电脑桌面
添加小米粒文库到电脑桌面
安装后可以在桌面快捷访问

早期食管病变串讲0926VIP免费

早期食管病变串讲0926_第1页
1/156
早期食管病变串讲0926_第2页
2/156
早期食管病变串讲0926_第3页
3/156
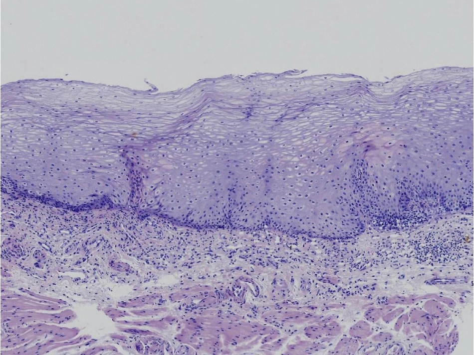
学习目标:1.准确识别食管的结构层次2.掌握放大NBI下的IPCL分型3.能解读食管早癌的病理结论食管腺食管腺的AB染色食管腺的导管导管周围聚集的淋巴细胞于固有层分布的食管贲门腺AB-PAS染色阳性提示腺体构成主要为中性黏液细胞(PAS染色阳性,呈紫色),少量为酸性黏液细胞(AB染色阳性,呈蓝色)鳞状上皮层基底层细胞(立方型、矮柱状)棘细胞层细胞(多边型)表层未角化扁平细胞(梭型)棘细胞层深部及基底层细胞为生发层,具有细胞分裂功能。表浅癌及其对应深度划分表浅癌定义为局限于粘膜或粘膜下层,无论有无淋巴结转移。既往的早癌是指表浅癌且无淋巴结转移。最近早癌定义为粘膜内癌而无论淋巴结有无转移。食管表浅癌的肉眼分型胃肠上皮肿瘤的Vienna分类修订版Vienna分类临床处理1.无肿瘤1.选择性随访2.不确定肿瘤2.随访3.黏膜低级别瘤变3.内镜切除或随访低级别腺瘤低级别异型增生4.黏膜高级别瘤变4.内镜或外科手术局部切除4.1高级别腺瘤/异型增生4.2非浸润癌(原位癌)4.3可疑浸润癌4.4黏膜内癌5.黏膜下浸润癌5.外科手术切除癌(欧美)前病变的病理术语1.不典型增生(轻、中、重度)ATYPIA•反应性不典型增生(放射性食管炎)-非肿瘤性•再生性不典型增生(溃疡)-非肿瘤性•异型增生(腺瘤)-肿瘤性2.异型增生(轻、中、重度)DYSPLASIA-存在能够引发浸润性癌的潜在分子学异常(条件1)-细胞学/组织结构上须存在异型性(条件2)3.上皮内瘤变(低级别、高级别)intraepithelialneoplasia-存在能够引发浸润性癌的潜在分子学异常(条件1)-细胞学/组织结构上可不存在异型性,但形态学上可被识别(条件2)上皮内瘤变与异型增生的关系1.上皮内瘤变包括了异型增生轻度异型增生及中度异形增生属于低级别上皮瘤变重度异型增生属于高级别上皮内瘤变2.上皮内瘤变还包括不具备异形增生形态特点,但具有特定的可被识别出来的组织学形态。如溃结相关的异型增生、传统的锯齿状腺瘤(TSA)等上皮内瘤变具有异型增生特点的上皮内瘤变不具有异型增生特点的上皮内瘤变如广基锯齿状腺瘤/息肉(SSA/P)上皮内瘤变癌(欧美观点中的癌)淋巴结转移风险为0淋巴结转移风险大于0欧美诊断癌的一个前提是出现间质浸润食管和胃只要出现固有层间质浸润,就为癌结直肠须出现黏膜下层间质浸润,才为癌认同黏膜内癌说法,但不认同原位癌说法(sig除外)不认同原位癌说法(sig除外),也不认同黏膜内癌说法判断标准:是否出现间质浸润(不同部位浸润深度要求不同)背后依据:是否存在淋巴结转移风险日本诊断癌的只需细胞/结构异型无需出现间质浸润!原位癌浸润性癌(黏膜内癌、黏膜下浸润癌)欧美诊断为癌的,则日本至少诊断为浸润癌日本诊断为癌,欧美则不一定认为是癌消化道不同部位的高级别上皮内瘤变食管的HGIN:重度异型增生/原位癌(日本)胃的HGIN:重度异型增生/原位癌(日本)结直肠的HGIN:重度异型增生原位癌(日本)黏膜内癌(日本)上皮内瘤变的起源位置与生长方向低度异型性(低级别上皮内瘤变)中度异型性(高级别上皮内瘤变)重度异型性(高级别上皮内瘤变)基底膜是否连续、完整基底膜连续、完整:原位癌基底膜连续的两种表现形态•LINERAPPEARANCE(线形)•WAVYAPPEARANCE(波浪形)LINERAPPEARANCEWAVYAPPEARANCE原位癌累及腺体非浸润癌,仍属于原位癌,因为腺体及导管的基底膜未被突破基底膜不连续,中断:浸润癌基底膜不完整(固有层间质浸润)原位癌or浸润癌?食管早期肿瘤的表现1.光镜下黏膜异常:色泽改变、黏膜粗糙、分支血管网消失等2.复方碘染色淡染或不染3.放大NBI观察可见异常IPCL1.黏膜不平整2.色泽发红3.分枝血管网消失一、光镜下黏膜异常改变黏膜粗糙色泽偏红光镜下的异常表现分枝血管网消失色泽偏红黏膜粗糙,色泽偏红黏膜色泽偏红、分枝血管网消失黏膜色泽偏红、分枝血管网消失分枝血管网消失分枝血管网消失黏膜粗糙、色泽偏红、分枝血管网消失二、碘染不着色原理:肿瘤细胞糖原颗粒缺乏导致碘染不着色HE染色及PAS染色糖原颗粒的PAS染色;紫色表示阳性HE染色及PAS染色肿瘤区鳞状上皮细胞的PAS染色阴性提示糖原缺乏不染与深染碘染色后病变区域的粉红色征•碘染不着色≠肿瘤...

1、当您付费下载文档后,您只拥有了使用权限,并不意味着购买了版权,文档只能用于自身使用,不得用于其他商业用途(如 [转卖]进行直接盈利或[编辑后售卖]进行间接盈利)。
2、本站所有内容均由合作方或网友上传,本站不对文档的完整性、权威性及其观点立场正确性做任何保证或承诺!文档内容仅供研究参考,付费前请自行鉴别。
3、如文档内容存在违规,或者侵犯商业秘密、侵犯著作权等,请点击“违规举报”。

碎片内容

早期食管病变串讲0926

您可能关注的文档

书海行舟+ 关注
实名认证
内容提供者

热爱教学事业,对互联网知识分享很感兴趣

确认删除?
VIP
微信客服
  • 扫码咨询
会员Q群
  • 会员专属群点击这里加入QQ群
客服邮箱
回到顶部