电脑桌面
添加小米粒文库到电脑桌面
安装后可以在桌面快捷访问

基底节区域异常的疾病逐一鉴别

基底节区域异常的疾病逐一鉴别_第1页
1/36
基底节区域异常的疾病逐一鉴别_第2页
2/36
基底节区域异常的疾病逐一鉴别_第3页
3/36
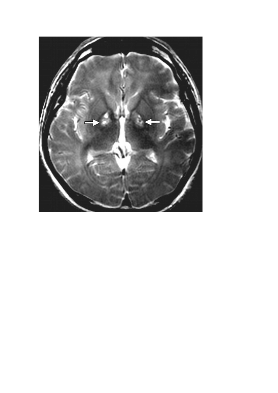
基底节区域异常的疾病逐一鉴别2025-07-08 来源:医脉通 许多种疾病都可表现为基底节和丘脑的异常,包括中毒、全身代谢性疾病、某些退行性疾病、血管异常等。本文将对不同疾病的表现特征进行介绍。进入正文之前,先来复习一下基底节区域的解剖吧:基底节的功能很复杂。这些结构主要涉及运动的产生,并且是锥体外系运动系统的一部分,同时也可以参加记忆、情绪和其他认知功能。由于壳核和苍白球富含线粒体、血管供应和神经递质,且代谢活性高、葡萄糖和氧的利用更多,因此易受代谢异常和许多全身性疾病的影响。丘脑则是由多个核团组成,负责感觉和运动信号的中继,参加意识、睡眠和警觉性的调节。因此,丘脑病变常常导致意识障碍和感觉异常。话不多说,马上进入正题——引起基底节及丘脑异常改变的疾病都有哪些?毒物中毒一氧化碳中毒➤ 表现为意外暴露或自杀未遂后急性认知障碍或昏迷➤ 具有苍白球受累倾向➤ 可能出现 T1WI 短信号和延迟脑白质病➤ DWI 上呈弥散受限33 岁男性,一氧化碳中毒后 4 周,轴位 T2WI 和冠状位 FLAIR 像显示双侧苍白球对称性高信号灶。深部白质对称性高信号区域与延迟性白质脑病表现一致。甲醇中毒➤ 壳核可出现缺血性坏死➤ 脑白质水肿是甲醇中毒的额外特征➤ 初始症状可包括视神经炎表现41 岁男性,甲醇中毒,精神状态改变、眼球后痛苦,增强 CT 显示豆状核、胼胝体、皮层下白质可见密度降低。肝脏疾病➤ 含氮废物通过血脑屏障造成长期毒性脑损伤➤ 锰沉积导致 T1WI 上苍白球、黑质高信号➤ 急性高氨血症可导致双侧基底节、岛叶皮质、扣带回水肿、T2WI 长信号和弥散受限➤ 肝移植后影像学改变可逆55 岁男性,肝硬化,T1WI 上可见双侧苍白球高信号。70 岁男性,急性高氨血症,肝硬化急性失代偿性肝功能衰竭,精神状态改变。影像学检查显示尾状核头、豆状核、岛叶皮质水肿、T2WI 高信号、DWI 弥散受限。非酮症性高血糖➤ 见于糖尿病控制不佳的患者,预后通常较好➤ 主要表现为急性舞蹈病症状、单侧抽搐、精神状态改变➤ CT 常表现为双侧(罕见单侧)苍白球或尾状核高密度➤ MRI 上表现为 T1WI 高信号,T2WI 多变信号68 岁女性,为未经控制的糖尿病患者,出现非酮症性高血糖,表现为舞蹈样症状发作。轴位 T1WI 显示双侧苍白球高信号。低血糖➤ T2WI 上可见双侧大脑皮层、海马、基底节长信号➤ 轻度低血糖表现为 MRI 上一过性白质异常,包括胼胝体压部、内囊和放射冠➤...

1、当您付费下载文档后,您只拥有了使用权限,并不意味着购买了版权,文档只能用于自身使用,不得用于其他商业用途(如 [转卖]进行直接盈利或[编辑后售卖]进行间接盈利)。
2、本站所有内容均由合作方或网友上传,本站不对文档的完整性、权威性及其观点立场正确性做任何保证或承诺!文档内容仅供研究参考,付费前请自行鉴别。
3、如文档内容存在违规,或者侵犯商业秘密、侵犯著作权等,请点击“违规举报”。

碎片内容

基底节区域异常的疾病逐一鉴别

您可能关注的文档

元素商铺+ 关注
实名认证
内容提供者

欢迎挑选合适的文档

确认删除?
VIP
微信客服
  • 扫码咨询
会员Q群
  • 会员专属群点击这里加入QQ群
客服邮箱
回到顶部