电脑桌面
添加小米粒文库到电脑桌面
安装后可以在桌面快捷访问

畸形:颅底凹陷VIP免费

畸形:颅底凹陷_第1页
1/10
畸形:颅底凹陷_第2页
2/10
畸形:颅底凹陷_第3页
3/10
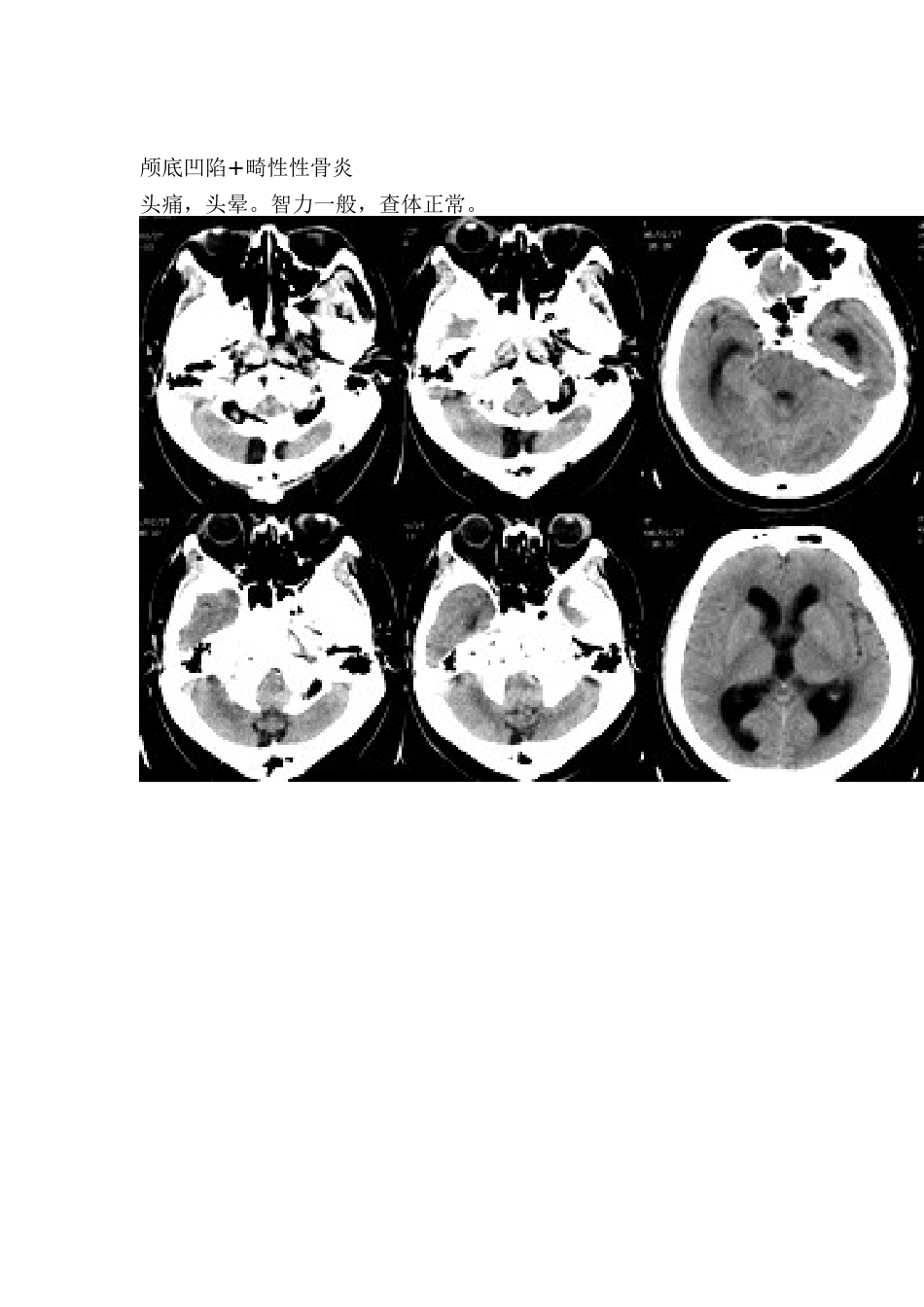
颅底凹陷+畸性性骨炎头痛,头晕。智力一般,查体正常。颅底凹陷:是指枕大孔周围骨如枕骨斜坡及岩骨向颅腔内陷入而言。分为先天及后天性,前者常并发于上部颈椎畸形,后者常继发于颅底骨硬度减低者,如畸形性骨炎(PAGET病),成骨不全,佝偻病,软骨病等,此时,变软的颅底受到颈椎的压迫,出现颅底内陷。畸形性骨炎:(PAGET病),是一种原因不明的慢性进行性骨病,多骨受累,最易累及骨盆,腰椎,颅骨,股骨,胫骨,很少累及腓骨,胸骨,其病理改变为破骨与成骨改变,初期以破坏为主,缓解期破坏停止,成骨继续进行,骨由松软变脆硬,其典型X线表现常出现在修复期成骨过程中,可出现活动期以骨吸收为主的海绵型及修复期以成骨为主的硬化型改变,颅骨板障明显增宽,内外板不规则增厚,当颅骨外板还有疏松性变化时,内板就可硬化,此为畸形性骨炎最重要的特征表现。故该列为典型的畸形性骨炎继发颅底凹陷。畸形性骨炎病因不明,目前认为与麻疹病毒感染有关,多见于40岁以上的男性,全身骨骼以骨盆发病率最高,本病一般发病隐潜,发病缓慢,病程较长,症状出现变异很大,常数年或数十年除骨关节畸形外,可无任何明显症状,常见症状为腰背痛和肢体畸形。实验室检查碱性磷酸酶常显著增高,有时可达100或200布氏单位以上。畸形性骨炎的特征是在发病过程中同时出现骨质吸收和骨质增生,新生骨骨化不全,结构杂乱,完全改变了正常的骨结构。因此,虽有骨质增粗增厚,但质软,容易发生畸形和病理骨折。通常在早期骨吸收显著,晚期则以增生为主,有的可恶变为骨肉瘤。本病应与骨转移鉴别,主要鉴别点为:本病有骨体积增大、畸形改变,以及病史较长、碱性磷酸酶升高等。女,56岁,头痛,没有其他的神经系统的阳性体征结果:颅底凹陷征颅底陷入是枕大孔周围骨,包括枕骨基底部、髁部和鳞部上升向颅腔内陷入的畸形。环、枢椎也随之上升、突入。多属枕骨及环枢椎先天性发育异常,也可继发于引起颅底软化的疾病、成骨不全或佝偻病等。21岁,颅骨发育异常结果:佝偻病颅骨软化颅底凹陷症

1、当您付费下载文档后,您只拥有了使用权限,并不意味着购买了版权,文档只能用于自身使用,不得用于其他商业用途(如 [转卖]进行直接盈利或[编辑后售卖]进行间接盈利)。
2、本站所有内容均由合作方或网友上传,本站不对文档的完整性、权威性及其观点立场正确性做任何保证或承诺!文档内容仅供研究参考,付费前请自行鉴别。
3、如文档内容存在违规,或者侵犯商业秘密、侵犯著作权等,请点击“违规举报”。

碎片内容

畸形:颅底凹陷

确认删除?
VIP
微信客服
  • 扫码咨询
会员Q群
  • 会员专属群点击这里加入QQ群
客服邮箱
回到顶部