电脑桌面
添加小米粒文库到电脑桌面
安装后可以在桌面快捷访问

骨折图片大全

骨折图片大全_第1页
1/10
骨折图片大全_第2页
2/10
骨折图片大全_第3页
3/10
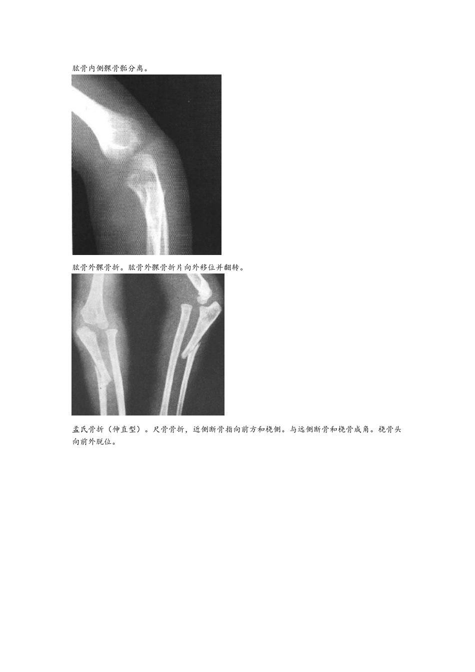
骨折图片大全!请进------锁骨骨折。锁骨骨干中段横断骨折。断端向上移位,形成凸向上之成角畸形。肩胛骨粉碎性骨折。肩胛骨外缘见一垂直形骨折线,上缘尚见星芒状骨折线。肱骨外科颈骨折(外展型)。肱骨骨干骨折。远侧断骨向上外方移位,附近有小碎骨片。肱骨髁上骨折。骨折线呈不规则横形,远端骨片稍向掌侧移位。肱骨内侧髁骨骺分离。肱骨外髁骨折。肱骨外髁骨折片向外移位并翻转。孟氏骨折(伸直型)。尺骨骨折,近侧断骨指向前方和桡侧。与远侧断骨和桡骨成角。桡骨头向前外脱位。盖氏骨折。桡骨中下 1/3 骨折,伴远端尺桡关节脱位和尺骨茎突骨折。柯雷氏骨折。桡骨下端横形骨折,远端断骨向背侧倾斜移位,侧位片呈“匙”样畸形,伴尺骨茎突骨折。史密斯骨折。腕舟骨骨折。腕舟骨中部可见透亮线。第一掌骨基底部骨折。下肢骨折图片 股骨颈骨折腓骨下段螺旋形骨折并踝关节半脱位胫骨下段斜形骨折尾指近-中节骨粉碎性骨折并完全性脱位跟骨骨折图片

1、当您付费下载文档后,您只拥有了使用权限,并不意味着购买了版权,文档只能用于自身使用,不得用于其他商业用途(如 [转卖]进行直接盈利或[编辑后售卖]进行间接盈利)。
2、本站所有内容均由合作方或网友上传,本站不对文档的完整性、权威性及其观点立场正确性做任何保证或承诺!文档内容仅供研究参考,付费前请自行鉴别。
3、如文档内容存在违规,或者侵犯商业秘密、侵犯著作权等,请点击“违规举报”。

碎片内容

骨折图片大全

确认删除?
VIP
微信客服
  • 扫码咨询
会员Q群
  • 会员专属群点击这里加入QQ群
客服邮箱
回到顶部