电脑桌面
添加小米粒文库到电脑桌面
安装后可以在桌面快捷访问

肝血管瘤诊疗VIP免费

肝血管瘤诊疗_第1页
1/35
肝血管瘤诊疗_第2页
2/35
肝血管瘤诊疗_第3页
3/35
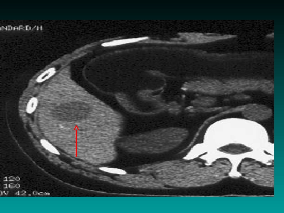
肝血管瘤•肝血管瘤是肝脏的良性肿•瘤,占肝良性肿瘤的84%。•人群发病率5%~7%。临床表现clinicalmanifestation一般无症状(85%),多于体检时偶然发现;•当瘤体直径>5cm(巨大海绵状血管瘤)时,可出现上腹部胀痛、食欲减退;瘤体破裂可引起瘤内、肝包膜下或腹腔内出血,严重者出现休克。肝血管瘤的症状•临床症状上可将肝海绵状血管瘤归纳于4种类型:•(1)无症状型:肿瘤≤4cm,B超、CT等影像学检查或剖腹探查时发现。•(2)腹块型:肿瘤增长至一定大小,虽未产生自觉症状,但病人无意中发现腹部肿块。•(3)肿块压迫型:约占50%~60%•(4)内出血型:瘤体发生破裂,腹腔内出血、心悸、出汗、头昏、四肢湿冷、低血压、休克等肝血管瘤分类•(1)(1)海绵状血管瘤海绵状血管瘤((最常见)最常见)•(2)(2)硬化性血管瘤硬化性血管瘤•(3)(3)血管内皮细胞瘤血管内皮细胞瘤•(4)(4)肝毛细血管瘤肝毛细血管瘤概述outline•常见、良性•发病率1%-10%•好发于女性•多见于30-60岁•90%为单发••肝海绵状血管瘤•肝血管瘤的病因•多认为与先天发育异常有关,可能由下列因素引起。••1.毛细血管组织感染后扩张变形;••2.肝组织局部坏死后的肝组织周围血管充血、扩张、最后形成空泡状;•3.肝内区域性血循环停滞后,致血管形成海绵状扩张。肝内持续性静脉血瘀,导致静脉膨大;••4.肝内出血、血肿机化、血管再通后形成血管扩张;••5.血管发育异常致血管海绵状扩张。肝动脉末梢先天性畸形。•6.可能与雌激素有关。病理表现pathologicalappearance•大体肿瘤组织切面•纤维化•血栓•囊性变性•钙化(偶尔)病理表现pathologicalappearance血窦和纤维组织间隔,形成海绵状结构血窦腔内衬单层扁平内皮细胞,窦腔内充满血液•光镜下肝血管瘤的并发症肝血管瘤的并发症•1.肝血管瘤破裂:可引起急腹症或内出血症状;•2.血小板减少症和低纤维蛋白原血症:少数病人常因凝血机制障碍而引起此症;•3.肝脏肿大:血管瘤长大时会引起肝脏肿大;•4.肝囊肿:约10%的病人可并发肝囊肿;肝血管瘤诊断依据•1.肝区胀痛,肝大或触及包块。2.彩色B超示肝血管瘤样改变。3.CT检查:肝内有密度均匀的低密度区,增强后肿瘤边缘区可出现“C”形增强带。•4.MRI检查:•5.肿瘤标志物检查:AFP,CEA,影像学表现imagingfindings(CT)•清楚的圆形或类圆形•低密度影•CT平扫诊断及鉴别诊断diagnosisanddifferentialdiagnosis诊断要点:平扫---CT:圆形或类圆形低密度影MR:圆形或类圆形长T1长T2异常信号增强扫描:典型特点---早出晚归,快进慢出诊断及鉴别诊断diagnosisanddifferentialdiagnosis鉴别诊断肝囊肿肝脏转移瘤原发性肝癌小结对于诊断肝海绵状血管瘤:1、动态增强扫描是关键;2、早出晚归(快进慢出)肝脏海绵状血管瘤的鉴别:1、肝囊肿-无强化;2、原发性肝癌-快进快出;3、肝转移瘤-环形强化,牛眼征。肝血管瘤治疗选择肝血管瘤治疗选择•一、手术治疗:肝血管瘤剥离术、肝叶、肝段切除术开腹手术,手术创伤大,术后恢复慢二、肝动脉结扎手术三、肝动脉介入栓塞治疗四、肝移植五、皮质类固醇类药物六、腹腔镜七、射频消融术特色治疗一:高频彩超微创介导治疗术精准穿刺:在超声引导下经皮经肝穿刺针准确进入病灶,注入药物。肝血管瘤高频彩超微创介导治疗•【操作技术】•一般采用21~23G(相当于6~8号针)带针芯细针。••(1)病人取仰卧位或侧卧位,先用探头检查肝脏病变,选择穿刺目标,初步确定穿刺部位及穿刺径路。••(2)常规消毒穿刺部位,铺消毒巾,用探头显示穿刺病灶,再次确定适宜的穿刺点和方向及深度。••(4)固定穿刺探头,当病灶显示清晰时,将穿刺针进针,待进入皮下,即令病人屏气或浅呼吸,继续穿刺进针。在监视屏上,严密监视穿刺针的针尖回声的前进方向,直至进入肝脏血管瘤内抽有回血即表明已到达病变区。若在进针过程中针尖显示不清,可适当调整探头角度,一般即能显示针尖位置。••(5)进入病灶内拔出针芯抽有回血,嘱病人浅呼吸或平静呼吸,接装有药液注射器,缓慢注药,药物注射完毕后,迅速拔出穿刺针。1周后做第二次治疗,根据瘤体大小...

1、当您付费下载文档后,您只拥有了使用权限,并不意味着购买了版权,文档只能用于自身使用,不得用于其他商业用途(如 [转卖]进行直接盈利或[编辑后售卖]进行间接盈利)。
2、本站所有内容均由合作方或网友上传,本站不对文档的完整性、权威性及其观点立场正确性做任何保证或承诺!文档内容仅供研究参考,付费前请自行鉴别。
3、如文档内容存在违规,或者侵犯商业秘密、侵犯著作权等,请点击“违规举报”。

碎片内容

肝血管瘤诊疗

您可能关注的文档

确认删除?
VIP
微信客服
  • 扫码咨询
会员Q群
  • 会员专属群点击这里加入QQ群
客服邮箱
回到顶部