电脑桌面
添加小米粒文库到电脑桌面
安装后可以在桌面快捷访问

纵隔尤文氏肉瘤VIP免费

纵隔尤文氏肉瘤_第1页
1/19
纵隔尤文氏肉瘤_第2页
2/19
纵隔尤文氏肉瘤_第3页
3/19
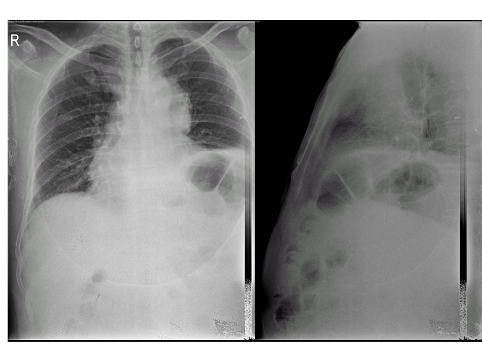
病例讨论唐都医院放射科朱佳病史资料•患者,男,53岁•现病史:于10天前感左肩疼痛,为持续性钝痛,于交大一附院CT检查:前上纵隔占位性病变。•查体未见异常。•术中所见:左前上纵隔包块,大小约为8X8X5cm,质硬,活动度小,基底较宽,无包膜,与左肺下叶、侧胸壁、心包、主动脉弓有粘连,胸腔有淡红色积液,约200ml,膈肌明显升高,右肺下叶内基底段实变,鼓肺后基本复张。•病理:(纵隔)大细胞型(不典型性)尤文氏肉瘤。概述•骨外尤文氏肉瘤是一种少见的软组织恶性小细胞性肿瘤[1]。可发生于任何年龄,但多见于青年人,比骨内尤文氏肉瘤的发病年龄大。肿瘤多发生于躯干,尤以下肢、脊柱旁、腹膜后和胸壁多见,约1/3见于四肢,这与骨内尤文氏肉瘤多见于下肢骨(尤以胫骨)不同。•1.武中弼,杨光华.中华外科病理学[M].北京:人民卫生出版社。2OO2.2741—2742.发病情况•骨外尤文氏肉瘤好发于10~30岁青少年,平均约20岁,多见于男性,多发于脊柱旁、腹膜后和胸部软组织及下肢,好发部位较深,生长较快。本病例发生于纵隔,尚未见文献报道。而骨尤文氏肉瘤发病年龄高峰为10~15岁,比骨外尤文氏肉瘤高发年龄约小10岁,多见于长骨骨盆和肋骨[2]。•2.丈平,王瑾.骨外尤文氏肉瘤15例临床及病理分析[J].2006,9(27):946~947分类•骨外尤文氏肉瘤属软组织恶性小圆细胞性肿瘤,分为神经性与非神经性。神经性骨外尤文氏肉瘤与骨尤文氏肉瘤、原始性神经外胚层瘤无论在病理学上、基因表型上、染色体易位上均有共同之处,目前认为它们均来源于神经外胚叶,均属外周原始神经外胚层瘤家族[2]。•2.丈平,王瑾.骨外尤文氏肉瘤15例临床及病理分析[J].2006,9(27):946~947病理•骨外Ewing’S肉瘤多呈不规则分叶状或多结节状,质软而脆,切面灰黄色或灰褐色,常见大片坏死,出血和囊性变。光镜下见瘤细胞较均匀一致,呈圆形,细胞核圆形或卵圆形,核膜清楚,染色质细而分散,可见小核仁,胞浆少,界限不清,淡嗜伊红,可见不规则小空泡[3],核分裂相可见,但不多。瘤细胞排列成片或不清楚的小叶状,小叶之间为血管纤维组织间隔。肿瘤内有时可出现菊形团样结构,是肿瘤细胞围绕血管排列所形成,或是小的巢状细胞内糖原,位于一端所形成。•3.MPetkovie,GZamolo,DMuhvic,et.ThefirstreportofextraosseousEwing’ssa/~omaintherectovaginalseptum[J].Tumofi,2002,88(4):345—346临床表现•骨外尤文氏肉瘤常表现为生长迅速的深部软组织肿块,因位置深,故常延误诊断。肿瘤可累及骨膜,但不出现骨内Ewing肉瘤所特有的洋葱皮样放射学征象[4]。可累及神经或脊髓,产生进行性感觉或运动障碍,约1/3患者有疼痛症状。丈平等人报道11例均以发现软组织肿块就诊,影像检查均未见到邻近骨质破坏及洋葱皮样放射学征象。•4.安玉梅,王文杰.骨髓外尤文氏肉瘤1例报告[J].中华临床新医学,2003,3(9):77I影像学表现•在影像学方面骨外尤文氏肉瘤与传统的尤文氏肉瘤(骨尤文氏肉瘤)检查手段的选择有较大的不同。骨外尤文氏肉瘤因为少有直接侵犯骨质,且无明显钙化,X线征象表现为缺少钙化的骨外软组织阴影,而且没有骨尤文氏肉瘤所特有那种洋葱皮样放射学特征,由此可见x线摄片临床意义不大,只能作为有无肺转移的常规胸片检查。•CT多因出血坏死而显示密度不均,偶尔在肿块中心出现密度减低区域;CT增强无特殊变化。MRI主要显示是占位病变,T1为等信号多见,T1显示肿物信号略比肌肉信号低,T2高信号,强化效应明显,呈现不均匀改变。影像学表现•超声检查为低回声区或无回声区;血管造影不能明显地与正常组织区分。核素骨扫描对诊断骨外尤文氏肉瘤没有帮助.可检查肿瘤有无转移至骨骼[5]。•5.黄智邦,梁伟雄.骨外尤文氏肉瘤诊疗进展[J].岭南现代临床外科2007.7(6):464~465鉴别诊断•畸胎瘤典型的畸胎瘤表现为厚壁囊肿,密度不均,可见液性、脂肪密度、软组织密度和骨化、蛋壳样钙化影,容易鉴别。•淋巴瘤纵隔淋巴瘤常融合呈软组织肿块,密度均匀或不均匀,增强后CT值多增加30HU以上;除前纵隔肿块外,绝大多数患者在颈部和纵隔其它部位常有肿大的淋巴结;肺部浸润常见,胸膜心包侵及少见。治...

1、当您付费下载文档后,您只拥有了使用权限,并不意味着购买了版权,文档只能用于自身使用,不得用于其他商业用途(如 [转卖]进行直接盈利或[编辑后售卖]进行间接盈利)。
2、本站所有内容均由合作方或网友上传,本站不对文档的完整性、权威性及其观点立场正确性做任何保证或承诺!文档内容仅供研究参考,付费前请自行鉴别。
3、如文档内容存在违规,或者侵犯商业秘密、侵犯著作权等,请点击“违规举报”。

碎片内容

纵隔尤文氏肉瘤

确认删除?
VIP
微信客服
  • 扫码咨询
会员Q群
  • 会员专属群点击这里加入QQ群
客服邮箱
回到顶部