供血,缺乏门脉血管)。门脉期:等密度(肿瘤内动静脉瘘形成,强化消退迅速)。与肝癌的鉴别点?少数静脉引流不畅的腺瘤静脉期及延迟期均呈高密度局灶性结节性增生FNH:良性的肝实质病变,病因为肝动静脉血管畸形,肝血流持续增加引起的周围肝组织假瘤样增生,多单发。临床表现:一般无症状,少数表现为上腹部不适或隐痛。CT:平扫呈略低密度或等密度;动脉期及门脉早期呈明显、均匀、快速强化;门脉晚期呈略高密度或等密度。1/3病灶可显示中央区低密度疤痕,动脉期无强化,随时间延迟逐渐强化,至延迟期呈等密度或高密度。治疗:并非真正肿瘤,无恶变倾向,长期随访病灶可缩小,无需特殊治疗。典型FNHCT变现图1平扫:肝右叶低密度灶;图2动脉期:明显强化,中心疤痕无强化;图3门脉期:肿块仍呈等密度,中心疤痕无强化;图4延迟期:中心疤痕延迟性强化。不典型FNH图1平扫:肝右叶低密度灶,中心无疤痕;图2动脉期:明显强化,中心疤痕无强化;图3、4静脉及延迟期:病灶呈等密度,未见疤痕强化。与肝癌的鉴别点?平扫动脉期静脉期延迟期肝癌肝硬化表现,不均匀强化,强化幅度低于腹主动脉低密度或低信号低密度或低信号肝腺瘤低密度...

1、当您付费下载文档后,您只拥有了使用权限,并不意味着购买了版权,文档只能用于自身使用,不得用于其他商业用途(如 [转卖]进行直接盈利或[编辑后售卖]进行间接盈利)。
2、本站所有内容均由合作方或网友上传,本站不对文档的完整性、权威性及其观点立场正确性做任何保证或承诺!文档内容仅供研究参考,付费前请自行鉴别。
3、如文档内容存在违规,或者侵犯商业秘密、侵犯著作权等,请点击“违规举报”。

碎片内容

病例讨论肝占位

确认删除?
VIP
微信客服
  • 扫码咨询
会员Q群
  • 会员专属群点击这里加入QQ群
客服邮箱
回到顶部