电脑桌面
添加小米粒文库到电脑桌面
安装后可以在桌面快捷访问

肺内结节的CT诊疗VIP免费

肺内结节的CT诊疗_第1页
1/16
肺内结节的CT诊疗_第2页
2/16
肺内结节的CT诊疗_第3页
3/16
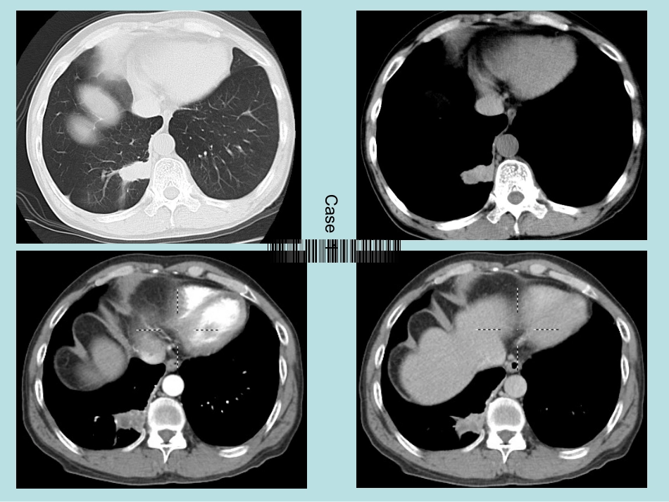
Case1患者,男,57岁,以“反复咳嗽、痰中带血3月余”为主诉入院。缘于入院前3月余明显诱因出现咳嗽、咳痰,呈阵发性,伴有痰中带血,量不多,偶有胸闷、气促感,活动后加剧,休息后缓解,无畏寒、发热,无盗汗,无消瘦,午后低热,无胸痛、心悸,无恶心、呕吐,无腹胀、腹泻等不适,未予重视,未行诊治,期间上述症状反复发作。Case1Case2•患者,66岁,老年男性,以“反复咳嗽、咳痰半年”为主诉入院。2、入院前半年出现反复咳嗽、咳痰,于福建省宁德市医院查CT提示“前纵膈区占位,考虑胸腺瘤可能性大;右中叶及双下肺炎症”。予以“莫西沙星”抗感染等治疗(具体不详)后,于外院复查CT“右肺病变吸收不明显”,其咳嗽咳痰、胸闷气促症状无明显好转,未再规则治疗;查体:体温36.5℃,血压130/80mmHg,双肺呼吸音粗,双下肺可闻及湿性啰音Case3患者庄后彬,男性,65岁,以“咳嗽、咳痰、发热6天”为主诉入院。2、缘于入院前6天“受凉”后出现咳嗽,多为阵发性单声咳,咳嗽不剧,非刺激性,非犬吠样咳嗽,伴咳痰,痰脓黄,量多,明日10-20口,不拉丝,无咳铁锈色痰,伴鼻塞、流涕、发热,体温最高37.5℃,无胸闷、胸痛、呼吸困难,无咯血,无畏冷、寒战,无头晕、恶心、呕吐,无消瘦、盗汗、午后低热,自服“希刻劳、贝莱”等治疗2天后鼻塞、流涕明显好转,体温降至正常,咳嗽、咳痰无明显好转,遂就诊我院,门诊查“血常规示WBC13.58×109/L,N74.9%;肺部CT平扫示左肺炎症,左肺门及纵膈多发淋巴结肿大”,考虑“肺部感染”,予“拜复乐抗感染、愈美片止咳”等治疗,咳嗽、咳痰好转,痰粘白,量少,易咳出,为进一步治疗,门诊拟“肺炎”收入院。Case4患者,女性,68岁,以“发现右上肺病变4天”为主诉入院。入院前4天于我院体检查“肺部CT平扫示:右肺上叶见多发结节状密度增高影,周围密度高,中间密度低,与胸膜关系密切;主动脉及冠状动脉硬化”。无明咳嗽、咳痰,无气促喘憋、呼吸困难、咯血及夜间盗汗,无心悸、胸闷、胸骨后痛。无畏冷、寒战、发热,无腹痛、腹泻、头晕,无皮肤巩膜发黄、尿急、尿痛,无双下肢水肿总结•CT对肺内结节的诊断价值主要有三这方面:1、病变存在的诊断。2、病变定性诊断。3、病变定位诊断。4、病变定量诊断,即:肿瘤分期诊断。•对肺内结节定性诊断应从三方面入手,首先是观察病变内部结构,其次为病变边缘特征,最后是观察局部支气管改变。•1.病变大小和倍增时间病灶直径等于或小于3cm者称为结节,而大于3cm者称为肿块。倍增是指体积增大一倍,简略算法是直径增加1.25倍则体积增大一倍,其所需时间为倍增时间。肺癌必然长大,虽然在癌块较小时生长缓慢,但当直径超过3cm时就可能发展迅速。因此影像学动态观察非常重要。如为新出病灶或较过去增大,应高度怀疑恶性可能。如肺内结节在30天内体积加倍多为炎症,而490天以上无变化可考虑良性。•2.病变的外形和境界主要有分叶征、细小毛刺征、胸膜凹陷征、血管集束征。•3.支气管改变支气管壁增厚是早期改变支气管狭窄支气管梗阻和肺不张

1、当您付费下载文档后,您只拥有了使用权限,并不意味着购买了版权,文档只能用于自身使用,不得用于其他商业用途(如 [转卖]进行直接盈利或[编辑后售卖]进行间接盈利)。
2、本站所有内容均由合作方或网友上传,本站不对文档的完整性、权威性及其观点立场正确性做任何保证或承诺!文档内容仅供研究参考,付费前请自行鉴别。
3、如文档内容存在违规,或者侵犯商业秘密、侵犯著作权等,请点击“违规举报”。

碎片内容

肺内结节的CT诊疗

您可能关注的文档

确认删除?
VIP
微信客服
  • 扫码咨询
会员Q群
  • 会员专属群点击这里加入QQ群
客服邮箱
回到顶部