电脑桌面
添加小米粒文库到电脑桌面
安装后可以在桌面快捷访问

眼眶表皮样囊肿VIP免费

眼眶表皮样囊肿_第1页
1/31
眼眶表皮样囊肿_第2页
2/31
眼眶表皮样囊肿_第3页
3/31
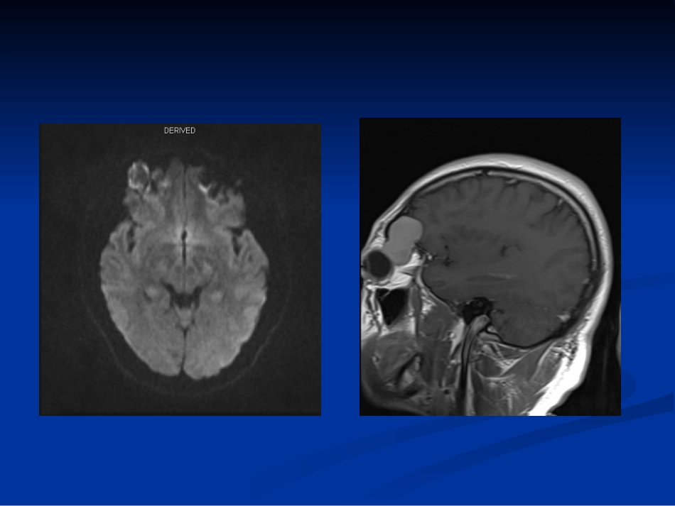
今日读片今日读片ID:1005377965ID:1005377965影像资料:影像资料:2016-8-12016-8-1日头颅日头颅MRIMRI平扫平扫++增强增强2016-8-22016-8-2日头颅日头颅CTACTA患者男性,患者男性,3737岁岁临床病史:临床病史:入院前三个月,无明显诱因下出现右眼入院前三个月,无明显诱因下出现右眼干涩不适,就诊于当地医院眼科,自诉查眼球未干涩不适,就诊于当地医院眼科,自诉查眼球未见明显异常,予以对症治疗,症状有所缓见明显异常,予以对症治疗,症状有所缓解,解,20162016年年66月开始,自觉右眼较前明显突出,月开始,自觉右眼较前明显突出,伴有视物重影,自行调节后可缓解,同时伴有视伴有视物重影,自行调节后可缓解,同时伴有视力下降。在当地医院行力下降。在当地医院行CTCT检查提示右侧额、眼检查提示右侧额、眼眶外侧壁膨胀性骨质破坏,病变向颅内及眼眶内眶外侧壁膨胀性骨质破坏,病变向颅内及眼眶内突起。既往突起。既往20002000年因近视眼行激光手术治疗。年因近视眼行激光手术治疗。2016-8-12016-8-1头颅头颅MRIMRI2016-8-2头颅CT阅片思路阅片思路临床特征临床特征影像学特征(定位、定性)影像学特征(定位、定性)临床特征:临床特征:中年男性患者;中年男性患者;病程较长;不适感逐渐发展疼痛感;伴有病程较长;不适感逐渐发展疼痛感;伴有视力减退改变;有近视眼激光手术史。视力减退改变;有近视眼激光手术史。影像学分析思路部位、大小、信号(密度)、形态、数量、周围情况邻近解剖结构改变:大小与形态异常、密度或信号异常、位置异常、眶壁骨质异常、眼眶通道异常、肿块定位:主要位于右眼眶外上限,眶骨膜下间隙内,并向颅内延伸定位:主要位于右眼眶外上限,眶骨膜下间隙内,并向颅内延伸定位:定位:MRIMRI征象:位于眼外肌外侧、长圆形、眼球偏突、征象:位于眼外肌外侧、长圆形、眼球偏突、眼外肌内移、视神经移位明显。眼外肌内移、视神经移位明显。CTCT征象:眼眶外侧壁及右侧额骨局部骨质膨胀性征象:眼眶外侧壁及右侧额骨局部骨质膨胀性改变改变定性(良定性(良//恶性):恶性):良、恶性的主要鉴别要点良、恶性的主要鉴别要点病灶的大小、边界;病灶的大小、边界;与周围组织关系(推压、侵犯);与周围组织关系(推压、侵犯);有无远处转移。有无远处转移。此病例的影像学主要特征此病例的影像学主要特征MRIMRI:病灶边界清晰,其内信号欠均匀(:病灶边界清晰,其内信号欠均匀(T1WIT1WI呈稍高信号,呈稍高信号,T2WIT2WI呈呈高信号,混杂不均匀等信号,周围可见低信号环形影),在高信号,混杂不均匀等信号,周围可见低信号环形影),在DWIDWI边边缘呈不均匀高信号,其中心呈稍低信号,邻近眼球、泪腺及上直肌、外缘呈不均匀高信号,其中心呈稍低信号,邻近眼球、泪腺及上直肌、外直肌受压、推移。直肌受压、推移。CTCT:右侧眼眶外侧壁及右侧额骨骨质局部膨胀改变;病灶边缘可见环形:右侧眼眶外侧壁及右侧额骨骨质局部膨胀改变;病灶边缘可见环形骨化影。骨化影。病灶周围脂肪间隙清晰,增强检查病灶未见强化。病灶周围脂肪间隙清晰,增强检查病灶未见强化。结合临床综合考虑:结合临床综合考虑:良性病变,来源于肌锥外间隙或骨膜下间隙良性病变,来源于肌锥外间隙或骨膜下间隙肌锥外间隙病变:肌锥外间隙病变:泪腺肿瘤、转移瘤、淋巴瘤、泪腺肿瘤、转移瘤、淋巴瘤、神经鞘瘤神经鞘瘤、、炎性假瘤(局炎性假瘤(局限性肿块型)、静脉曲张限性肿块型)、静脉曲张骨膜下间隙病变:骨膜下间隙病变:血肿血肿、、皮样囊肿皮样囊肿、、表皮样囊肿表皮样囊肿神经鞘瘤神经鞘Schwann细胞增殖形成的一种良性肿瘤,占眶内肿瘤的1%~3%可发生于各种年龄,但以20~70岁成年人居多,男女发病率相仿多为单发影像学表现多为类圆形或椭圆形,也可以为哑铃状或串珠状,长径与眼眶长轴一致,边界清楚。CT平扫肿瘤密度与视神经和眼外肌接近,其内可见低密度囊变区,少数肿瘤可见钙化灶。增强肿瘤实性部分呈中等度强化,较均匀,囊变区不强化。肿瘤生长缓慢,成膨胀性生长,可压迫视神经、眼外肌移位。MRI表现...

1、当您付费下载文档后,您只拥有了使用权限,并不意味着购买了版权,文档只能用于自身使用,不得用于其他商业用途(如 [转卖]进行直接盈利或[编辑后售卖]进行间接盈利)。
2、本站所有内容均由合作方或网友上传,本站不对文档的完整性、权威性及其观点立场正确性做任何保证或承诺!文档内容仅供研究参考,付费前请自行鉴别。
3、如文档内容存在违规,或者侵犯商业秘密、侵犯著作权等,请点击“违规举报”。

碎片内容

眼眶表皮样囊肿

您可能关注的文档

确认删除?
VIP
微信客服
  • 扫码咨询
会员Q群
  • 会员专属群点击这里加入QQ群
客服邮箱
回到顶部