电脑桌面
添加小米粒文库到电脑桌面
安装后可以在桌面快捷访问

人的肝脏常见疾病超声检查

人的肝脏常见疾病超声检查_第1页
1/9
人的肝脏常见疾病超声检查_第2页
2/9
人的肝脏常见疾病超声检查_第3页
3/9
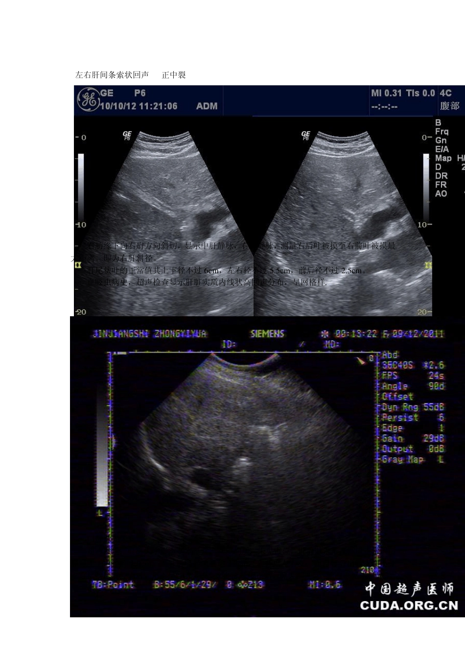
肝脏 1.肝右锁骨中线肋缘下长度:正常人肝脏在平稳呼吸时,超声在肋缘下扫查不到或稍触及。 2.肝右叶最大斜径:12 ~14cm。 3.肝右叶前后径:8 ~10cm。 4.左半肝厚度及长度:分别为5~6cm 、5~9cm。 5.门静脉内径:不超过 1.4cm、血流速度范围:13~25 cm/s、血流量:约 900±217ml/min。 6.肝动脉峰值速度范围:65~85cm/s 、阻力指数:0.6~0.75。 胆囊与胆道 胆囊最大纵切面长径:约 7~9cm 、前后径:多不超过 3cm 胆囊壁厚:2~3mm 左右肝管内径:约 2mm 、总肝管内径:3~4mm 、总胆管内径:6~8mm 胆囊动脉血流峰值速度:45~65cm/s 、阻力指数:0.5~0.67 脂餐一小时后收缩 ≥1/2 肝硬化,肝包膜下迂曲管状回声,范围约 63X31mm,较宽处约 8.1mm,管状暗区旁似可见片状高回声。 B 超于肝右后叶中上段探及大小约 2.8cmx2.5cm 圆形低弱回声包块,囊壁清晰,厚约 0.3cm,呈强回声,周边无晕环,内透声差,后方回声无明显增强,可见侧方声影,CDFI 示:其内无血流信号。其余未发现异常。考虑肝囊肿继发感染,囊壁钙化,CT 确考虑肝脓肿可能. 肝血管瘤,是肝脏的良性肿瘤。以肝海绵状血管瘤最常见。海绵状血管瘤一般是单发的,多发生在肝右叶;约10%左右为多发,可分布在肝一叶或双侧。血管瘤在肝脏表现为暗红,蓝紫色囊样隆起。分叶或结节状,柔软,可压缩,多数与邻近组织分界清楚。病人一般无自觉症状。 B 型超声可检出直径>2cm 的肝血管瘤。典型表现为边界清晰的低回声占位伴有后方不甚明显的回声增强效应。但大多数小血管瘤为强回声,瘤体直径多<5cm,当瘤体较大时,其边界可呈清楚的花瓣状或分叶状,内部有时可见散在的点状低回声和少许纤维束光带。因瘤体回声较肝组织强,内部结构易于辨认,因此诊断符合率高。较大的血管瘤(多>5cm)则表现为内部高低混杂回声,边界不整,形状不一,此为瘤内有纤维性变、血栓形成或坏死所致。有时肝癌也可有类似图像,因此需做其他影像学检查加以鉴别。 左右肝间条索状回声 正中裂 右肋缘下向右肩方向斜切,显示中肝静脉,右肝静脉,测量右后叶被摸至右前叶被摸最大距离。即为右肝斜径。 肝尾状叶的正常值其上下径不过6cm ,左右径不过5.5cm ,前后径不过2.5cm 。 血吸虫病史,超声检查显示肝脏实质内线状高回声分布,呈网格样. 门静脉先天变异 超声发现:肝脏大小形态基本正常,回声均质,未见占位,肝静脉走形及回流正常,门静脉主干内...

1、当您付费下载文档后,您只拥有了使用权限,并不意味着购买了版权,文档只能用于自身使用,不得用于其他商业用途(如 [转卖]进行直接盈利或[编辑后售卖]进行间接盈利)。
2、本站所有内容均由合作方或网友上传,本站不对文档的完整性、权威性及其观点立场正确性做任何保证或承诺!文档内容仅供研究参考,付费前请自行鉴别。
3、如文档内容存在违规,或者侵犯商业秘密、侵犯著作权等,请点击“违规举报”。

碎片内容

人的肝脏常见疾病超声检查

确认删除?
VIP
微信客服
  • 扫码咨询
会员Q群
  • 会员专属群点击这里加入QQ群
客服邮箱
回到顶部