电脑桌面
添加小米粒文库到电脑桌面
安装后可以在桌面快捷访问

颈部淋巴结病变VIP免费

颈部淋巴结病变_第1页
1/32
颈部淋巴结病变_第2页
2/32
颈部淋巴结病变_第3页
3/32
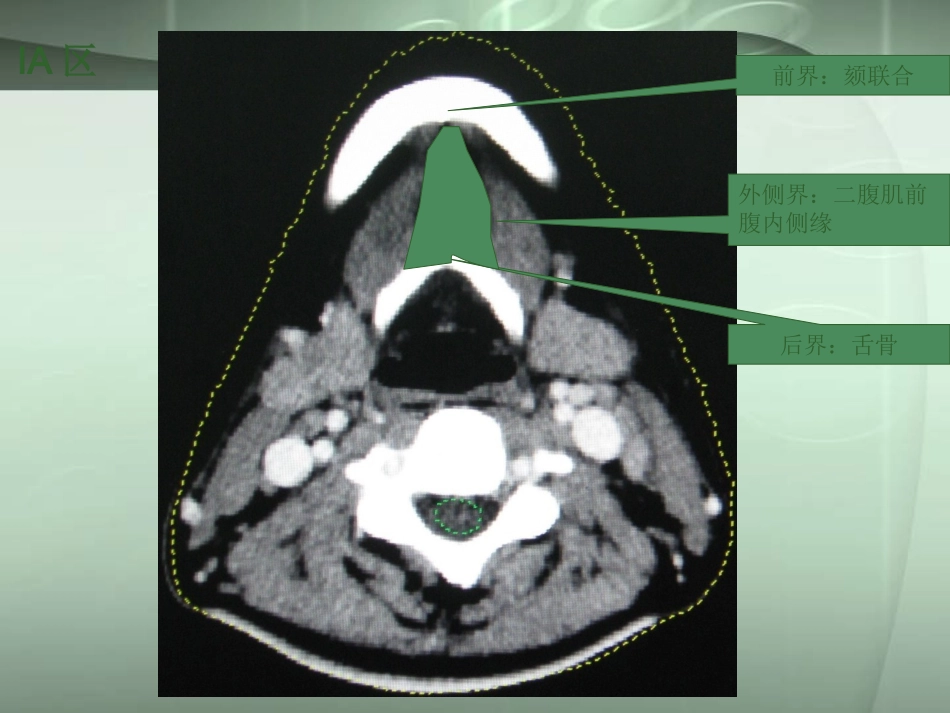
颈部淋巴结分区及转移特征颈部淋巴结分区及转移特征前界:颏联合外侧界:二腹肌前腹内侧缘后界:舌骨IA区Ⅰa区是一个位于中央的三角形区域,包括颏下淋巴结。是口底、舌前、下颌骨前牙槽突和下唇肿瘤发生隐匿性转移的高危区域。ⅠⅠaa区区下颌舌骨肌后界:颌下腺后缘内侧界:二腹肌前腹外侧缘外侧界:下颌骨内缘、颈阔肌前界:下颌骨前缘IB区Ⅰb区包括下颌下淋巴结,口腔、前鼻腔、面中部软组织和下颌下腺肿瘤易发生这一区域淋巴结转移。Ⅰb区II区外侧界:胸锁乳突肌内缘后界:胸锁乳突肌后缘内侧界:颈部血管鞘内缘和肩胛提肌前界:颌下腺后缘、颈部血管鞘前缘Ⅱ区包括颈静脉上组淋巴结,是鼻腔、口腔、咽、喉和涎腺肿瘤发生隐匿转移的高危区域,与口咽或鼻咽的肿瘤关系更为密切。颈内静脉周围淋巴结颈内静脉后方淋巴结前界:胸锁乳突肌前内缘后界:胸锁乳突肌后缘内侧界:颈部血管鞘内缘和棘旁肌外侧界:胸锁乳突肌内缘III区Ⅲ区包括颈静脉中组淋巴结,是口腔、鼻咽、口咽、下咽和喉肿瘤发生隐匿性转移的高危区域。前界:胸锁乳突肌前内缘后界:胸锁乳突肌后缘内侧界:颈部血管鞘内缘和棘旁肌外侧界:胸锁乳突肌内缘IV区Ⅳ区包括颈静脉下组淋巴结,是下咽、喉和颈段食管肿瘤发生隐匿性转移的高危区域。前界:胸锁乳突肌后缘后界:斜方肌前侧缘内侧界:肩胛提肌外侧界:颈阔肌和皮肤V区Ⅴ区包括颈后三角淋巴结群。是鼻咽、口咽、声门下喉、梨状窝顶、颈段食管和甲状腺肿瘤发生隐匿性转移的高危区。VI区后界:气管和食管分界处前界:颈阔肌和皮肤外界:胸锁乳突肌前外缘、皮肤和甲状腺内缘Ⅵ区,亦称颈前间隙,包括喉前、气管前和气管旁淋巴结及甲状腺周围淋巴结。是甲状腺、声门和声门下喉、梨状窝顶和颈段食管肿瘤发生隐匿性转移的高危区域。咽后淋巴结外侧界:颈内动脉内缘后界:头长肌前界:腭帆提肌咽后淋巴结:原发或侵犯枕部粘膜和颈部器官如鼻咽、咽壁和软腭等部位的肿瘤易发生咽后淋巴结转移。对于咽部肿瘤,当其它区域淋巴结转移阳性时,更易发生咽后淋巴结转移。颈部淋巴结转移颈部淋巴结转移甲状腺癌转移淋巴结多为单侧发生,常见于Ⅲ、Ⅳ区,尤其可发生气管食管沟及上纵隔淋巴结移,而头颈部其他原发肿瘤很少转移至此。前界:胸锁乳突肌前内缘后界:胸锁乳突肌后缘内侧界:颈部血管鞘内缘和棘旁肌外侧界:胸锁乳突肌内缘III区前界:胸锁乳突肌前内缘后界:胸锁乳突肌后缘内侧界:颈部血管鞘内缘和棘旁肌外侧界:胸锁乳突肌内缘IV区VI区后界:气管和食管分界处前界:颈阔肌和皮肤外界:胸锁乳突肌前外缘、皮肤和甲状腺内缘转移淋巴结形态及边缘转移淋巴结形态及边缘表现为形态规则且边缘清楚与形态不规则且边缘不清楚者,其原发肿瘤之间存在极显著性差异。鼻咽癌及甲状腺癌转移淋巴结边界多较清。口咽癌,喉癌及下咽癌边界多不清,且外侵明显。这与口咽癌、下咽癌及喉癌分化差,恶性程度高有关。淋巴结的密度及内部结构淋巴结的密度及内部结构不规则环形强化伴中央低密度为鳞癌转移淋巴结的CT特征性表现。CT图像所见中心低密度区,为肿瘤坏死、角蛋白、纤维组织、间质积液或水肿及存活的瘤细胞共同构成。淋巴结的密度及内部结构淋巴结的密度及内部结构甲状腺癌转移淋巴结血供丰富,且有甲状腺组织的吸碘特性,故强化明显,密度与正常甲状腺或甲状腺肿瘤相仿。颈部淋巴结转移的诊断标准颈部淋巴结转移的诊断标准①横断面图像上淋巴结最小径≥10mm;②中央坏死或环形强化;③同一区域内3个或以上的淋巴结呈簇状聚集且最小径≥8mm;④淋巴结包膜外侵犯(征象包括淋巴结;边缘不规则强化,周围脂肪间隙部分或全部消失,淋巴结相互融合);⑤咽后淋巴结横断面最小径>4mm,如转移咽后淋巴结与原发灶任何一层面均无法区分者归为原发灶。鉴别诊断鉴别诊断淋巴瘤,以非霍奇金淋巴瘤多见。典型的CT表现为双侧性、多发淋巴结肿大,直径约3~10cm,密度多均匀,仅非霍奇金淋巴瘤偶见中心坏死。感染性病变常为邻近间隙的化脓菌或结核菌感染侵及颈深淋巴链所致。临床表现为伴感染症状的颈部压痛性肿块。CT上显示病变范围大,边缘模糊,脓肿形成后可为边缘强化的囊性结构影。鉴别诊断鉴别诊断颈部淋巴结肿大,约1...

1、当您付费下载文档后,您只拥有了使用权限,并不意味着购买了版权,文档只能用于自身使用,不得用于其他商业用途(如 [转卖]进行直接盈利或[编辑后售卖]进行间接盈利)。
2、本站所有内容均由合作方或网友上传,本站不对文档的完整性、权威性及其观点立场正确性做任何保证或承诺!文档内容仅供研究参考,付费前请自行鉴别。
3、如文档内容存在违规,或者侵犯商业秘密、侵犯著作权等,请点击“违规举报”。

碎片内容

颈部淋巴结病变

您可能关注的文档

确认删除?
VIP
微信客服
  • 扫码咨询
会员Q群
  • 会员专属群点击这里加入QQ群
客服邮箱
回到顶部