心包填塞与介入诊疗心包填塞与介入诊疗株洲市人民医院内一科株洲市人民医院内一科11心包积液与心包填塞心包积液与心包填塞正常心包腔内可含...
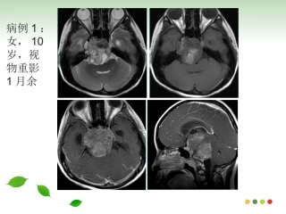
病例1:女,10岁,视物重影1月余病例2:男,47岁,视物重影2年余病例一病例二斜坡脊索瘤的影像诊断斜坡脊索瘤的影像诊断福建医科大学附属第...
哮喘的诊断及机械通气由多种细胞和细胞组分参与的气道慢性炎症性疾患。这种慢性炎症导致气道高反应性的增加,并引起反复发作性的喘息、气急...
不典型小肝癌多排螺旋不典型小肝癌多排螺旋CTCT诊断诊断池州市人民医院医学影像科钱彬池州市人民医院医学影像科钱彬小肝癌基本知识小肝癌基...
小儿贫血的诊断与治疗小儿贫血的诊断与治疗浙江大学医学院附属儿童医院血液肿瘤科汤永民定义:贫血是指末梢血中单位容积内RBC数或Hb量低于...
#小儿急腹症的特殊体征婴幼儿:异常哭闹,辗转不安或蜷卧不动儿童:行走缓慢、身体前驱,家长背抱#小儿腹痛的起病方式无任何症状,爆发性起...
小肠结核的影像诊断小肠结核的影像诊断及鉴别诊断及鉴别诊断福建医科大学附属第一医院王志敏2015-09-26概述肠结核(IntestinalTuberculosi...
消化性溃疡病诊断与治疗规范定义与流行病学病因与发病机制诊断治疗复发及预防Page2消化性溃疡:消化性溃疡:指在各种致病因子的作用下,...
乡镇卫生院的诊疗规范乡镇卫生院的诊疗规范石家庄市第一医院张深栾一、乡镇卫生院检查、诊疗中的常见问题及后果二、合理诊疗的原则三、乡镇...
下肢深静脉血栓形成的诊断与治疗临沂市沂水中心医院介入医学科戚春厚深静脉血栓形成(deepvenousthrombosis,DVT)•血液在深静脉内不正常凝...
下肢静脉血栓的超声诊断下肢静脉血栓的超声诊断意义与价值意义与价值据文献报道,四肢静脉疾病的患病率为动脉疾病的10倍,多发生于下肢。...
系统认识排粪造影,有效诊断肛肠疾病Natural大同马应龙肛肠医院有限公司排粪造影定义排粪造影(bariumdefecography,BD)是通过向病人直肠注...
医学ppt1王林森天津医院放射科王林森天津医院放射科医学ppt2膝关节损伤膝关节损伤包括骨结构和软性结构的创伤,90%以上的骨结构创伤依据X线...
前交叉韧带损伤诊治刘华ACL损伤重要的静力稳定结构损伤致膝关节不稳继发半月板损伤、骨关节炎形成合并其他结构损伤早期重建(2周)...
膝关节骨性关节炎诊断及膝关节骨性关节炎诊断及治疗治疗青海油田职工总医院于伯泉青海油田职工总医院于伯泉骨性关节炎骨性关节炎((Oste...
膝关节常见滑膜炎的诊断和膝关节常见滑膜炎的诊断和鉴别诊断鉴别诊断滑膜解剖滑膜解剖滑膜(滑膜(synoviumsynovium):):是关节囊内关节...
吸入性肺炎的诊治西安交大医学院第二附属医院孙秀珍吸入性肺炎的概念吸入性肺炎(AP,aspirationpneumonitis)系吸入酸性物质、动物脂肪如食...
L/O/G/O第十三节黄疸第十三节黄疸定义•血清中总胆红素浓度增高皮肤、巩膜、黏膜、体液及其它组织黄染,临床出现黄疸•黄疸是症状,也是体...
(arthralgia)关节痛定义根据不同病因及病程,关节痛可分急性和慢性。急性关节痛是急性关节病变的主要症状,也可由关节周围组织炎症所致(...
胃肠道肿瘤的早期诊断及预防恶性肿瘤---癌谈“癌”色变癌:不可根治,存在转移、复发的风险;手术及放化疗仅仅是缓解病情的发展,改善生活...

