电脑桌面
添加小米粒文库到电脑桌面
安装后可以在桌面快捷访问

子宫肌瘤影像学诊断VIP专享VIP免费

子宫肌瘤影像学诊断_第1页
1/15
子宫肌瘤影像学诊断_第2页
2/15
子宫肌瘤影像学诊断_第3页
3/15
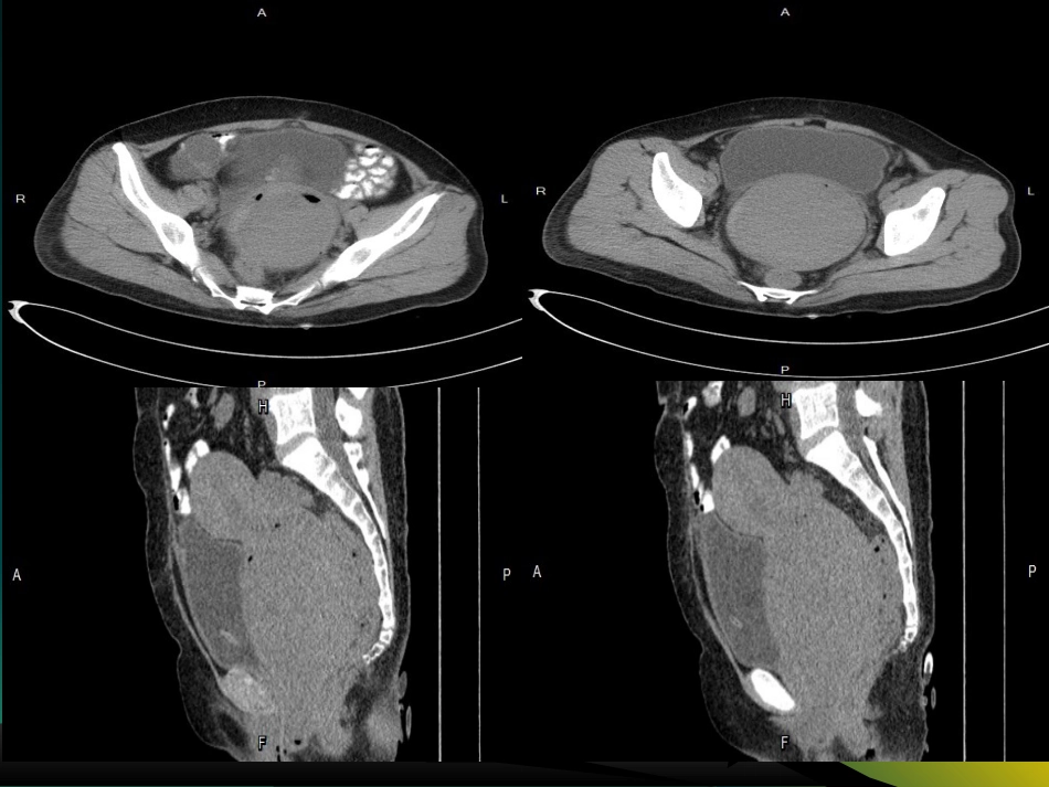
患者:张xxCT:74698性别:女年龄:42岁临床初步诊断:宫颈肿物主诉:既往抑郁病史6年,既往剖宫产史,平素月经史不规律,近半年阴道不规则流血,1天前自觉腹胀、排尿困难平扫动脉期静脉期延迟期•影像学诊断:•宫颈区软组织密度灶,考虑子宫肌瘤•右附件囊性低密度,请结合临床病理诊断:全切子宫及双侧输卵管、宫颈肿物、右卵巢肿物1.宫颈:富于细胞性平滑肌瘤伴玻璃样变性;2.右卵巢:浆液性囊腺瘤;3.增殖型子宫内膜;4.双侧输尿管组织。临床诊断:宫颈粘膜下子宫肌瘤;右卵巢囊肿、失血性贫血术中图片:子宫肌瘤:子宫肌瘤是女性生殖系统最常见的良性肿瘤之一,由平滑肌和结缔组织组成;病因:多发生于育龄妇女,绝经后肌瘤可停止生长甚至萎缩,提示可能与女性激素有关,雌激素能使子宫肌细胞增生、肥大,肌层变厚;孕激素促进肌瘤有丝分裂,刺激生长作用。病理:梭形平滑肌细胞和不等量的纤维结缔组织构成,肌细胞大小均匀,排列成漩涡状;分类:按肌瘤所在部位不同分为:1.子宫体肌瘤(95%)2.子宫颈肌瘤(5%)根据与子宫肌壁关系分为:肌壁间肌瘤、浆膜下肌瘤、粘膜下肌瘤;•临床表现:1.月经改变;•2.腹部包块•3.白带增多;•4.腹痛、腰酸、下腹追胀;•5.不孕、流产;•6.压迫症状;•子宫肌瘤生长较快时,供血不良可发生肌瘤变性,越大越缺陷严重,继发变性越明显;主要变性有几点:••1.玻璃样变:供血不足,部分组织水肿、漩涡结构消失,代以透明样物质••2.囊变:继发玻璃样变、液化坏死、液体清凉••3.红色样变:特殊肌瘤坏死,多发生产褥期或妊娠期,与局部组织缺血或栓塞所致组织出血、溶血有关,血液渗入肿瘤、生肉状;•4.肉瘤变性:恶性变;多见年龄大且生长快或伴不规则流血者、••5.钙化:多见瘤蒂细、供血不足浆膜下的肿瘤及绝经期肌瘤影像学表现:•CT:•1.子宫均匀或分叶状增大,局灶密度减低•和宫腔偏位,•2.子宫肌瘤密度均匀,边界清晰,周围脂肪层•存在,呈现良性肿瘤特征•3.发生变性,肌瘤可呈等、低、高混杂密度。•优缺点:•空间分辨率高,直观全面;分辨脂肪、出血、•钙化成分上具有一定优势;•缺点:对病变大小、数目、部位缺乏特异性;判断肌瘤变性不敏感•增强时子宫肌层和肿瘤一样显著强化,多数子宫肌瘤与正常子宫肌层密度差异不大,若无轮廓变化、小的肌瘤容易漏诊,病灶变性时,增强后不规则低密度区更为清楚,增强扫描有助于诊断及定性。MRI:1.子宫增大、轮廓凸凹不平;2.T1与子宫肌体相近、T2呈低信号,但伴坏死、液化出血等可呈高信号;3.肌瘤变性,不同病理改变,信号各异,钙化呈T1T2均呈低信号、脂肪变性则高信号;4.MRI组织分辨率高,T2可显示子宫肌层与内膜之间的结合带,呈低信号;粘膜下或肌壁间肌瘤可见结合带局灶中断或完全消失;此类病人大多数有月经过多表现;T2瘤周高信号环,常提示瘤周扩张静脉、淋巴管及水肿性改变,并常见较大肿瘤上的血管断面,T1、T2表现信号缺失区优缺点:对小肌瘤诊断率高,浆膜层、肌层及子宫内膜结构显示清楚,定位准确;鉴别诊断:•1.子宫腺肌症;二者临床表现相似,影像学均显示子宫增大,腺肌病T2也呈低信号,结合带局限性增厚或弥漫增厚,但边缘模糊,不同于子宫肌瘤界限清楚•2.子宫畸形:双子宫及残角子宫易误诊子宫肌瘤,多平面观察、寻找内膜结构能区分•3.卵巢肿瘤:整体均匀实性肿瘤罕见,多为囊、囊实性改变;4.妊娠子宫;小结•CT及MRI能够提高对肌壁间、粘膜下及多发性子宫肌瘤、小肌瘤的诊断率,更精确的显示出肌瘤的位置和内部结构,并可见观察肿瘤的周围组织情况及供血血管,为临床提供更多的疾病诊断参考价值识别图中二维码,请关注我们~!牡丹江管理局中心医院:影像中心声明:此文件仅用于交流和学习

1、当您付费下载文档后,您只拥有了使用权限,并不意味着购买了版权,文档只能用于自身使用,不得用于其他商业用途(如 [转卖]进行直接盈利或[编辑后售卖]进行间接盈利)。
2、本站所有内容均由合作方或网友上传,本站不对文档的完整性、权威性及其观点立场正确性做任何保证或承诺!文档内容仅供研究参考,付费前请自行鉴别。
3、如文档内容存在违规,或者侵犯商业秘密、侵犯著作权等,请点击“违规举报”。

碎片内容

子宫肌瘤影像学诊断

您可能关注的文档

确认删除?
VIP
微信客服
  • 扫码咨询
会员Q群
  • 会员专属群点击这里加入QQ群
客服邮箱
回到顶部