电脑桌面
添加小米粒文库到电脑桌面
安装后可以在桌面快捷访问

小儿支气管哮喘课件

小儿支气管哮喘课件小儿支气管哮喘课件小儿支气管哮喘课件小儿支气管哮喘课件小儿支气管哮喘课件
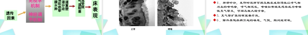
哮 喘 1953-1995 ( 42 岁)因哮喘急性发作病逝泰国邓丽君由于哮喘和束手无策的医生而死于维也纳 1770-1827 ( 57岁)贝多芬学习要求: 1. 了解小儿哮喘的定义、范围及发病特点 2. 熟悉哮喘病因病机 ; 3. 掌握小儿哮喘的诊断和鉴别诊断; 4. 掌握小儿哮喘发作期和缓解期的辨证论治; 5. 了解急重症的西医处理原则。定义哮喘是小儿时期常见的反复发作的哮鸣气喘性肺系疾病。哮指声响,喘指气息,临床上哮常兼喘。以发作性喉间哮鸣气促,呼气延长为特征,严重者不能平卧,呼吸困难,张口抬肩,摇身擷肚,嘴唇青紫为特征。西医学概念定义哮喘是一种由多种细胞特别是肥大细胞 、嗜酸性细胞和 T 淋巴细胞参与的气道慢性炎症 , 引起这种炎症可导致气道高反应性,导致可逆性气道阻塞 , 临床上表现为 喘息、呼吸困难、胸闷和咳嗽。本病包括了西医学喘息性支气管炎、支气管哮喘。发病特点明显遗传倾向,与体质和环境因素有关。明显的季节性,多于冬春二季和气候骤变时,常在清晨或夜间发作。年龄:初发多在 1~6 岁,多见于 3 岁以内发病。发病率: 0.5-3.33%预后:多数患儿可经治疗缓解或自行缓解,部分儿童哮喘在青春期可完全消失。 若治疗不当 ,长时间反复发作,可造成肺肾两虚,喘息持续,难以缓解,甚至终生发作,或危及生命。古籍记载:病名首载于《丹溪心法 · 喘论》:“哮喘专主于痰”,哮证已发攻邪为主,未发扶正为要。《幼科发挥 · 喘嗽》说:“或有喘疾,遭寒冷而发,发则连绵不已,发过如常,有时复发,此为宿疾,不可除也。” 提出本病有反复发作,难以根治的临床特点。病因病机内因和外因内因责之于肺、脾、肾三脏功能不足,痰饮留伏,此为哮喘之夙根。外因责之于感受外邪,接触异物、异味及嗜食咸酸,其中以感受外邪触发最多见。病位主要在肺。病因病机感受外邪(风寒、风热、异物等)引动伏痰痰阻气道肺失宣肃气逆痰动哮喘病因病机发作时病机为:“内有壅塞之气,外有非时之感,膈有胶固之痰。”三者相合,闭拒气道,搏击有声,发为哮喘。发作期以邪实为主,缓解期以正虚为主。花粉与宠物螨虫与吸烟食物过敏原• 动物蛋白食品– 水产品、乳、蛋、肉• 油料作物及坚果类– 花生• 水果及蔬菜类• 谷类• 食物添加剂药物过敏原• 青霉素• 磺胺类• 解热镇痛药• 麻醉剂• 生物制品 免疫炎症反应变应原树突细胞、巨噬细胞、 B 淋巴细胞T 淋...

1、当您付费下载文档后,您只拥有了使用权限,并不意味着购买了版权,文档只能用于自身使用,不得用于其他商业用途(如 [转卖]进行直接盈利或[编辑后售卖]进行间接盈利)。
2、本站所有内容均由合作方或网友上传,本站不对文档的完整性、权威性及其观点立场正确性做任何保证或承诺!文档内容仅供研究参考,付费前请自行鉴别。
3、如文档内容存在违规,或者侵犯商业秘密、侵犯著作权等,请点击“违规举报”。

碎片内容

小儿支气管哮喘课件

您可能关注的文档

最好的沉淀+ 关注
实名认证
内容提供者

行业文档

相关文档

确认删除?
VIP
微信客服
  • 扫码咨询
会员Q群
  • 会员专属群点击这里加入QQ群
客服邮箱
回到顶部