电脑桌面
添加小米粒文库到电脑桌面
安装后可以在桌面快捷访问

JAAOS综述:桡骨远端骨折治疗争议

JAAOS综述:桡骨远端骨折治疗争议_第1页
1/12
JAAOS综述:桡骨远端骨折治疗争议_第2页
2/12
JAAOS综述:桡骨远端骨折治疗争议_第3页
3/12
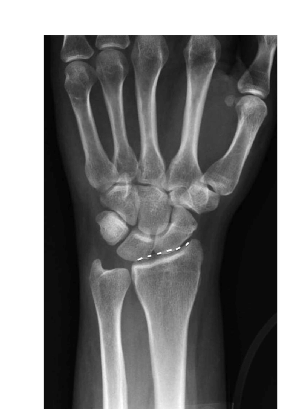
JAAOS 综述:桡骨远端骨折治疗争议 桡骨远端骨折在日常诊疗过程中较为常见,国内现在的治疗趋势是对能耐受手术的中青年患者基本会建议手术;而对腕关节功能要求较低的患者,则手术或者非手术治疗基本接近。 尽管笔者对上述观察结果的总结并不一定正确,但也从侧面证明一个问题,即现阶段桡骨远端骨折治疗仍争议重重。在 2014 年 9 月份的美国 JAAOS 杂志上刊登了目前桡骨远端相关的争议点,包括诊断,影像学评估,治疗和预后等方面,现将中文翻译版呈现给各位,以供在临床实践中参考。 文末会给各位推荐数篇桡骨远端治疗的相关指南和病例介绍,是早先丁香园骨科频道译者(@第五十七回 )对 AAOS 桡骨远端骨折治疗指南的解读,欢迎各位点击阅读。 桡骨骨折相关的问题,包括桡骨骨折评估,诊断,治疗及功能预后的评估等极富争议。各种影像学检查手段在评估桡骨骨折中的准确性均未得到确实有效的证实。此外,桡骨远端的分类方法多样,大部分分类方法在不同观察者间及同一观察者内的可靠性也存在较多疑问。 非手术治疗桡骨远端的主要争议点在于骨折的复位,麻醉的使用,骨折的制动时间,前臂在骨折愈合过程中的位置等。手术治疗桡骨远端骨折的争议点包括手术指征,术后出现腕管综合征需要再次手术减压,骨折固定的方法,骨折固定是否需要加强。桡骨骨折术后的康复策略,用药,物理锻炼方法等也存在较多争议。目前临床上对桡骨远端骨折的临床功能预后使用何种标准评估尚无统一的意见。上述所有争议内容后期需要更多的临床研究进行进一步的评估。 桡骨远端骨折在临床中较为常见,其年发生数量为 60 万例。其发病年龄呈现双峰的特点,即以高能量损伤的年轻人和低能量损伤的老年人为主体。2007 年,美国桡骨远端骨折的医疗花费接近 1.7 亿美元。 对桡骨骨折采取合适的治疗方案要求临床医生准确的评估骨折形态,诊断,治疗,并熟悉术后功能恢复评估方法。桡骨骨折诊断,治疗,术后评估等均存在较多争议。2009 年美国 AAOS 协会发布了第一版的桡骨远端骨折治疗指南,但是上述指南的临床证据并不充分。 争议点:骨折评估 临床上有很多方法可以评估桡骨远端骨折。前后位,侧位,斜位 X 片等可以评估桡骨的倾斜,长度和掌倾角(图 1)。前后位 X 片清晰的桡骨远侧边缘和侧位片上清晰的泪滴样桡骨远端是正常的解剖学表现。在前后位 X 片上,桡骨远端背侧边缘投影要超过桡骨近端骨皮质约 3-5m m 。侧位片时,泪滴点的切线和...

1、当您付费下载文档后,您只拥有了使用权限,并不意味着购买了版权,文档只能用于自身使用,不得用于其他商业用途(如 [转卖]进行直接盈利或[编辑后售卖]进行间接盈利)。
2、本站所有内容均由合作方或网友上传,本站不对文档的完整性、权威性及其观点立场正确性做任何保证或承诺!文档内容仅供研究参考,付费前请自行鉴别。
3、如文档内容存在违规,或者侵犯商业秘密、侵犯著作权等,请点击“违规举报”。

碎片内容

JAAOS综述:桡骨远端骨折治疗争议

您可能关注的文档

确认删除?
VIP
微信客服
  • 扫码咨询
会员Q群
  • 会员专属群点击这里加入QQ群
客服邮箱
回到顶部