电脑桌面
添加小米粒文库到电脑桌面
安装后可以在桌面快捷访问

脑梗死超早期CT表现(体现水平的时候到了!!)

脑梗死超早期CT表现(体现水平的时候到了!!)_第1页
1/7
脑梗死超早期CT表现(体现水平的时候到了!!)_第2页
2/7
脑梗死超早期CT表现(体现水平的时候到了!!)_第3页
3/7
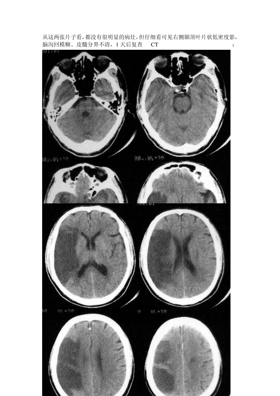
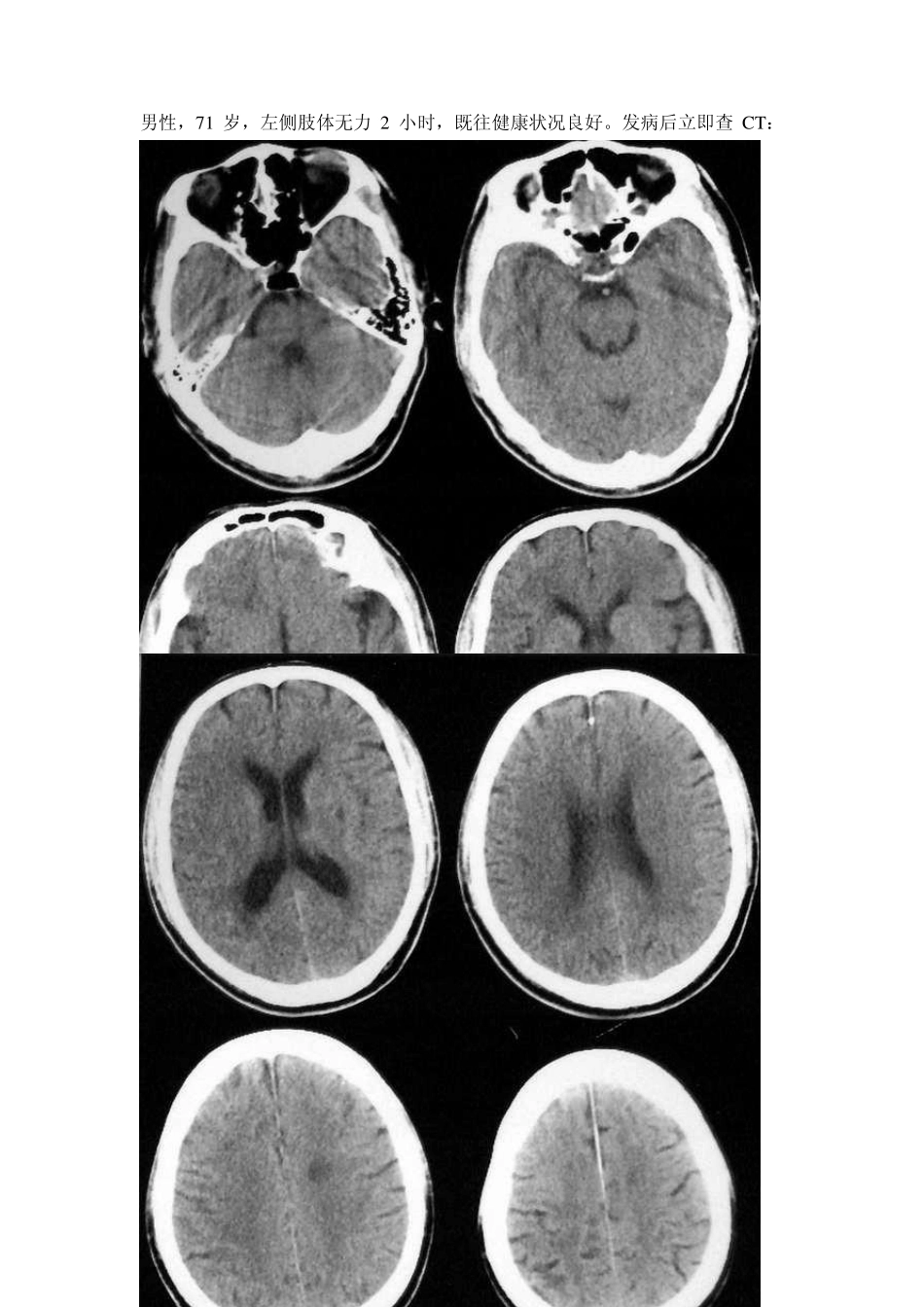
男性,71 岁,左侧肢体无力2 小时,既往健康状况良好。发病后立即查 CT: 从这两张片子看,都没有很明显的病灶,但仔细看可见右侧颞顶叶片状低密度影,脑沟回模糊、皮髓分界不清,1 天后复查 CT: 所谓的超急性脑梗死(临床根据发病时间,目前认为为6H 以内)在病理学上是脑细胞毒性水肿时期。此时,血脑屏障完整。在影像学上要注意有无脑局部肿胀的表现。CT:注意双侧脑沟是否对称,双侧内囊和外囊是否清晰可见,岛叶与外囊是否可以区分。MR:T1W I 上要注意双侧脑沟是否对称,脑回是否有增粗表现。此外还要注意血管是否异常。图 1-2 为超急性期CT 表现。病变在那一边?图 3-4 为MR 的T1W I 和 T2W I,你能看到局部脑肿胀么? 图 1 图 2 图3 图4 图1:左侧外囊与岛叶分界不清。图2:左侧脑沟明显变浅。图3:左侧岛叶盖部的脑回可见增粗;图4:左侧外侧裂内的血管流空影消失。上述表现为超急性期脑梗死的表现。病理基础为细胞毒性水肿。 脑梗塞早期的CT 征象: 1、动脉高密度征(致密动脉征):表现为一段动脉密度增高,CT 值高于正常动脉,而低于动脉粥样硬化斑,其形成机制商不清,主要见于大脑中动脉及其主要分支,其次是椎-基底动脉。 2、岛带征:脑岛灰质、白质界限模糊,呈均一的淡的密度影。 3、豆状核征:豆状核轮廓模糊,密度与脑白质一致或稍低。 4、皮质征:皮质局限性密度减低,与脑白质密度一致。 5、早期低密度改变。 6、占位效应。 以上表现多与脑动脉闭塞后引发的细胞内水肿和血管源性水肿有关,属非特异性表现,其中豆状核征、岛带征、皮质征及早期低密度改变是诊断早期脑梗塞的可*指征,动脉高密度征、占位效应不能单独作为诊断依据。 另外:诊断时需密切结合病史、病征。梗塞灶的CT 表现时间的早晚,除与CT 分辨率和诊断水平有关外,还取决于梗塞灶的大小、部位和缺血程度等。 豆状核征: 左偏瘫1.5 小时,CT 平扫示右侧豆状核密度降低与白质一致 2 天后复查,右侧豆状核区明显低密度影 岛带征: 左偏瘫5 小时,CT 平扫右侧脑岛带区灰质密度降低与白质一致 33 小时后复查,脑岛带区程明显低密度影 皮质征: 偏瘫5 小时,CT示右额颞皮质呈楔形密度减低与白质一致 A 71 岁男性左大脑中动脉梗塞后1.5 小时CT所见。示左岛带消失。(有尾箭头)与正常的右侧岛带对比(三角箭头)。左豆状核似乎正常。 B CT后马上进行左颈动脉造影,示左大脑中动脉M2 段栓子闭塞(有...

1、当您付费下载文档后,您只拥有了使用权限,并不意味着购买了版权,文档只能用于自身使用,不得用于其他商业用途(如 [转卖]进行直接盈利或[编辑后售卖]进行间接盈利)。
2、本站所有内容均由合作方或网友上传,本站不对文档的完整性、权威性及其观点立场正确性做任何保证或承诺!文档内容仅供研究参考,付费前请自行鉴别。
3、如文档内容存在违规,或者侵犯商业秘密、侵犯著作权等,请点击“违规举报”。

碎片内容

脑梗死超早期CT表现(体现水平的时候到了!!)

确认删除?
VIP
微信客服
  • 扫码咨询
会员Q群
  • 会员专属群点击这里加入QQ群
客服邮箱
回到顶部