电脑桌面
添加小米粒文库到电脑桌面
安装后可以在桌面快捷访问

周围型肺癌的CT诊断与鉴别诊断VIP专享

周围型肺癌的CT诊断与鉴别诊断_第1页
1/17
周围型肺癌的CT诊断与鉴别诊断_第2页
2/17
周围型肺癌的CT诊断与鉴别诊断_第3页
3/17
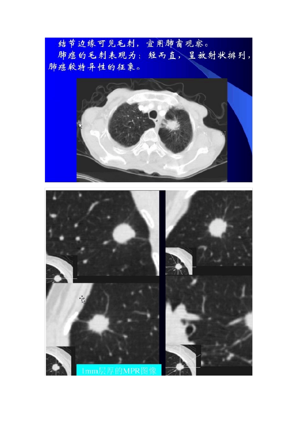
周围型肺癌的CT 诊断与鉴别诊断 周围型小肺癌诊断较困难,症状较少,常与其他病变混淆,易误诊,现将近年来对周围型肺癌的CT 的诊断与鉴别诊断的内容综述如下,以提高诊断水平。| 周围型肺癌系指发生于肺段以下支气管直到细小支气管的肺癌,临床症状出现较晚,以腺癌、鳞癌多见。目前胸部 CT 检查仍是发现肺癌最重要的检查方法,CT 在发现肺内结节方面显著优于平片及普通体层摄影,尤其是平片易被心影后方、后肋膈角、奇静脉食管隐窝、肺尖、胸膜下与肋骨重叠等遮盖的部位[1]。因此本文对周围型肺癌的CT 诊断与鉴别诊断综述如下,旨在探讨CT 对诊断周围型肺癌的临床价值及意义。| 1 周围型肺癌的CT 表现|, 1.1 病灶的形态和境界|, (1)分叶征:瘤较大常呈分叶状肿块,分叶的深浅程度对鉴别良、恶性有一定帮助。肺癌、结核球、炎性结节和其他良性病变均可出现。肺癌时有血管进入分叶间,形成脐凹征或称为支气管血管切迹。 (2)毛刺征:是周围型肺癌的又一恶性征象,分为粗毛刺和细毛刺两种。两种毛刺长度、数目及粗细均不同,其中粗毛刺较长,数目较少,粗细不均,可有扭曲。而细毛刺短而直,数目较多,CT 表现为呈放射状围绕肿瘤排列。 (3)棘状突起:表现为自肿瘤边缘向肺野内伸出的尖角状软组织密度阴影。数目不一,密集排列者可呈锯齿状外观,变换成肺窗可见由棘状突起向外延伸为毛刺,可见此棘状突起即为毛刺的根基部,系肺泡间隔与肿瘤表面重叠构成,薄层面扫描有助显示,其代表肿瘤 浸润性生长。 1.2 癌灶内部CT 表现 1.2.1 密度肿瘤多呈软组织密度,其内可有不规则低密度区;增强检查,低密度区更为明确,其代表瘤内坏死组织。癌结节分为实性密度、磨玻璃密度和混合密度。关于磨玻璃密度,需要注意:当磨玻璃密度结节持续存在数月,则提示早期肺癌。当结节大于 1cm或 者 混 有实性密度结节, 则提 示 恶 性度高 。 1 .2 .2 空洞征2 %~4 %肿瘤发生空洞,内有气体,洞壁厚而不规则。 1.2.3 空泡征和细支气管征直径小于2cm 肿瘤内可见细小充气的细支气管影,病理上为瘤组织所包绕的正常或轻度扩张的细支气管。需要与结核相鉴别,结核空洞有时也类似空泡征。 1.2.4 结节的钙化分为良性钙化和恶性钙化两种。良性钙化的特点:钙化占结节的10%以上。形态:层状、中心巢状、爆米花样或者弥散状。需要与成骨肉瘤或者软骨肉瘤的肺转移相区别。肺癌钙化的特点:形态:斑点状、斑片样、云絮状:特点是密度较低,是在肿瘤坏死基础上发生的钙化,比如大肿瘤发生...

1、当您付费下载文档后,您只拥有了使用权限,并不意味着购买了版权,文档只能用于自身使用,不得用于其他商业用途(如 [转卖]进行直接盈利或[编辑后售卖]进行间接盈利)。
2、本站所有内容均由合作方或网友上传,本站不对文档的完整性、权威性及其观点立场正确性做任何保证或承诺!文档内容仅供研究参考,付费前请自行鉴别。
3、如文档内容存在违规,或者侵犯商业秘密、侵犯著作权等,请点击“违规举报”。

碎片内容

周围型肺癌的CT诊断与鉴别诊断

确认删除?
VIP
微信客服
  • 扫码咨询
会员Q群
  • 会员专属群点击这里加入QQ群
客服邮箱
回到顶部